Home » Problems we can solve » Missing Teeth
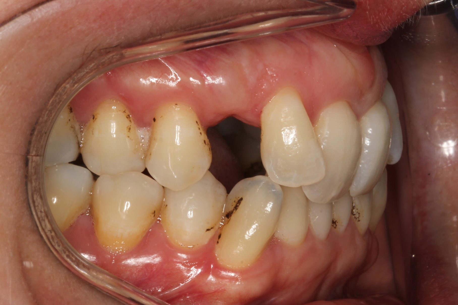
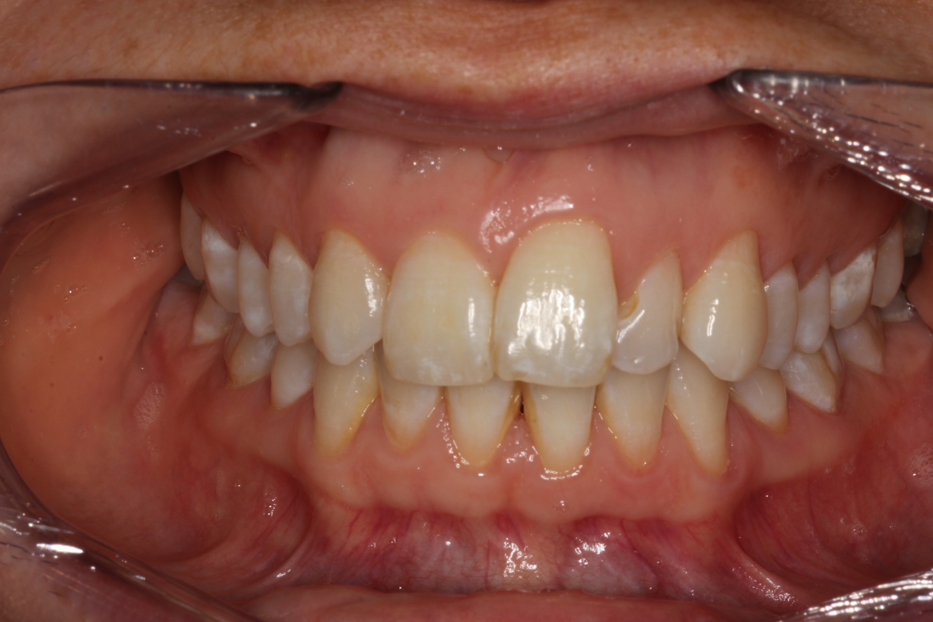
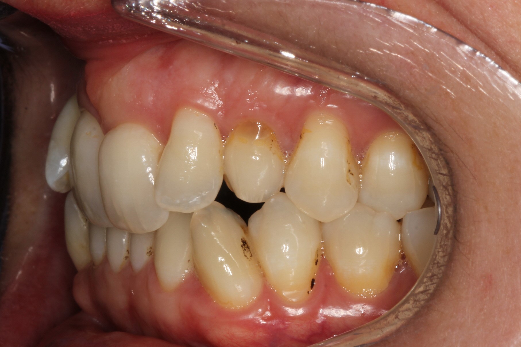
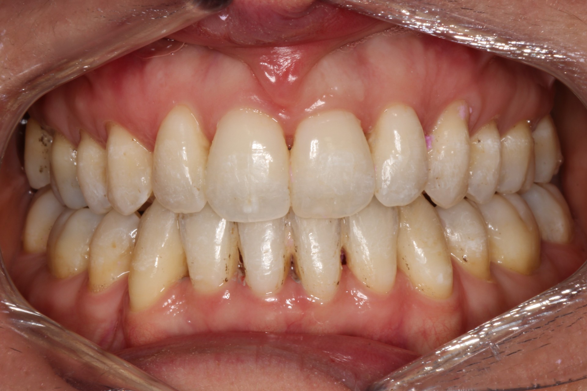
