Home » Problems we can solve » Gappy Teeth
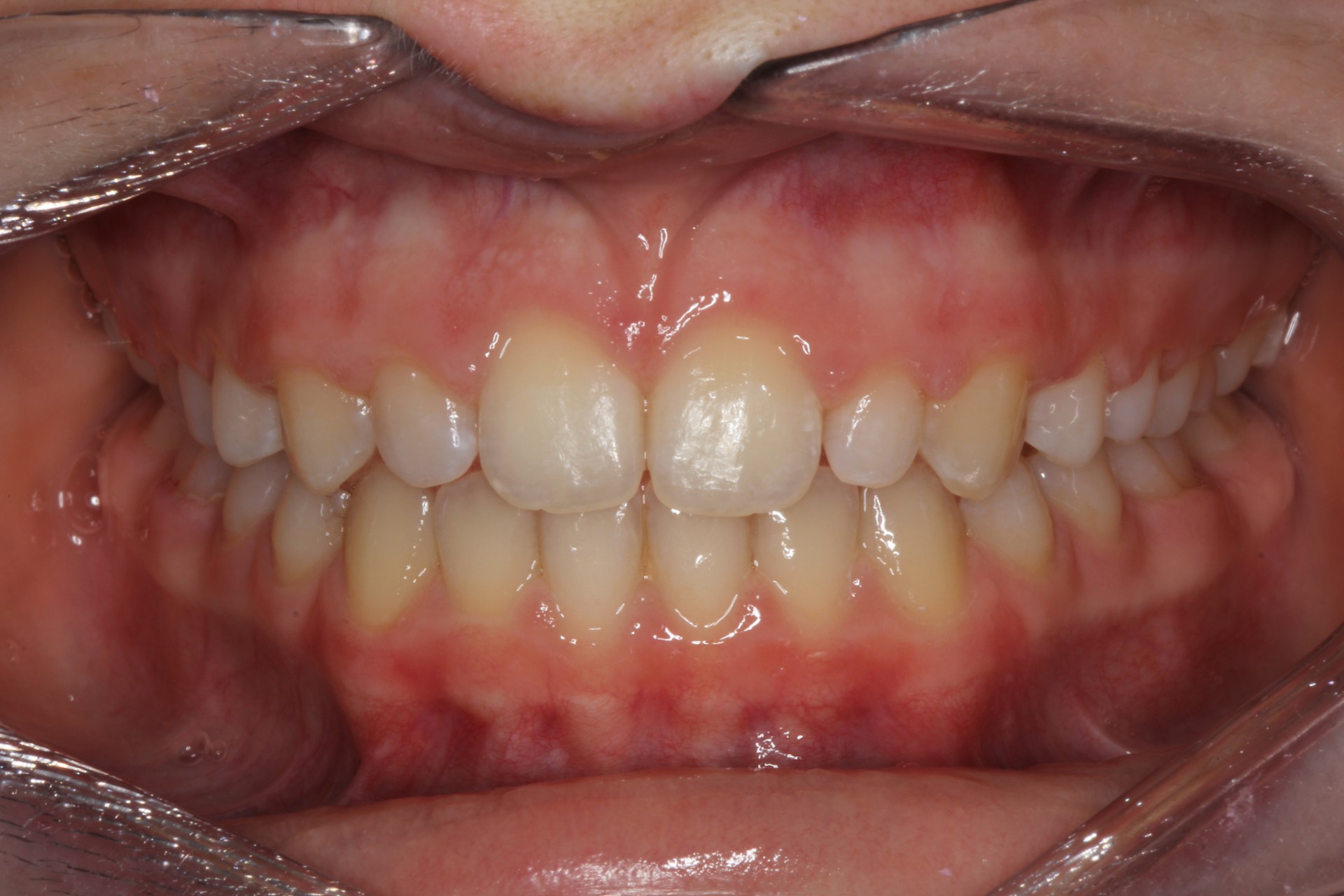