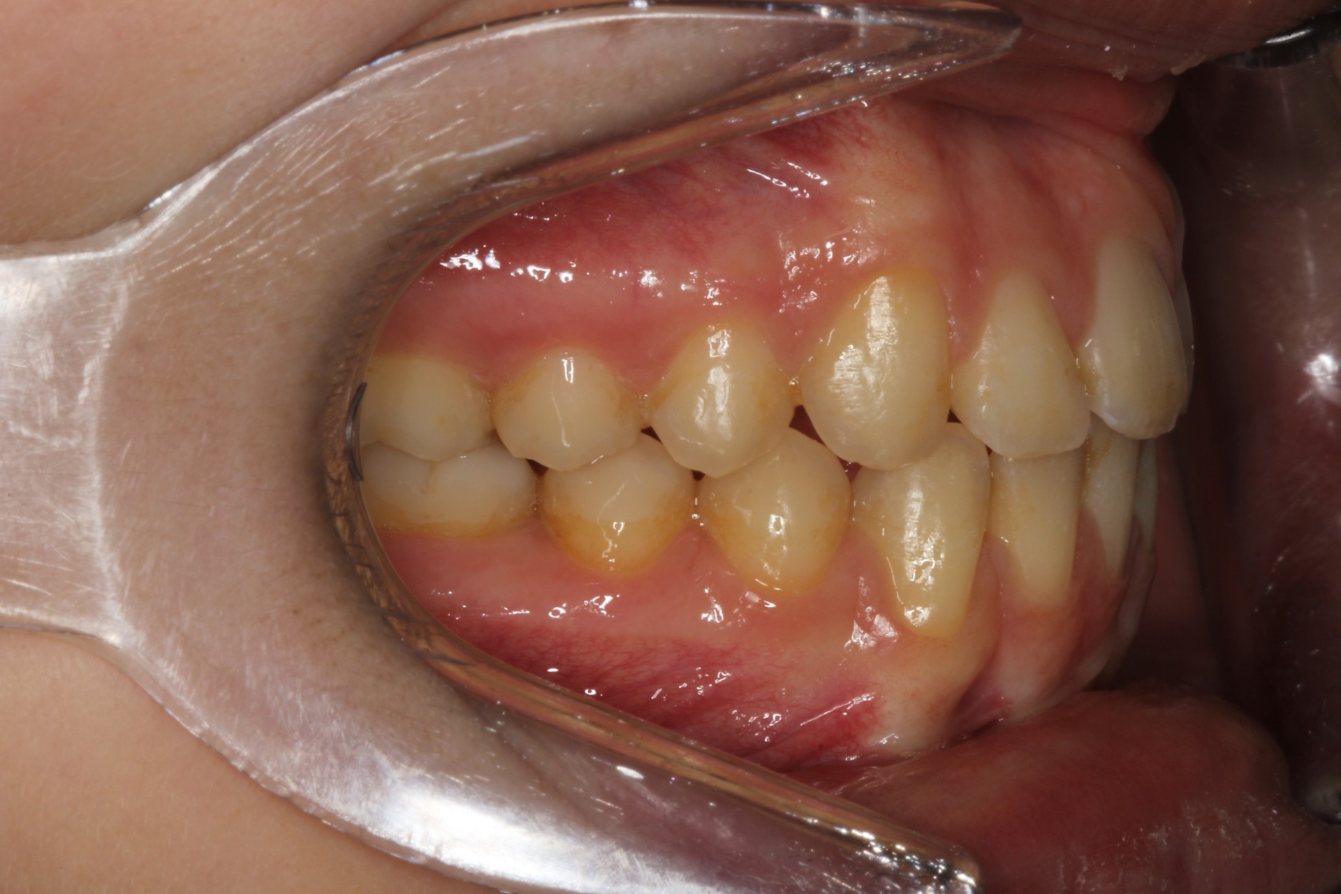
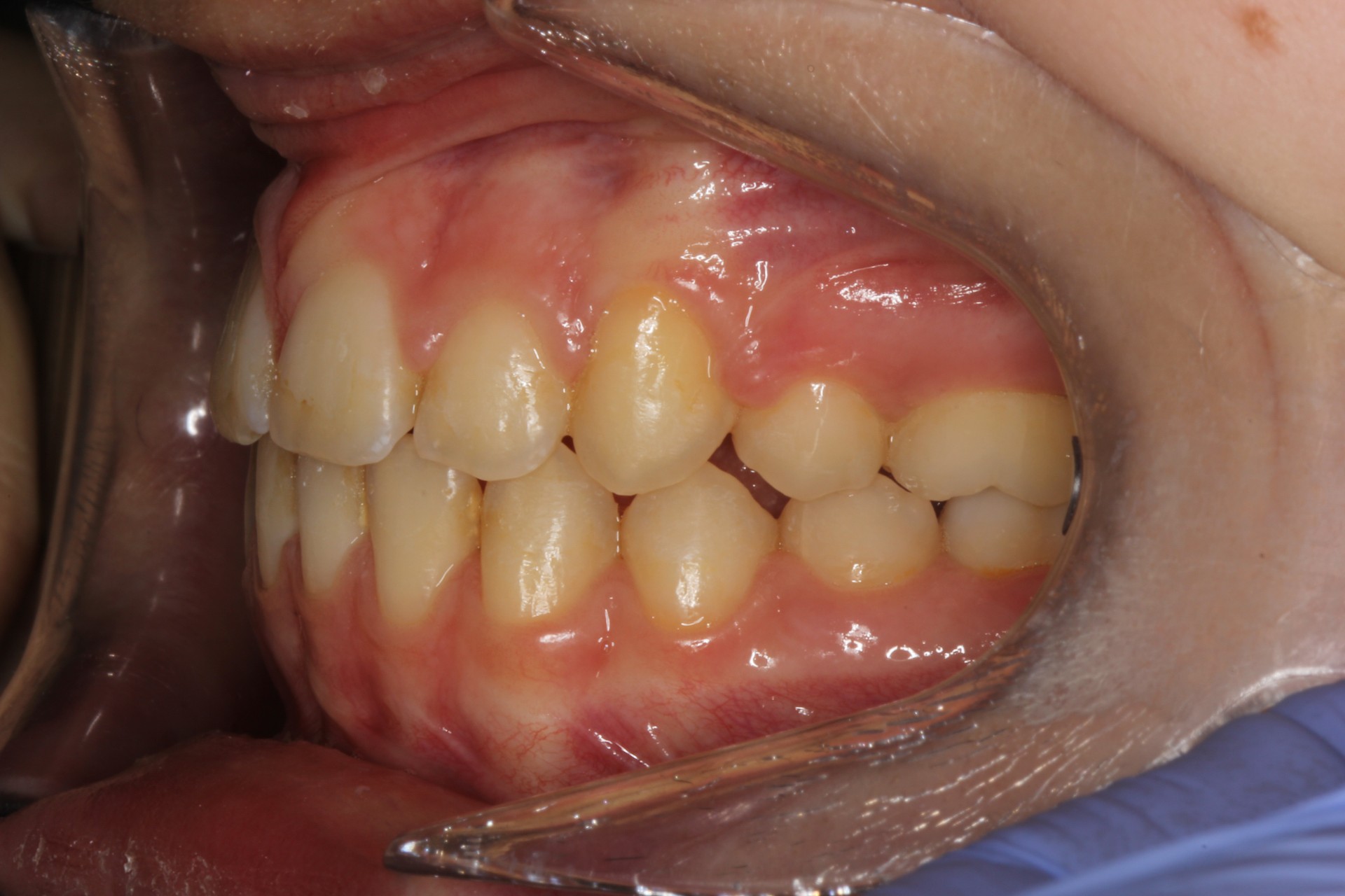
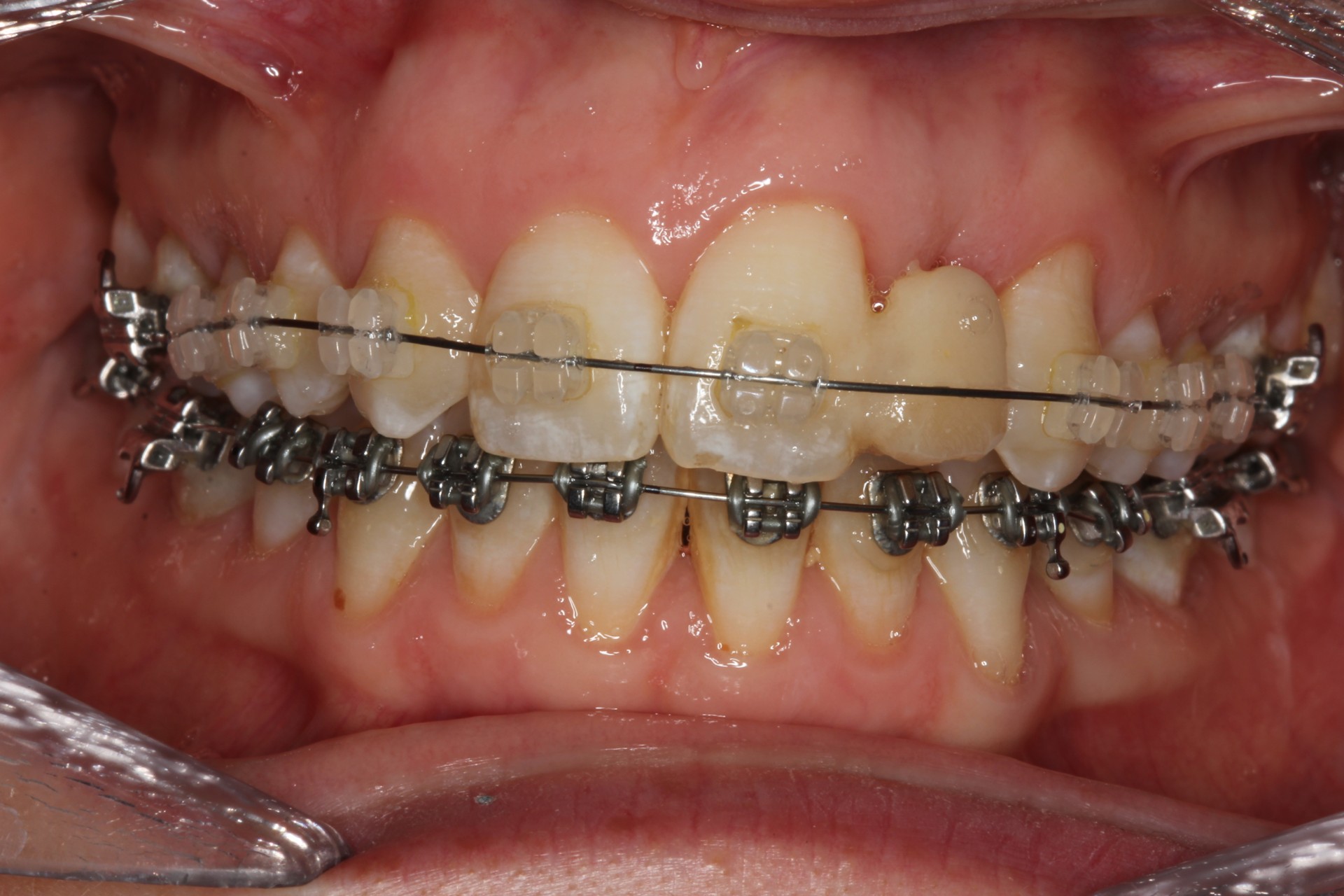
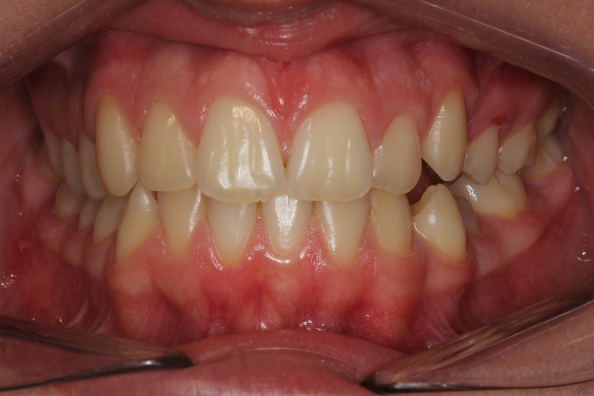
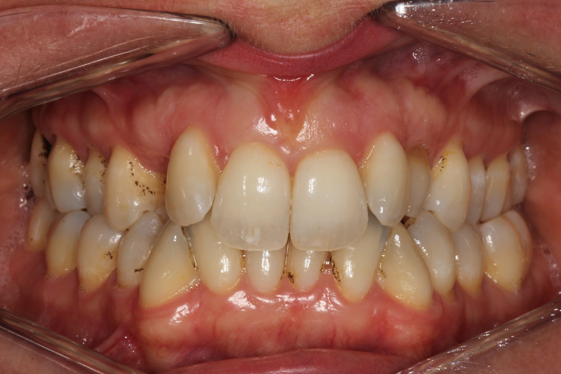
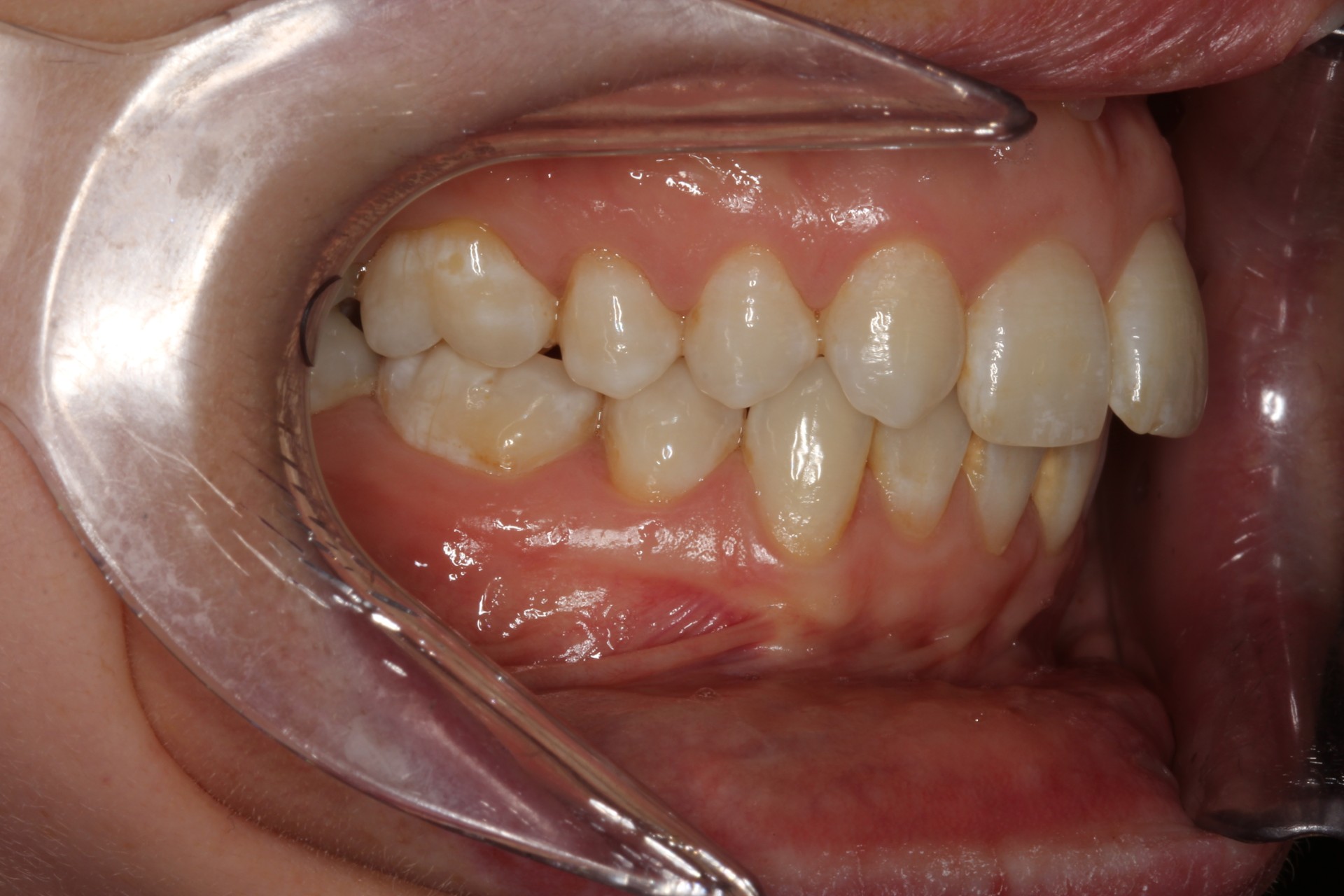