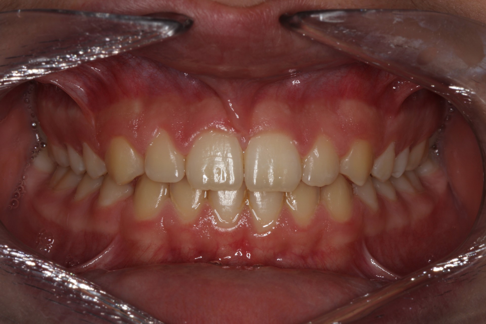
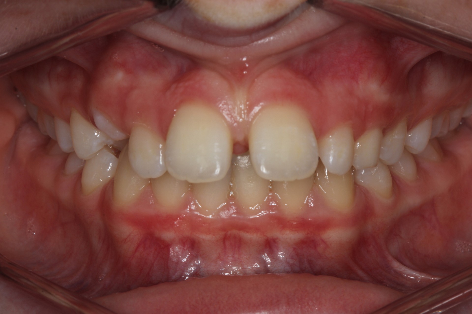
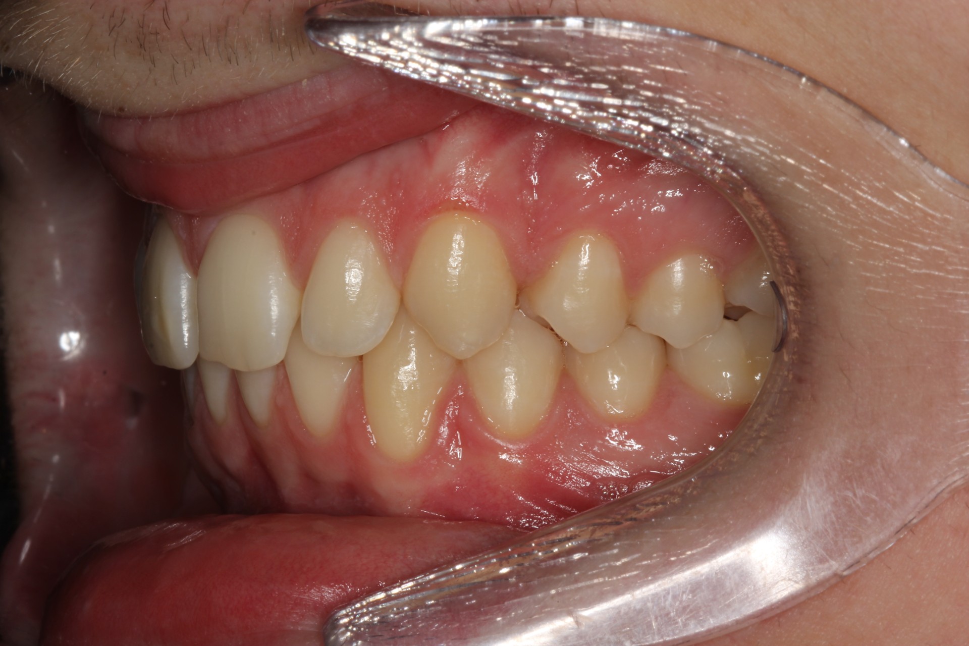