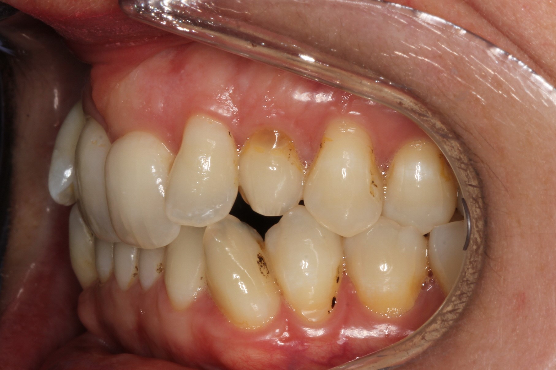
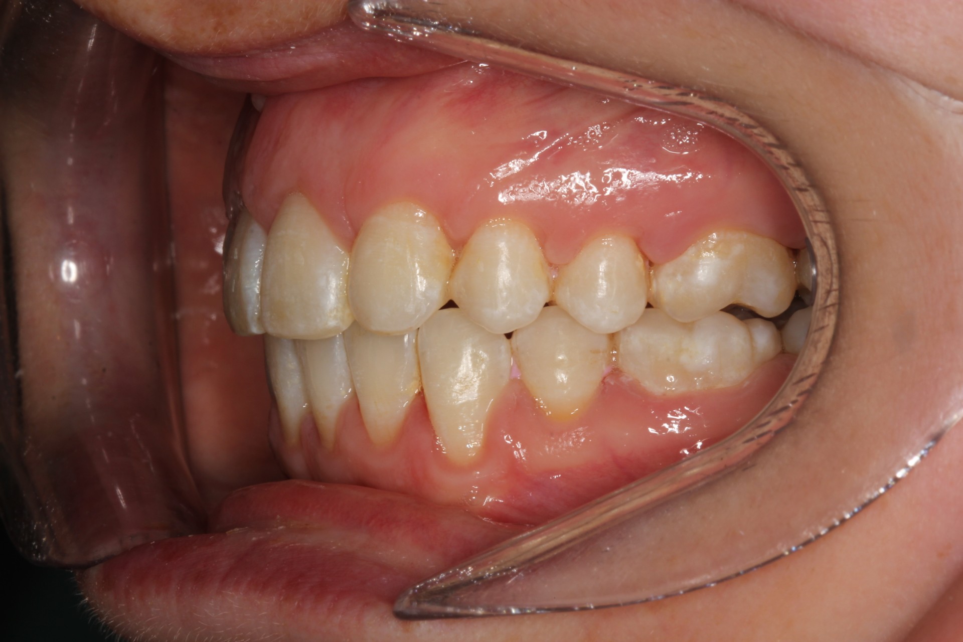
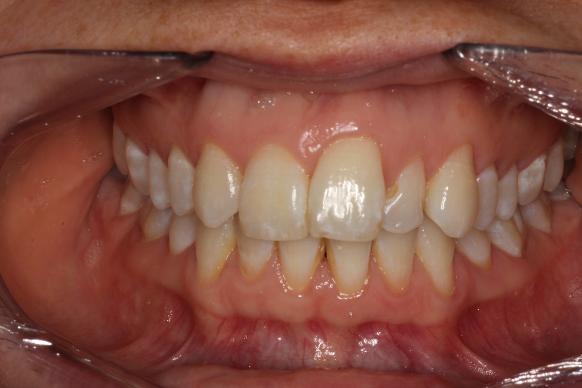
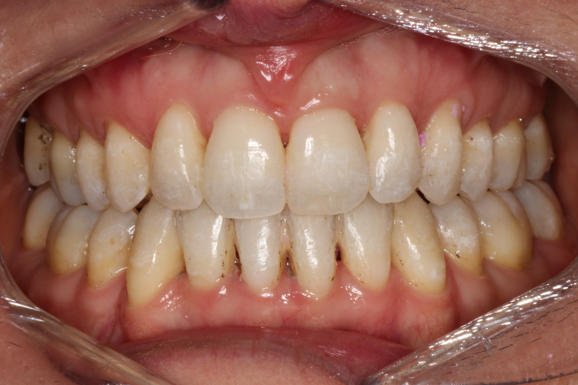
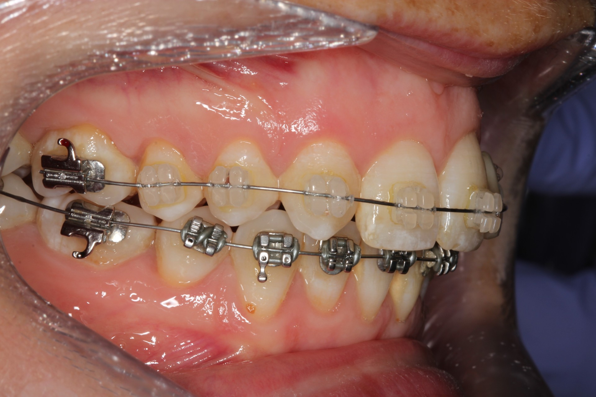