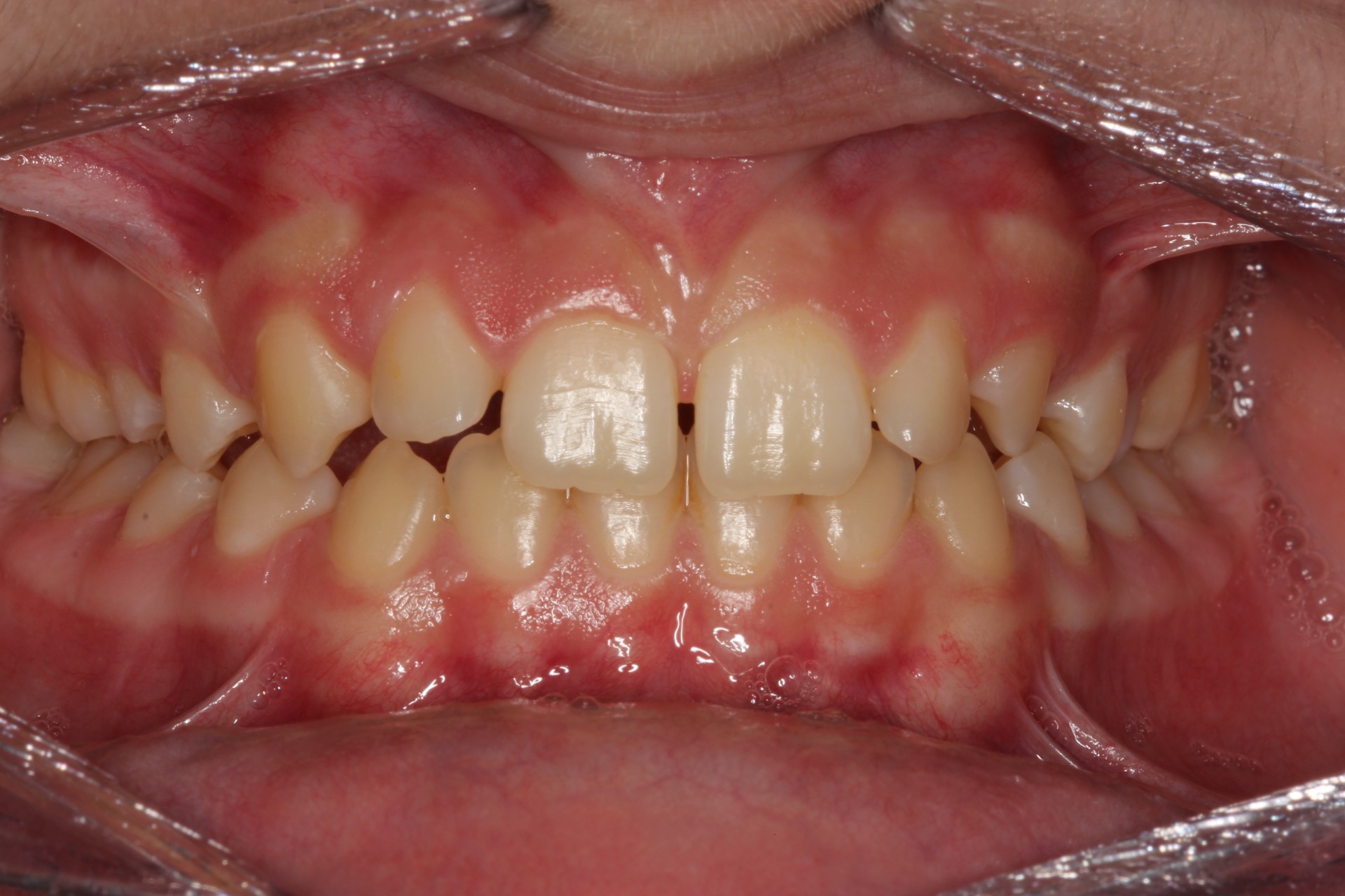
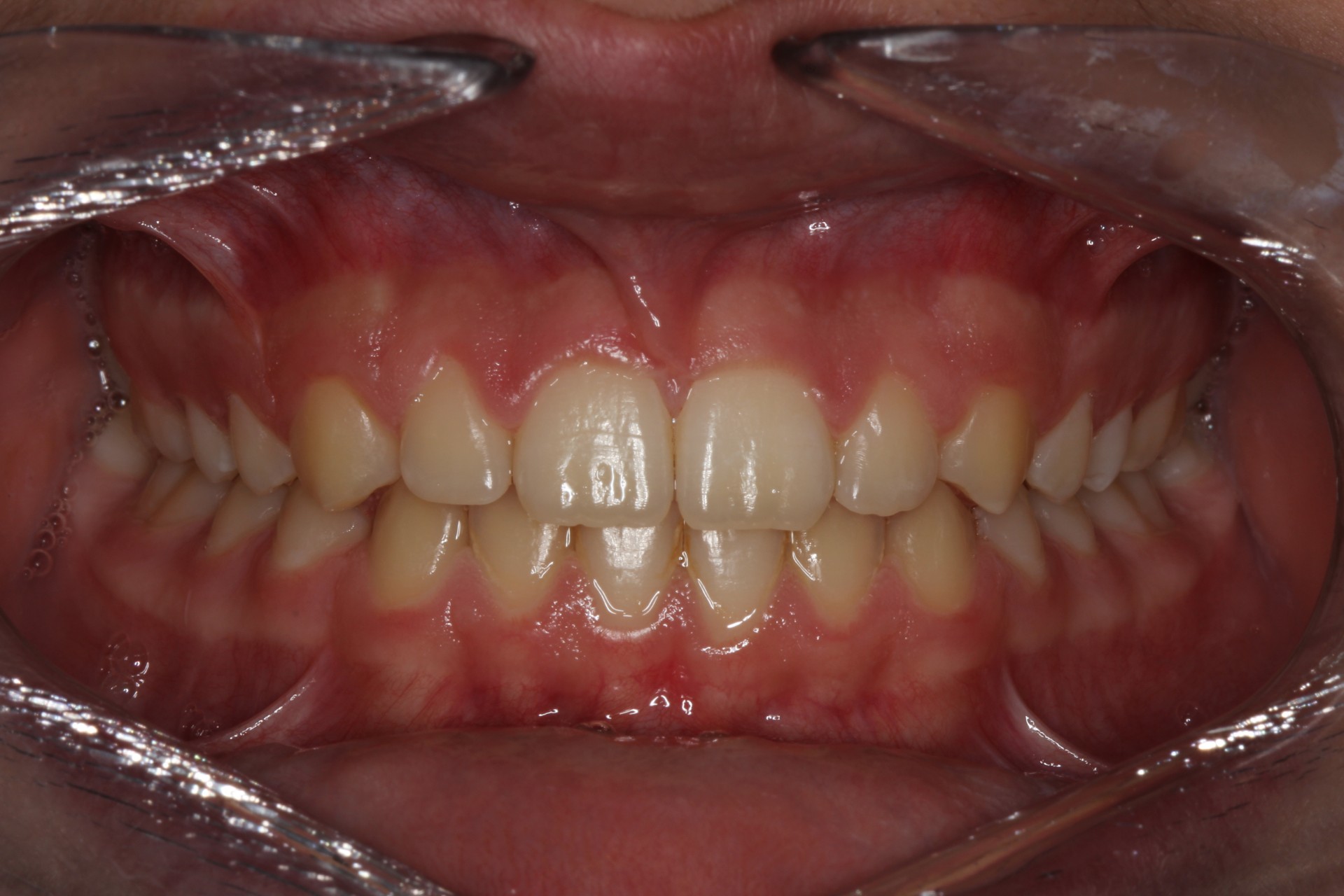