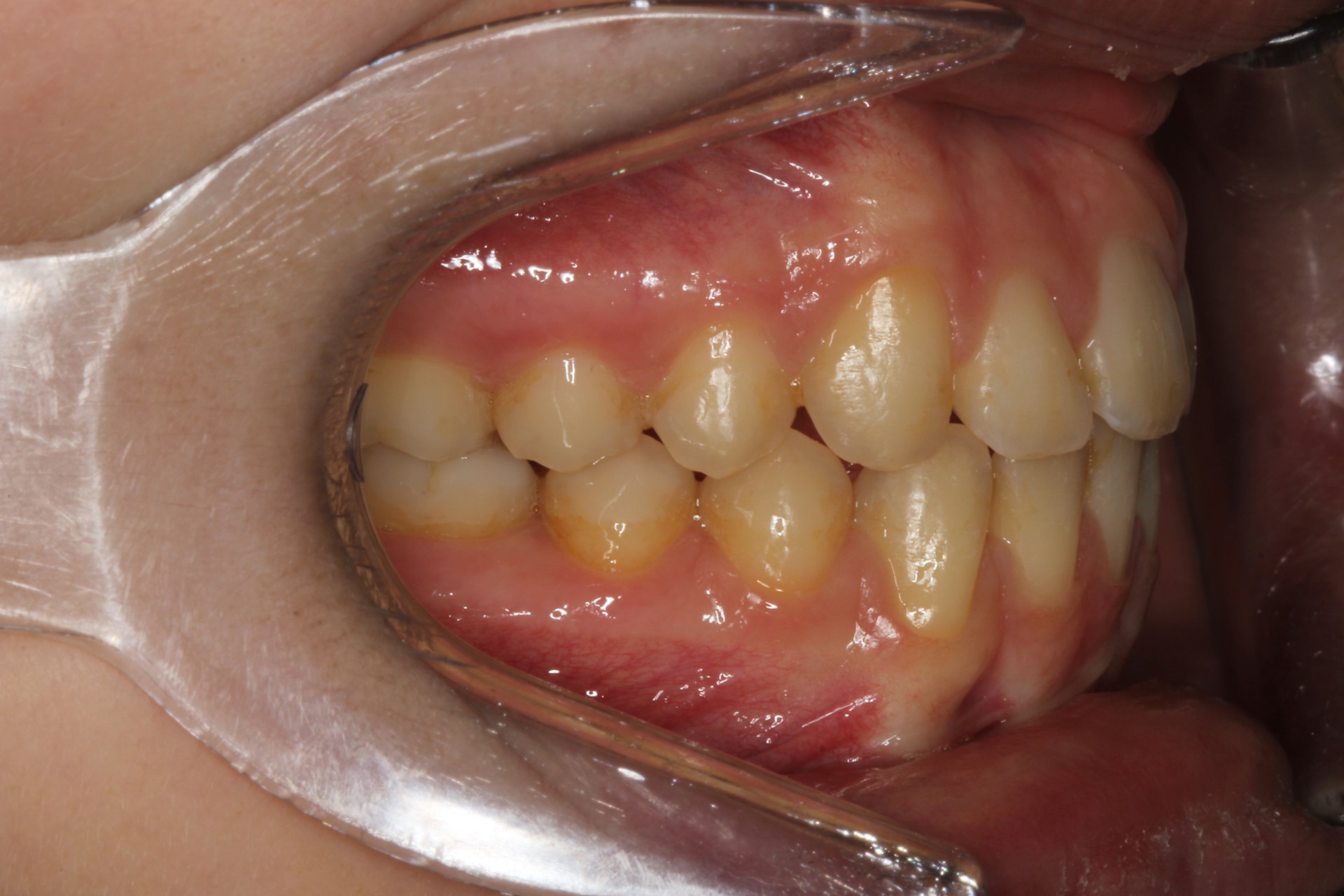
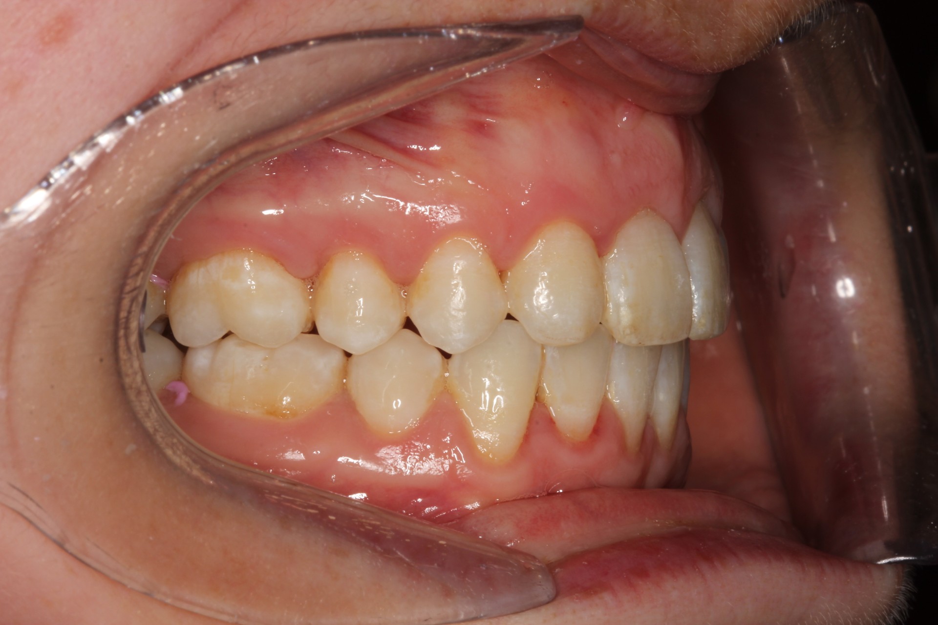
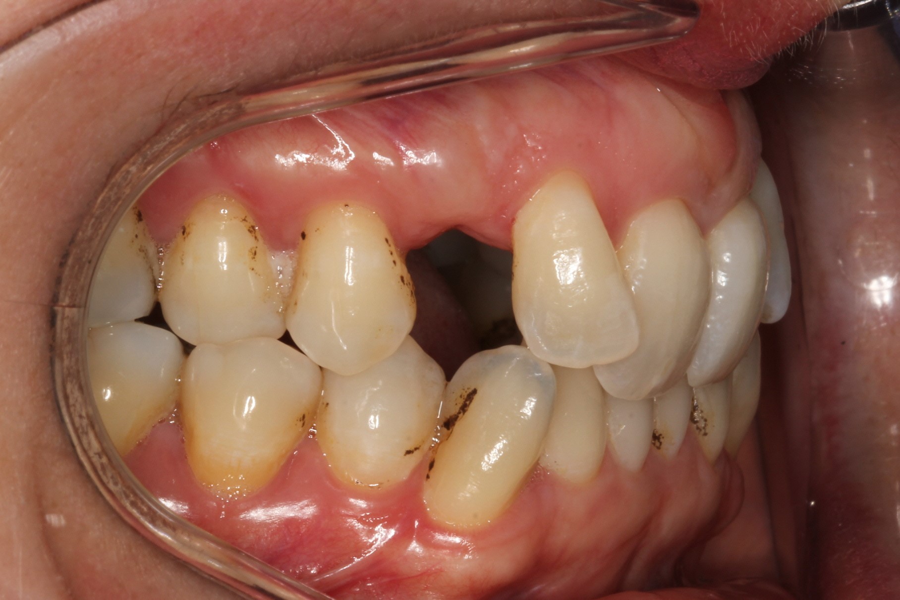
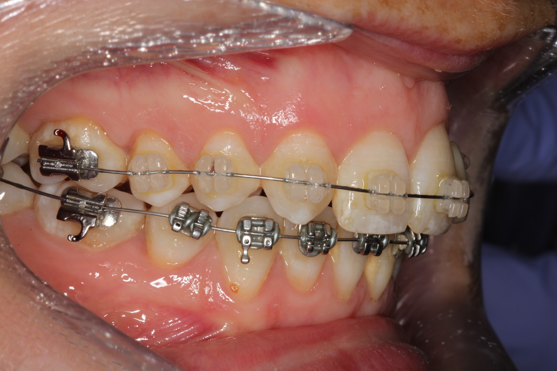
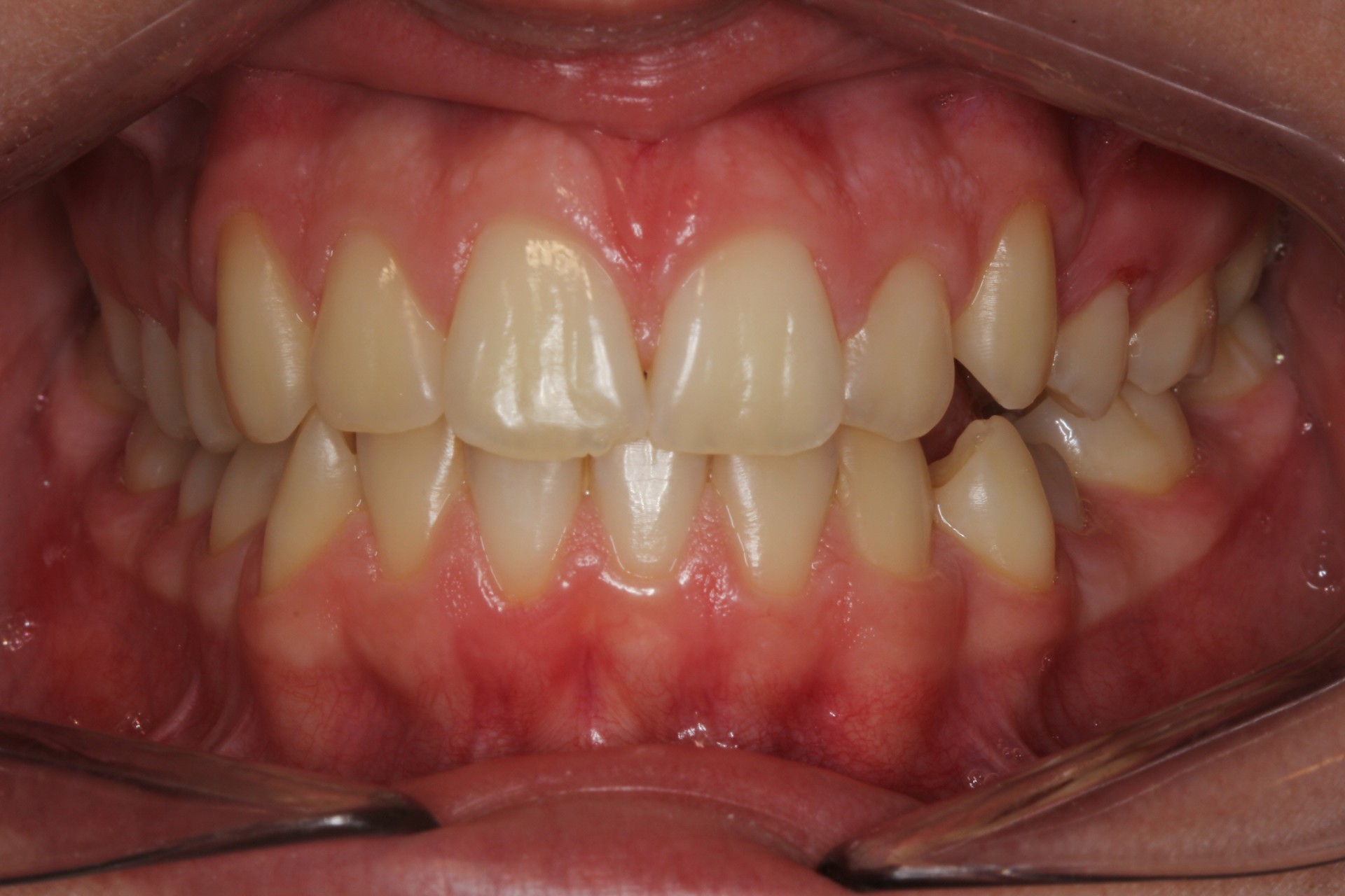