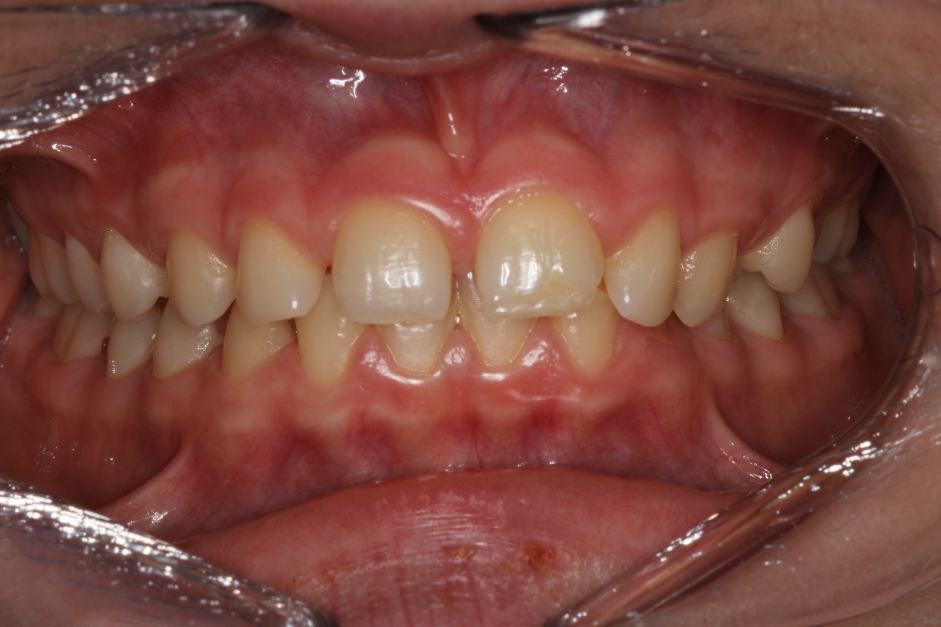
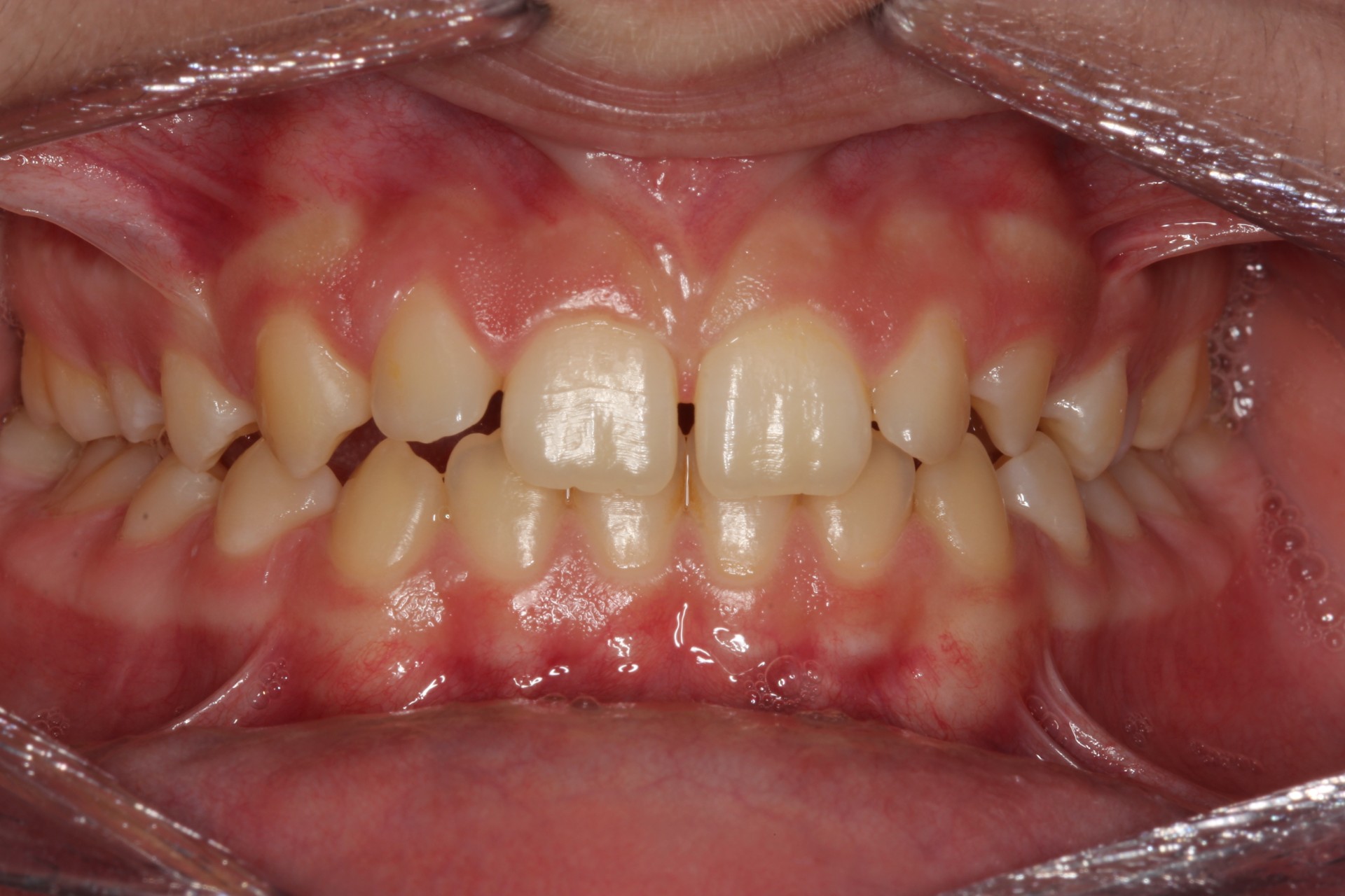
Spacing with midline diastema – Child case