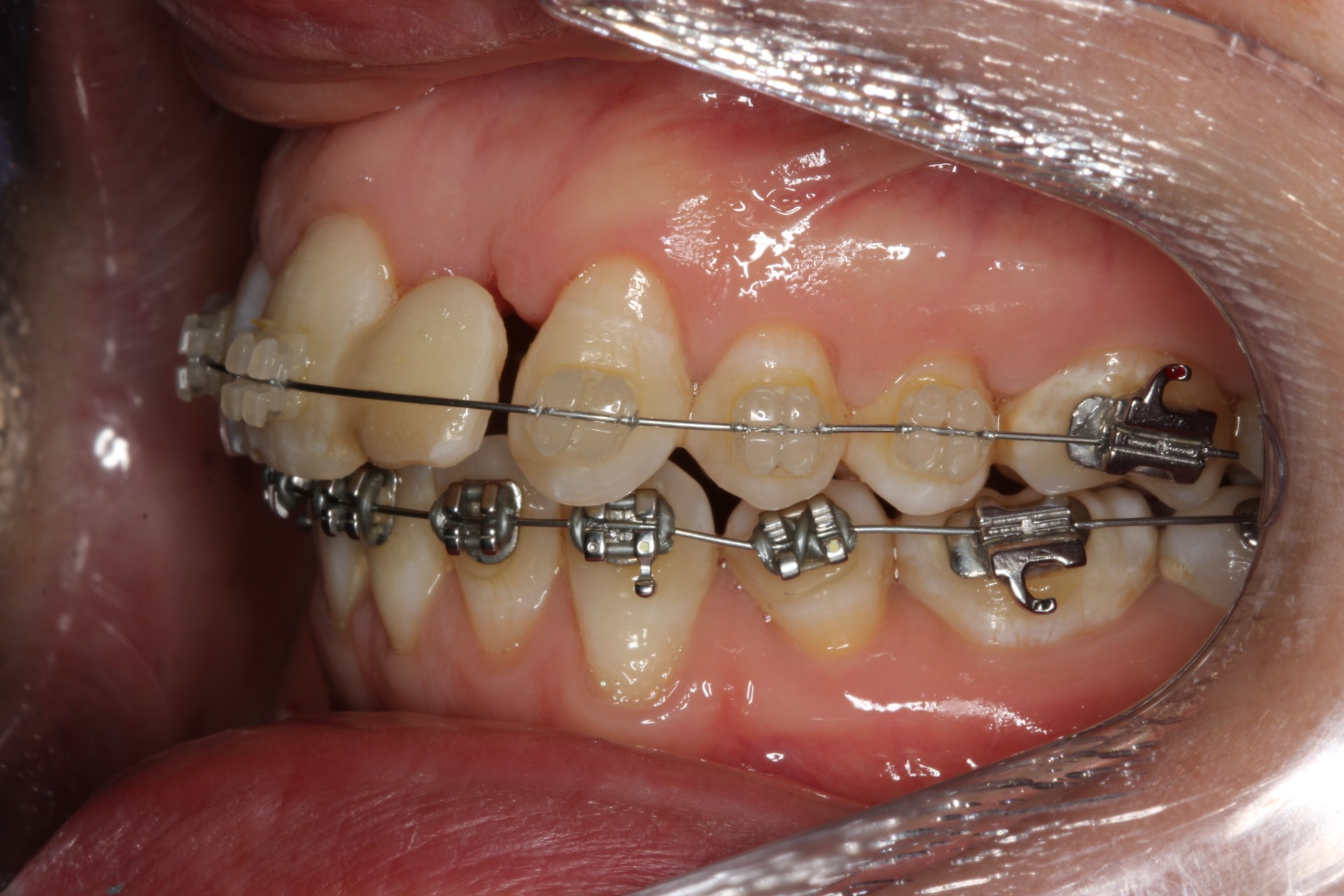
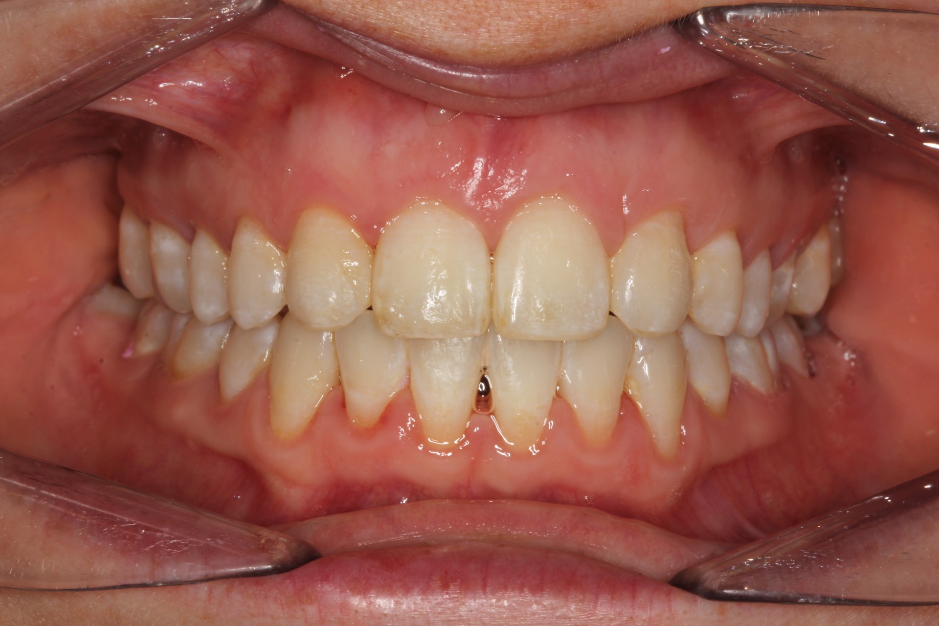
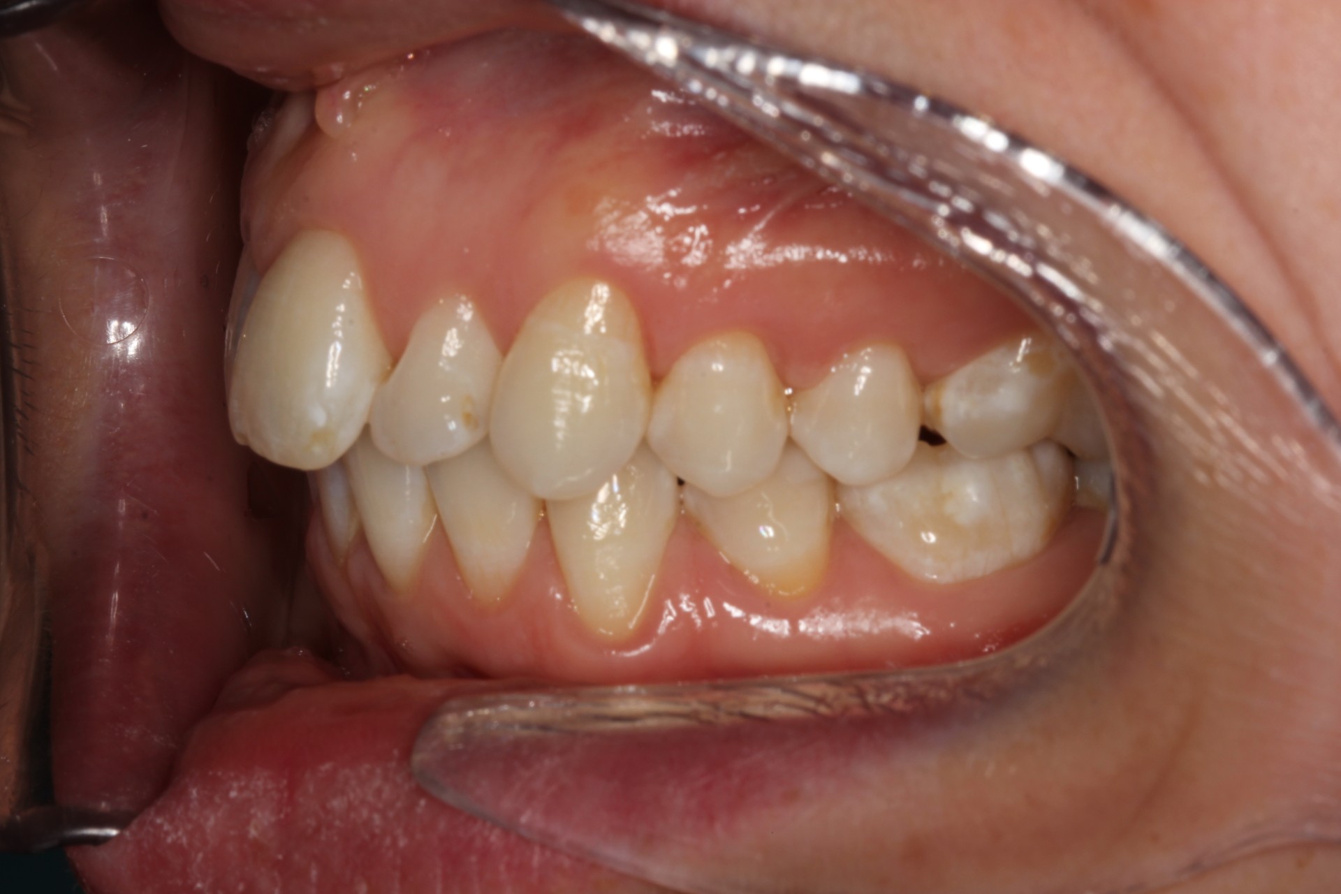
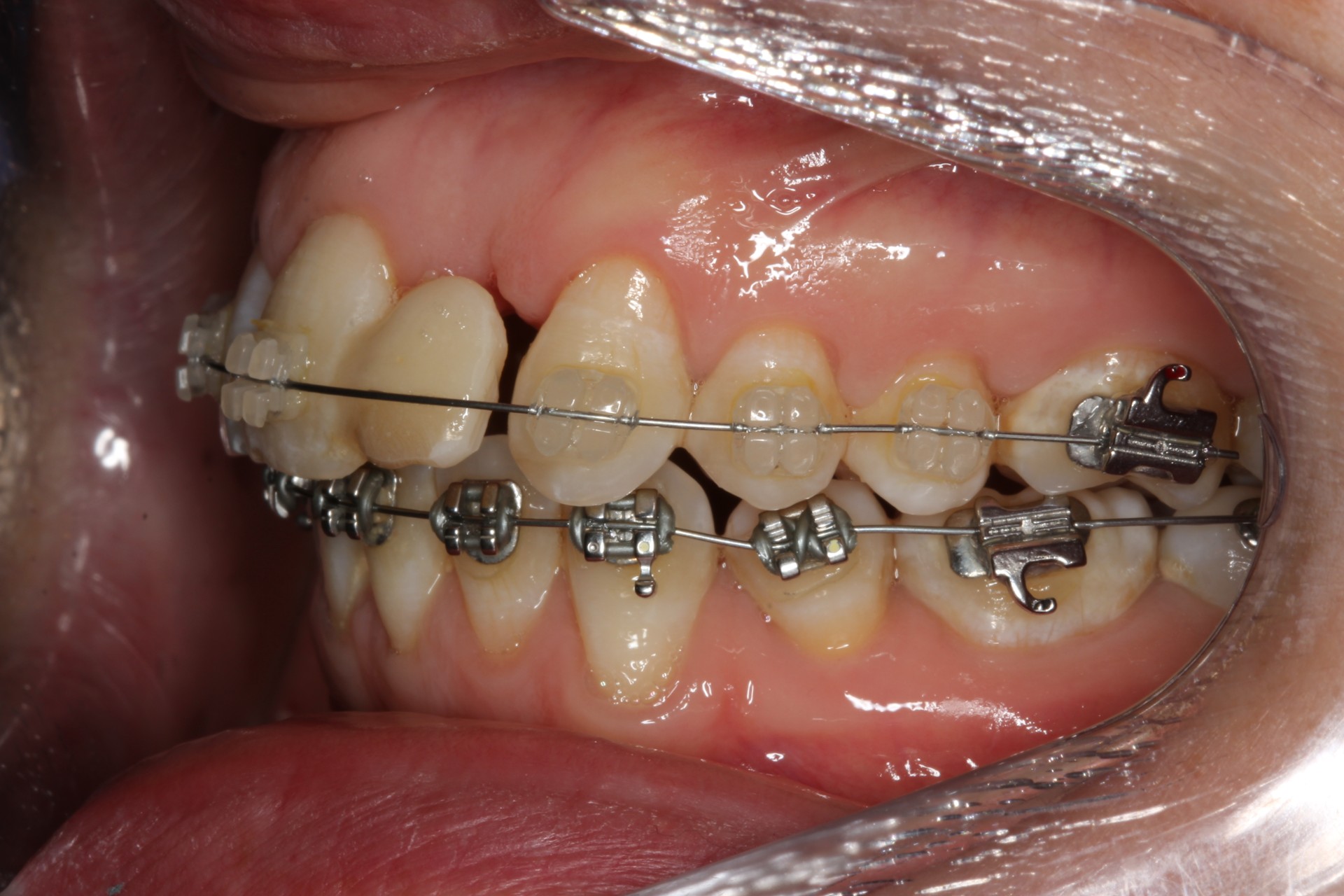
Missing Upper Canines – Adult case
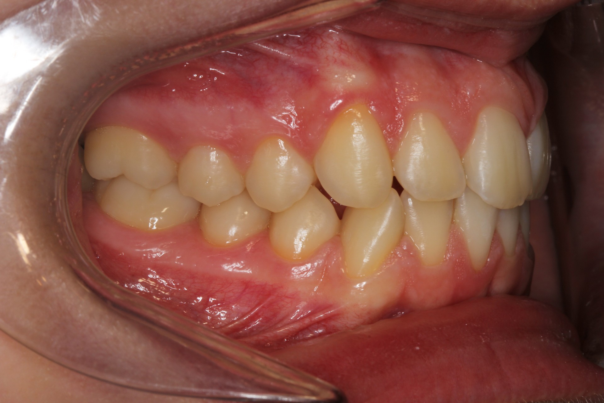