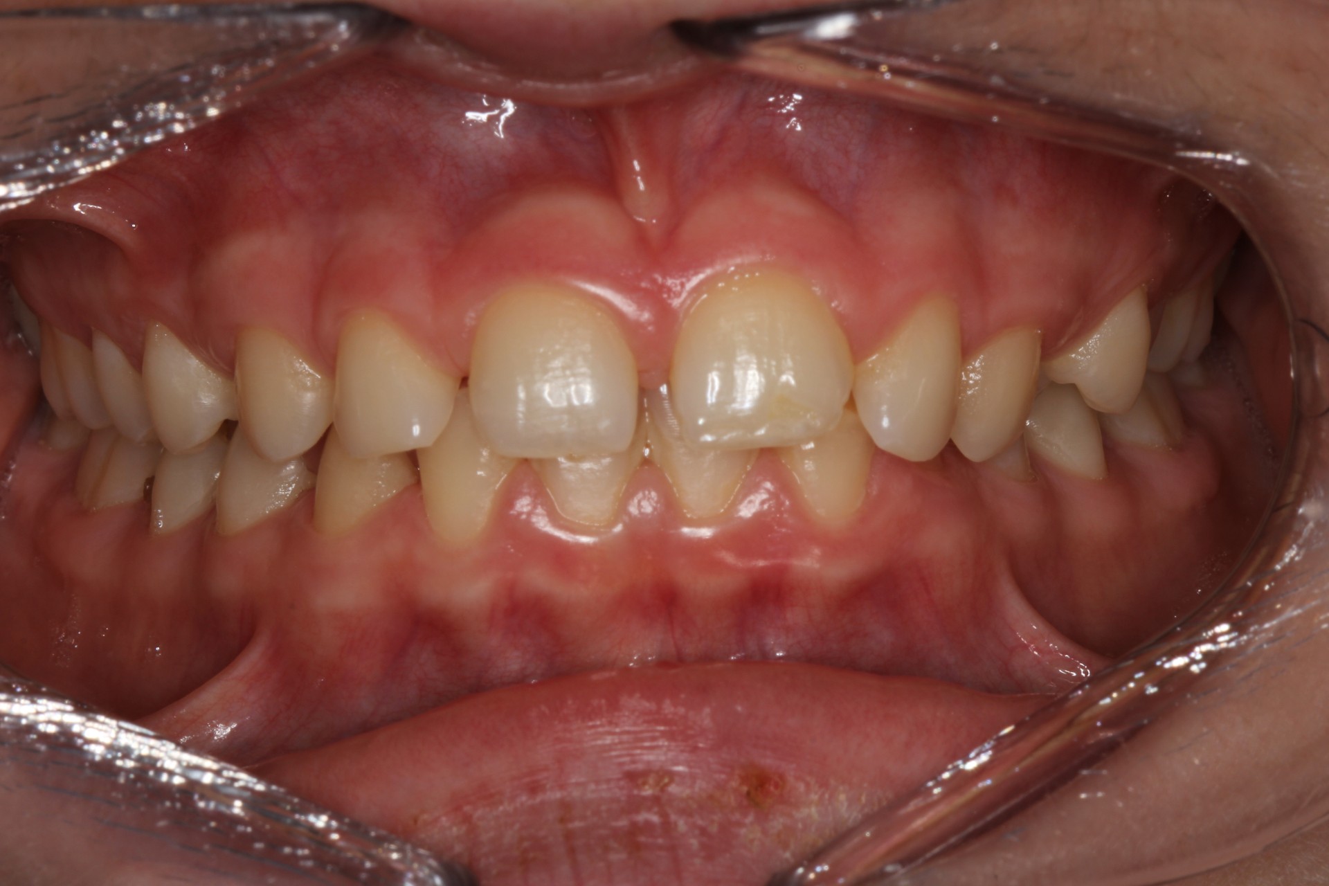
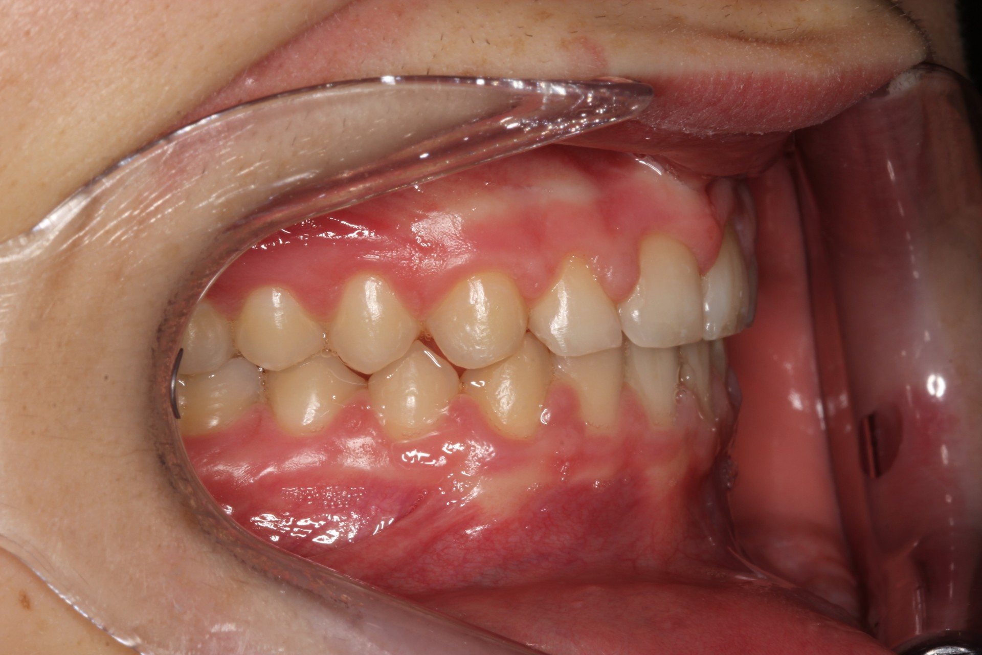