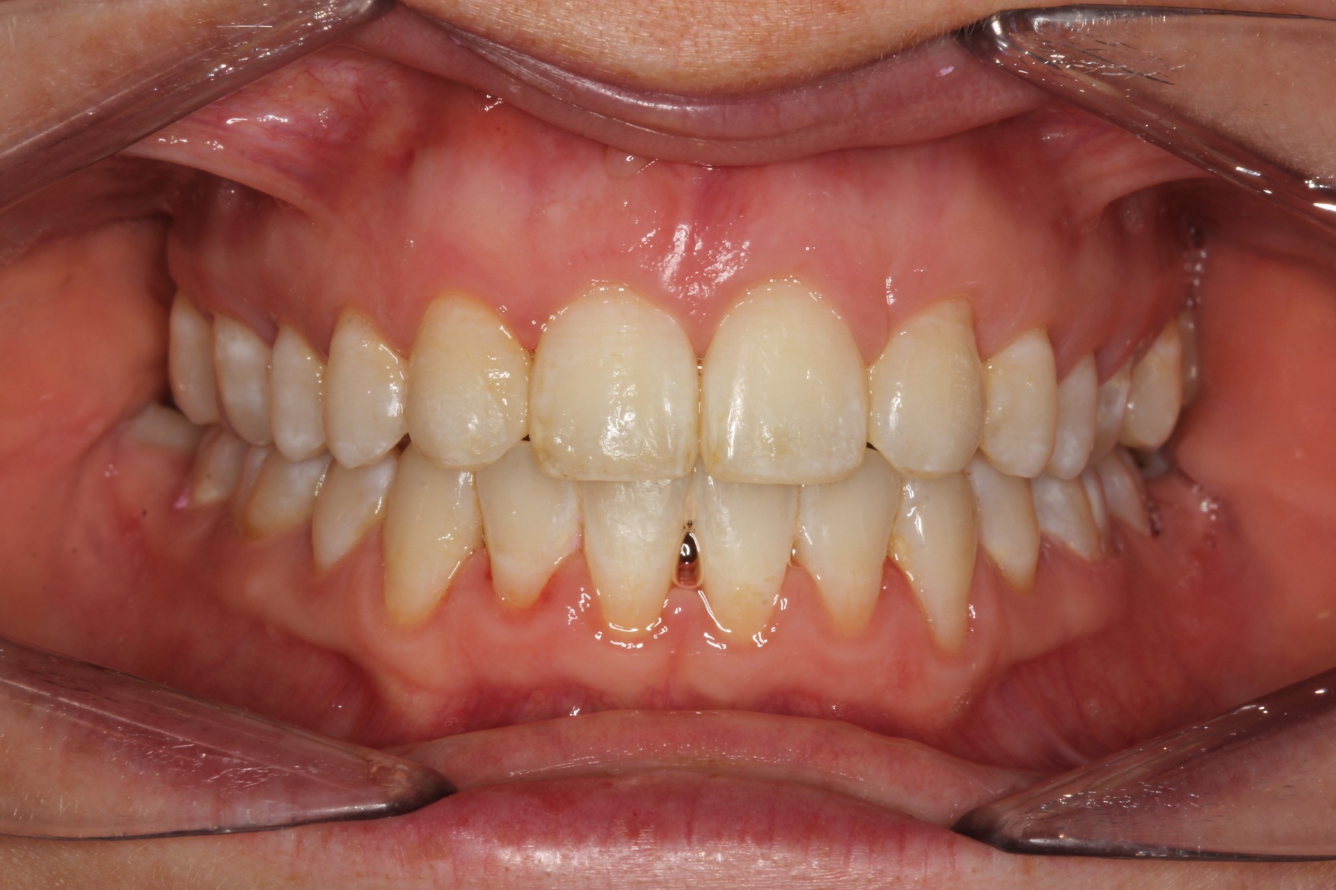
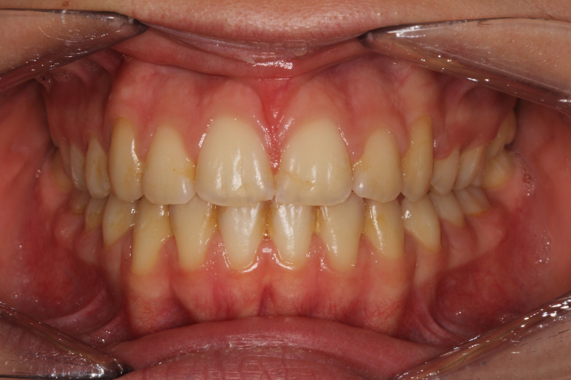
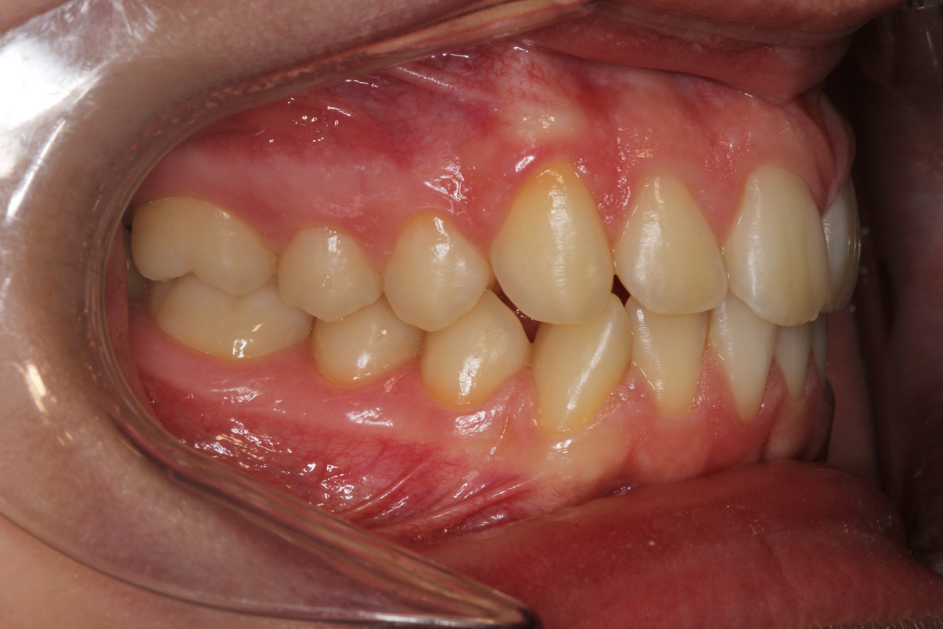
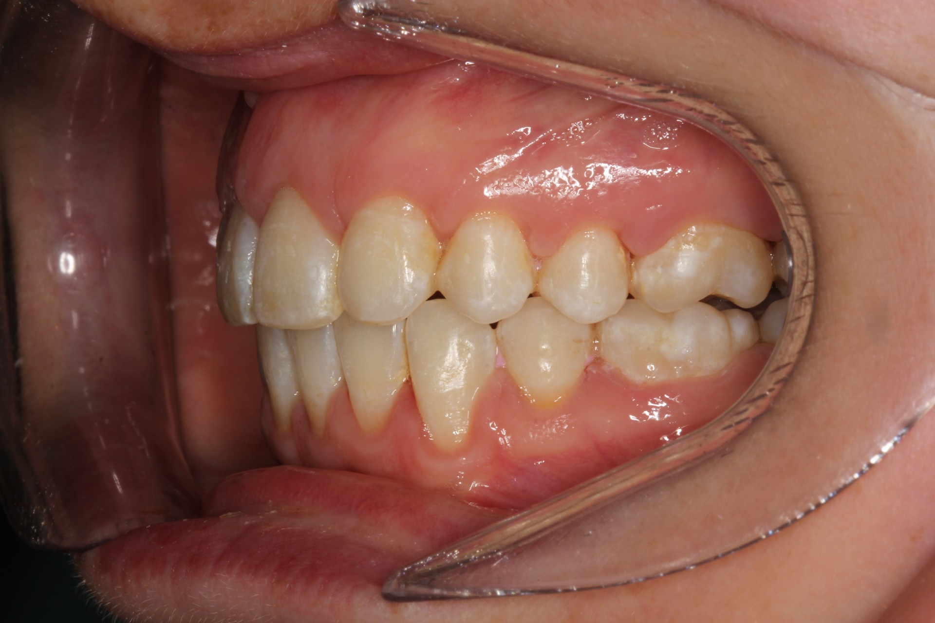
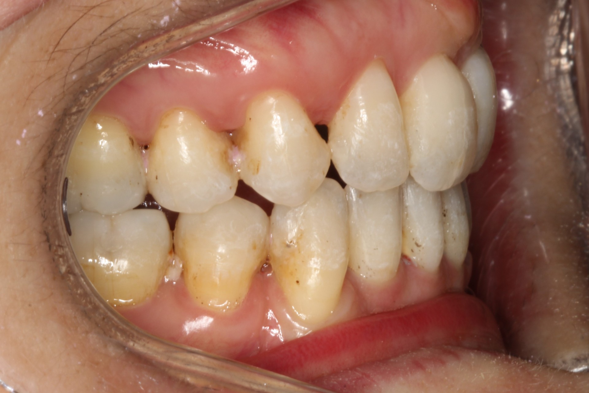