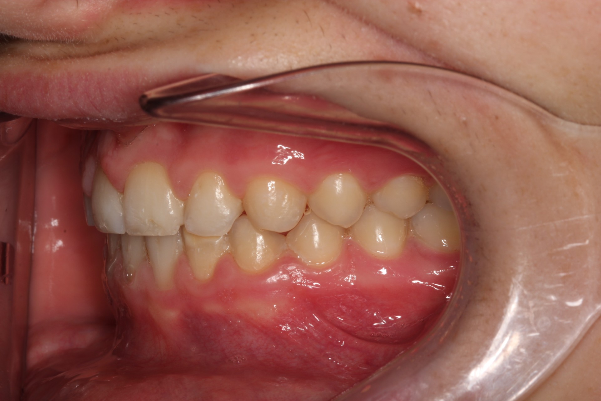
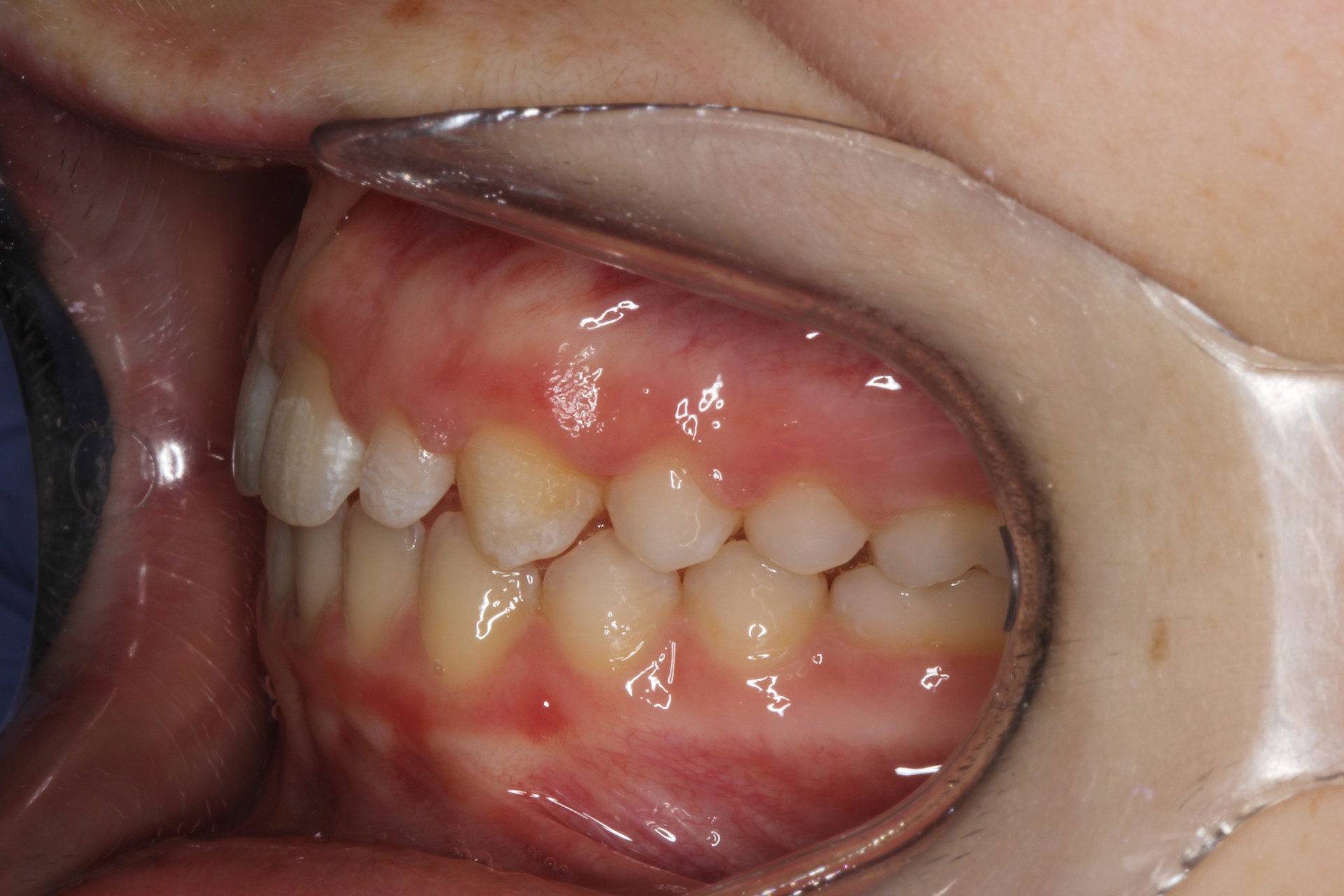
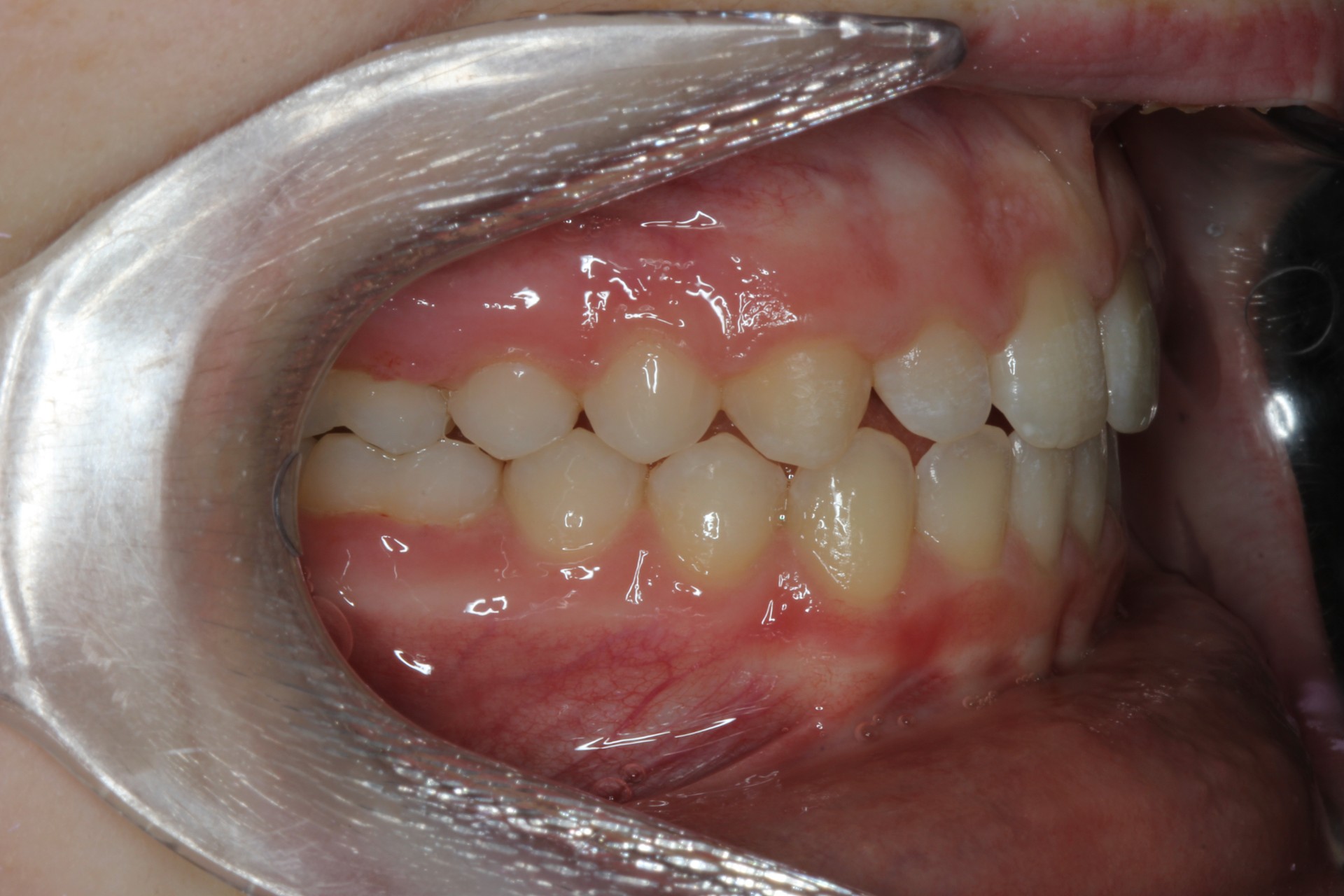