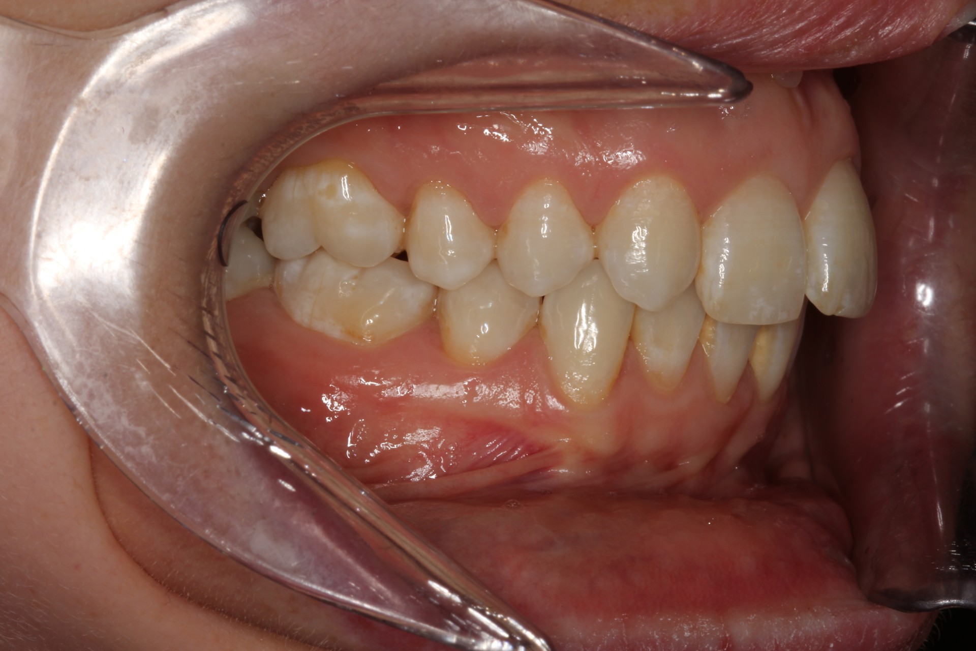
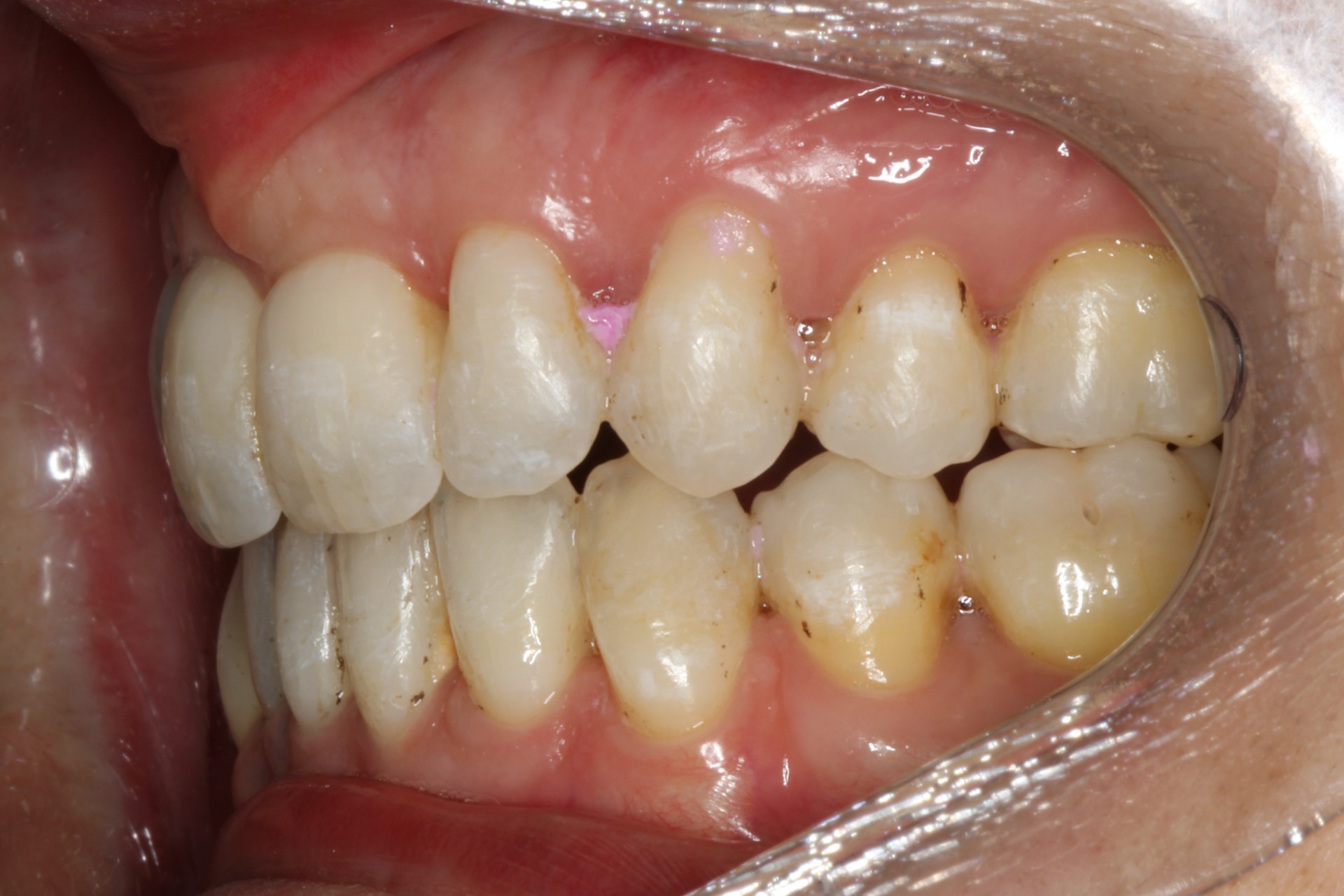
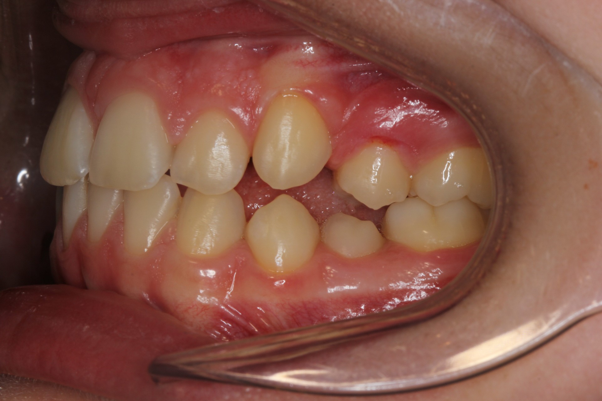
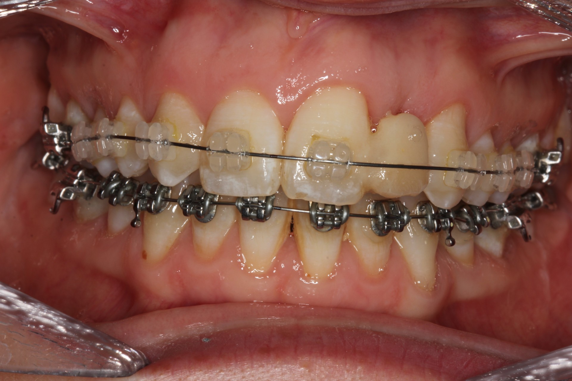
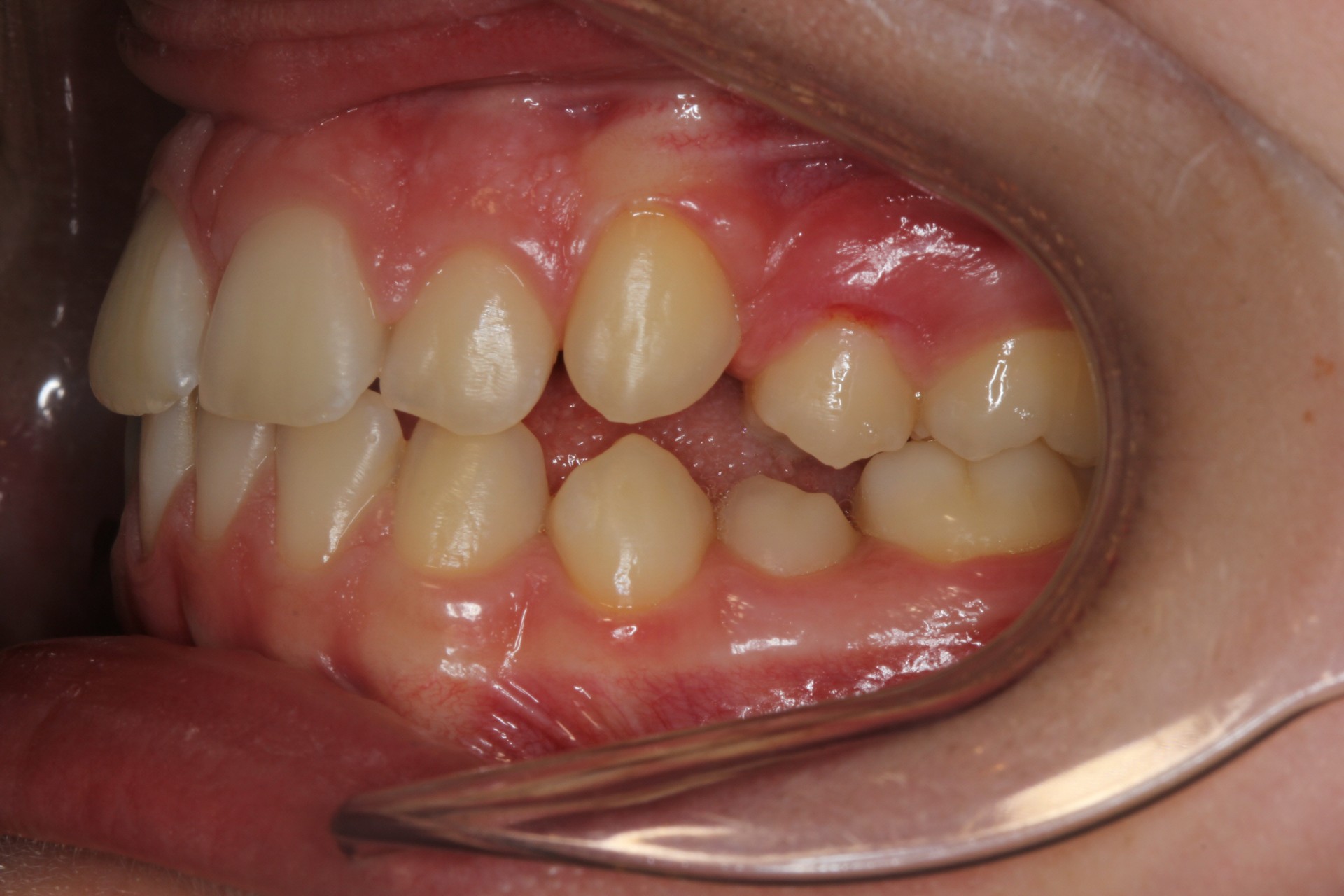
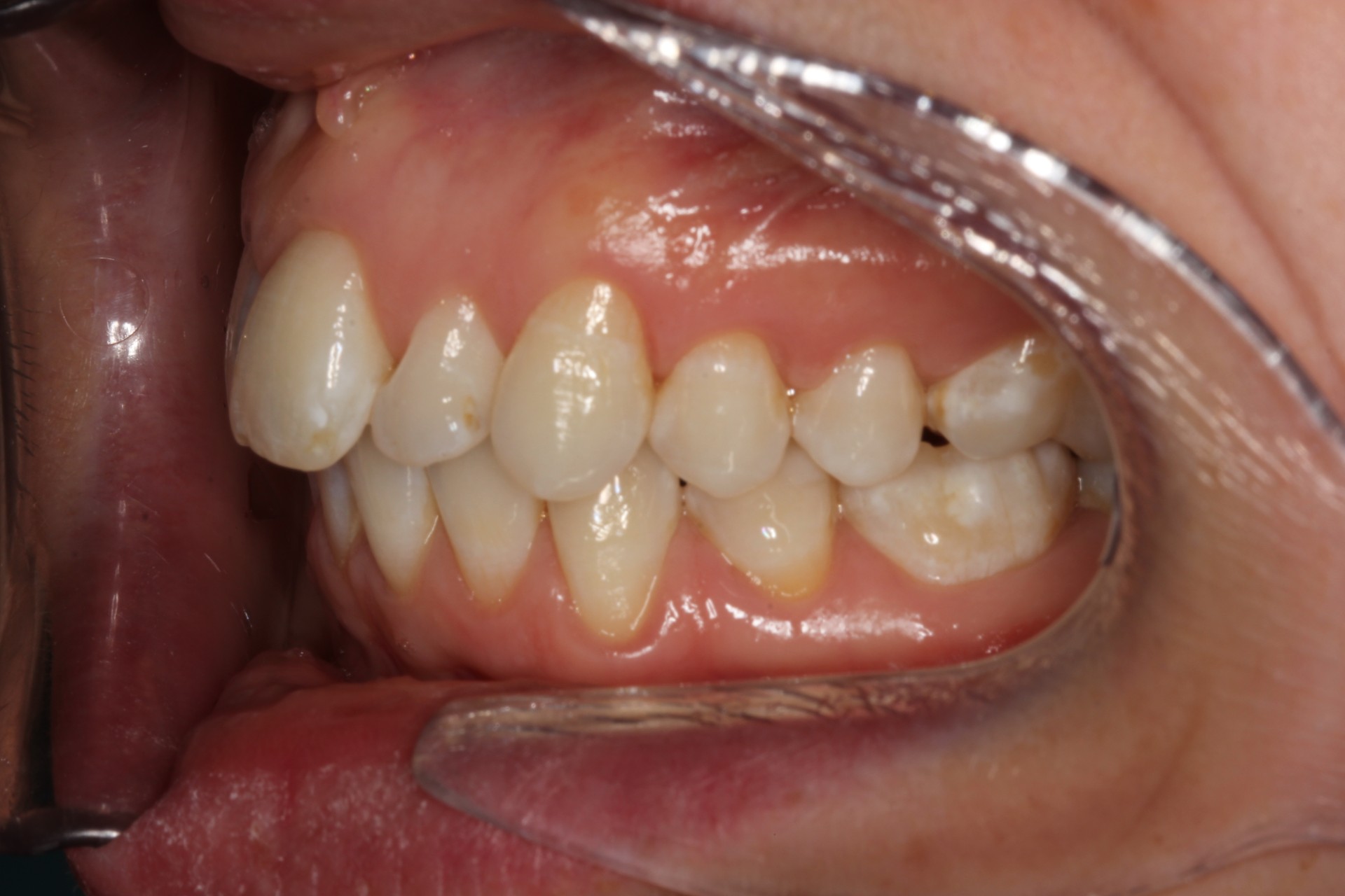
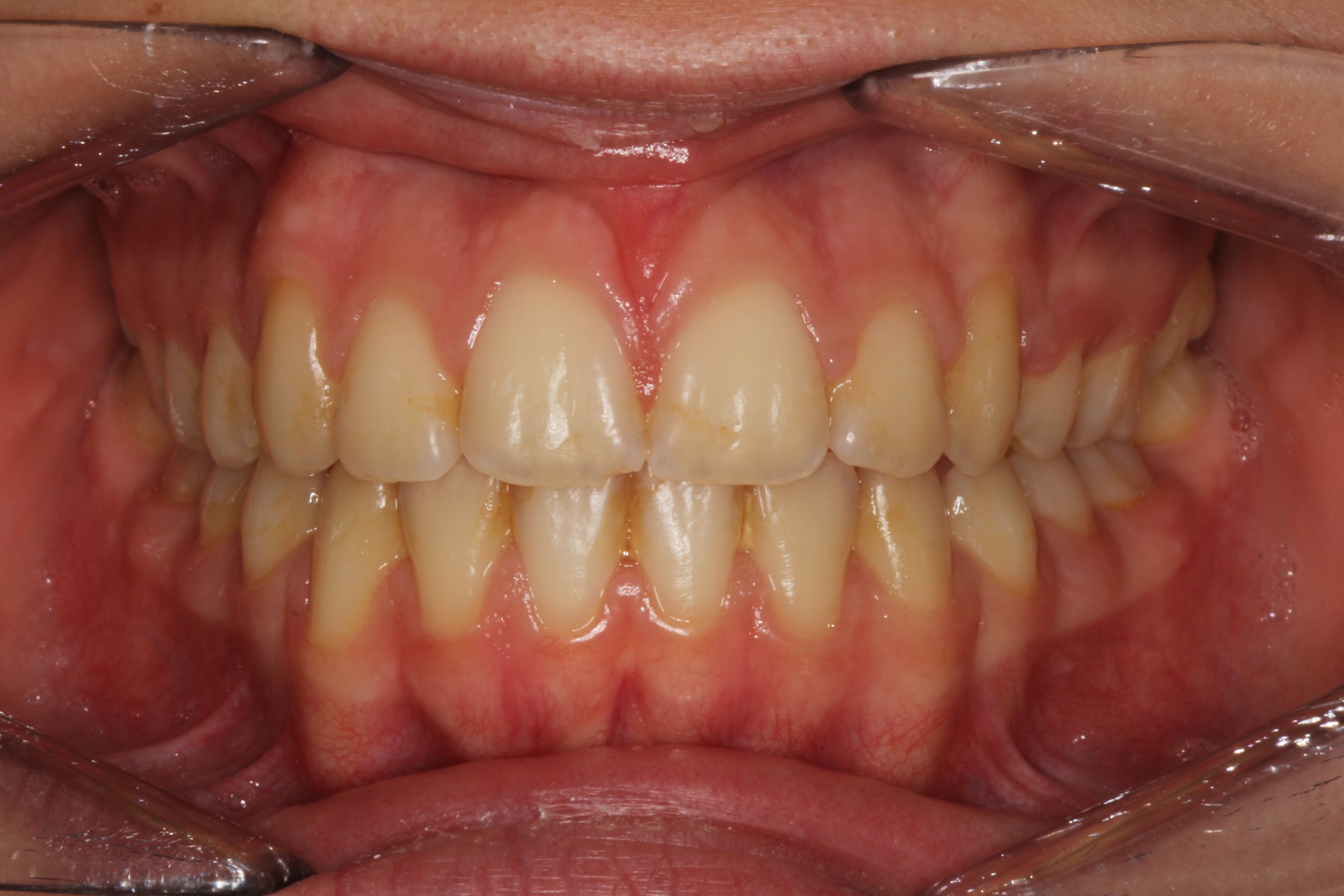
Missing Upper Lateral Incisors – Adult case
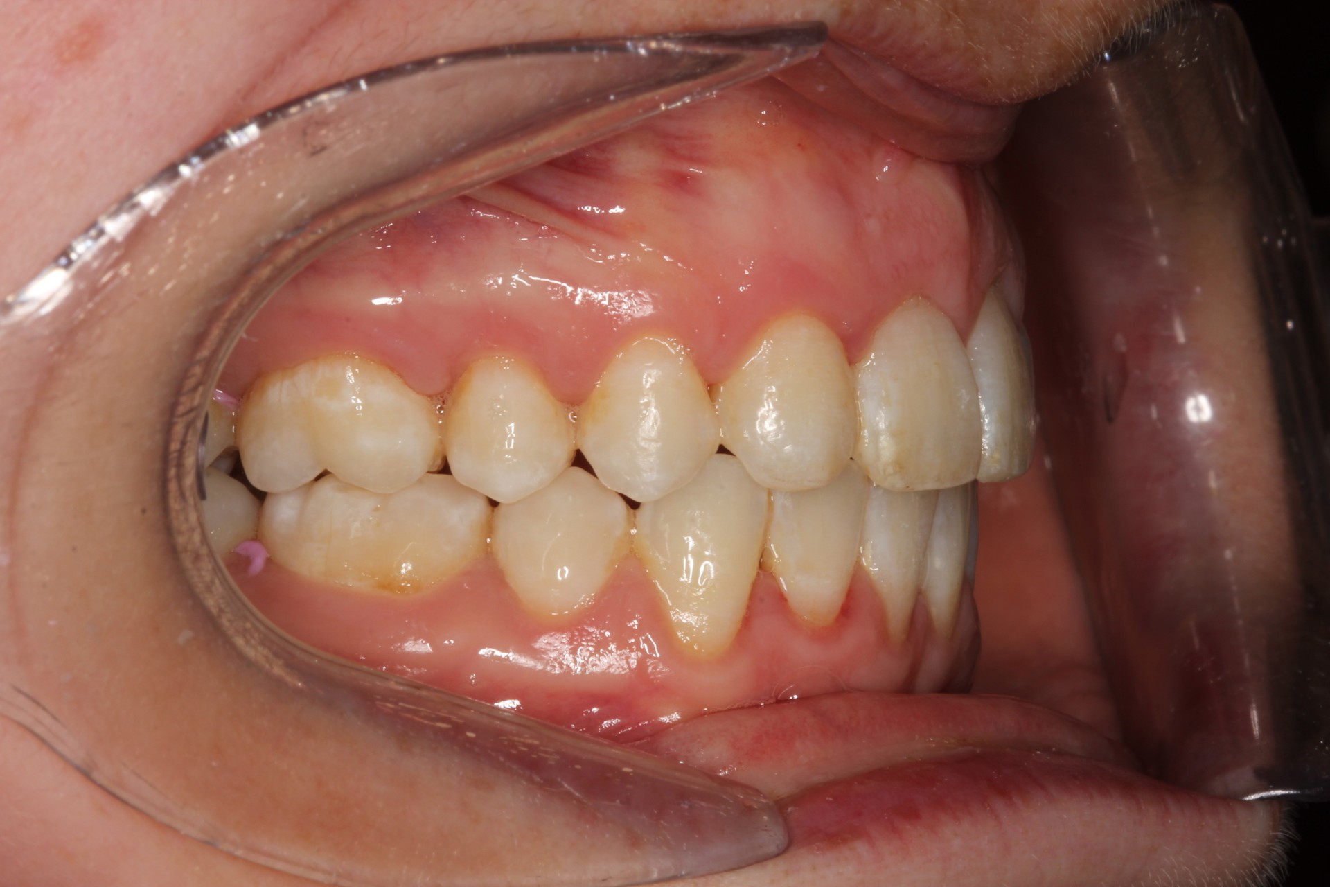
Extraction of Impacted Upper Left First Premolar – Child case