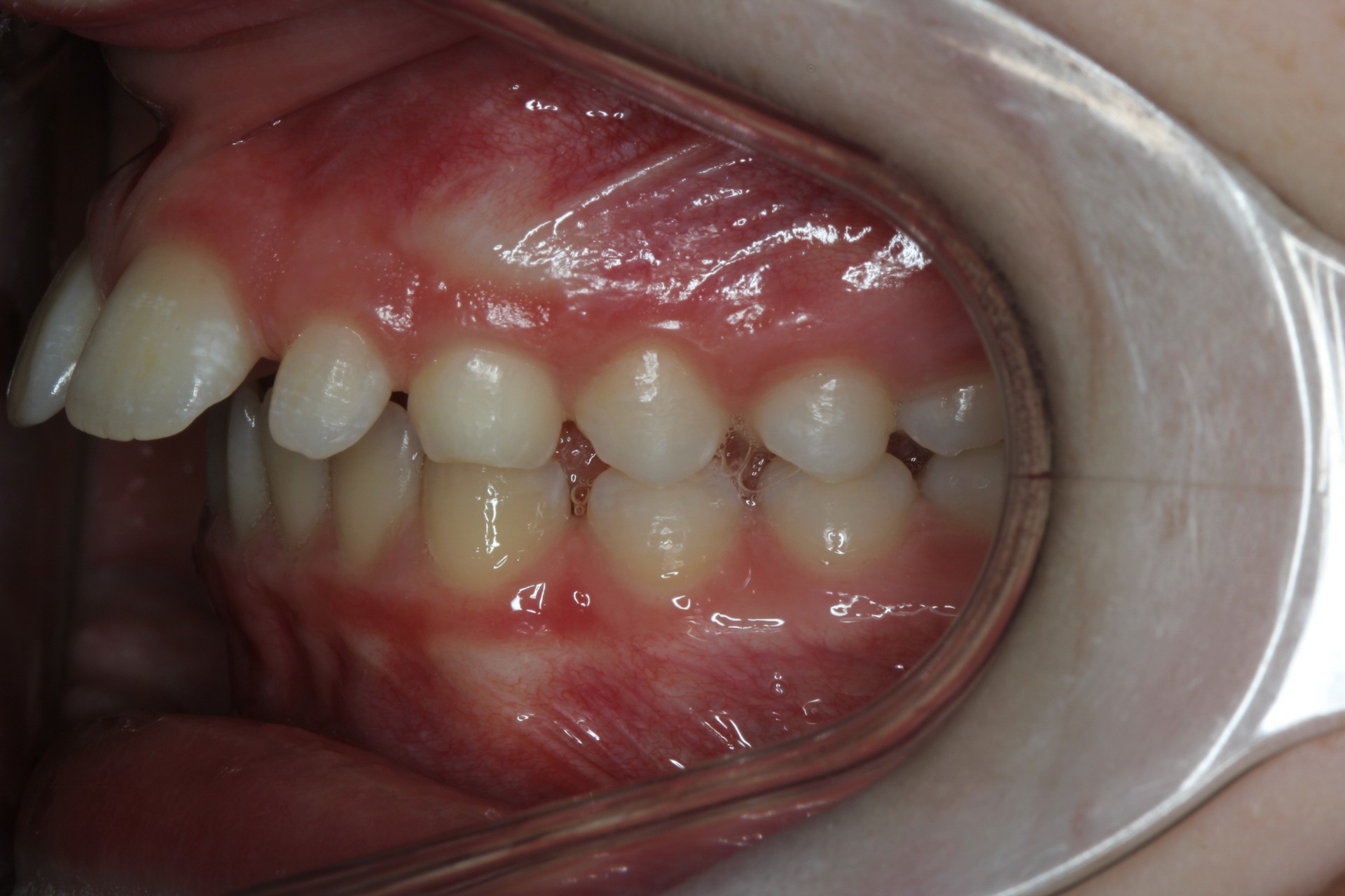
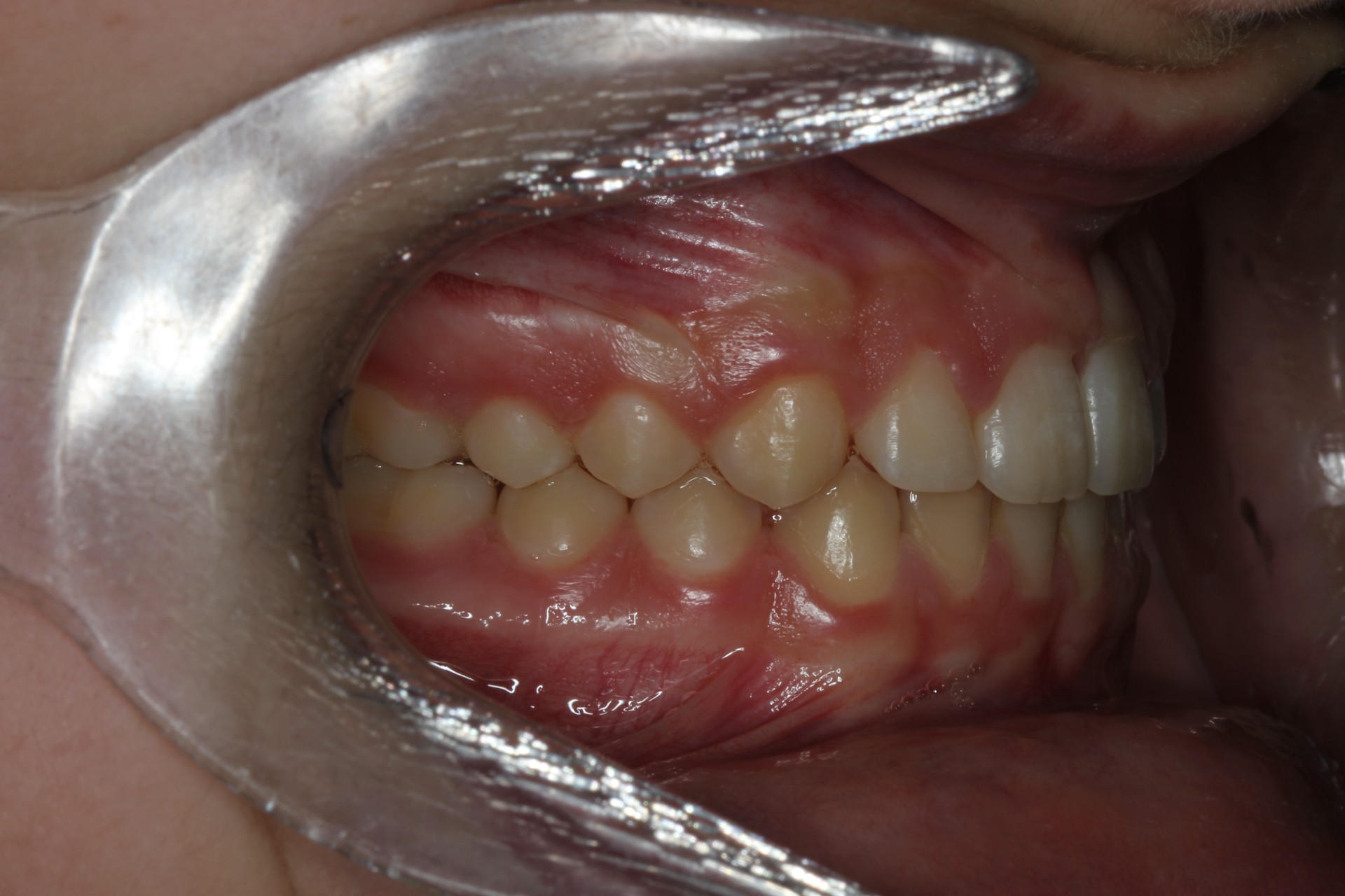
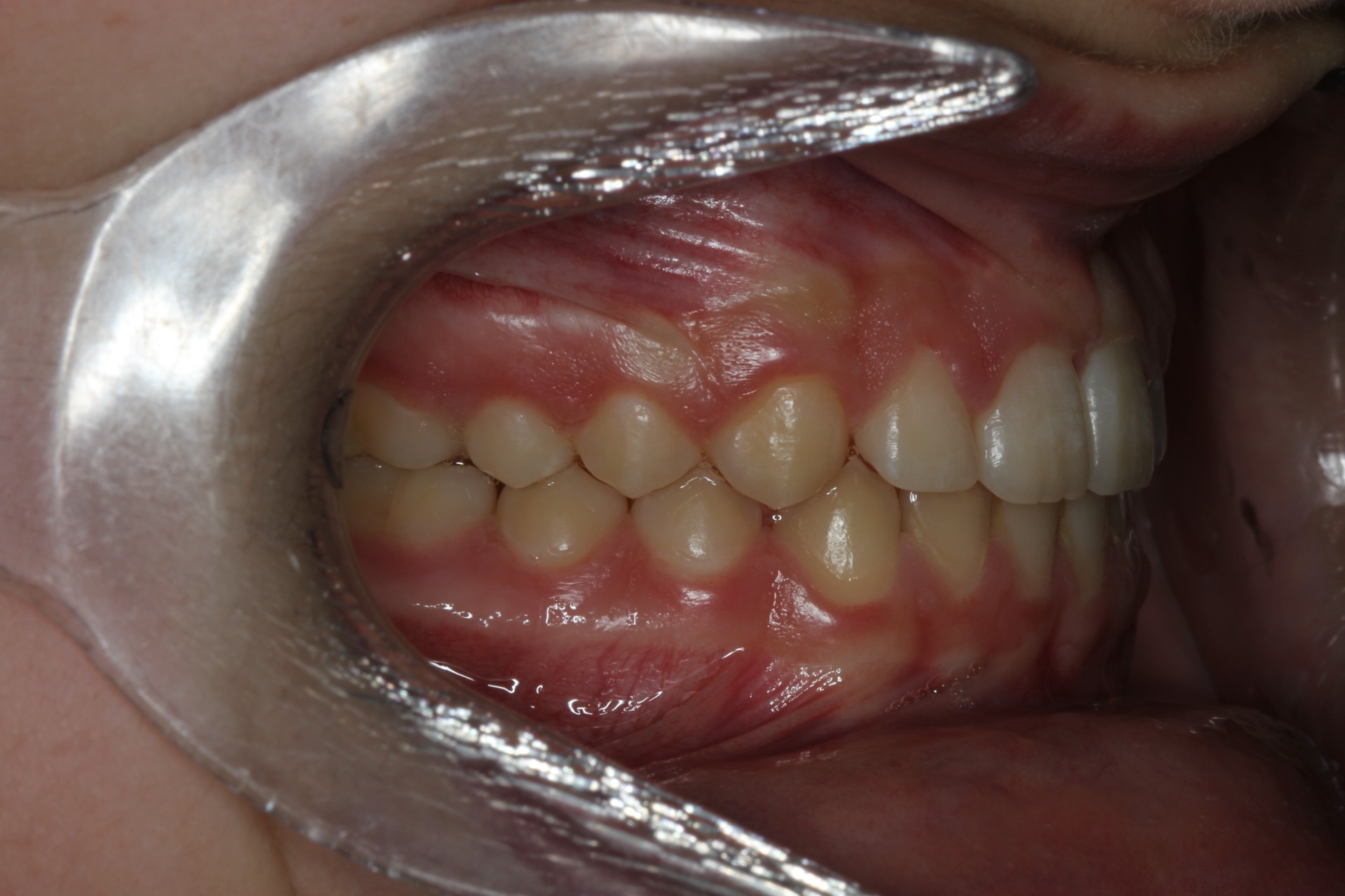
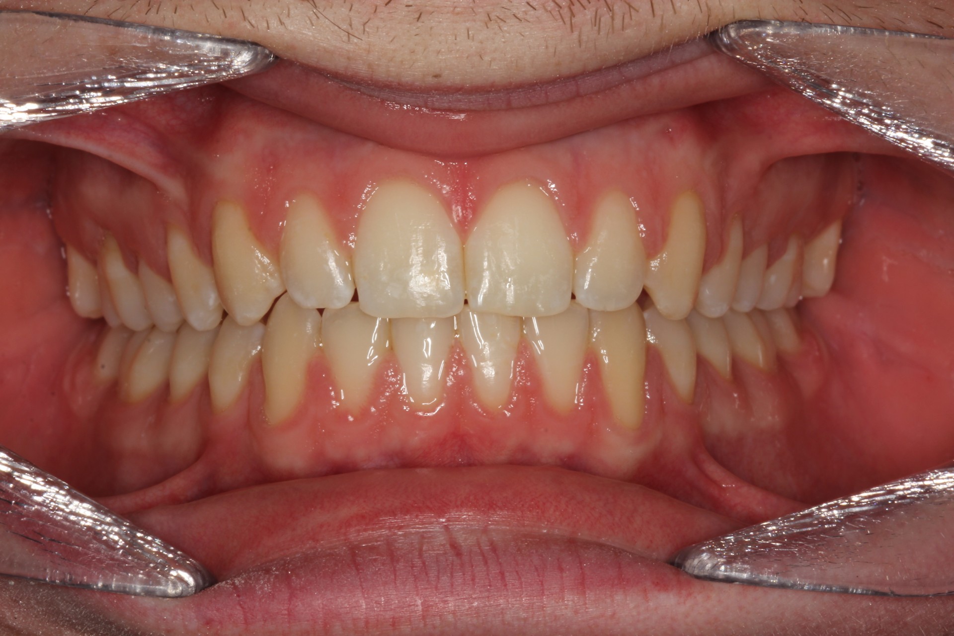
Spacing – Child case
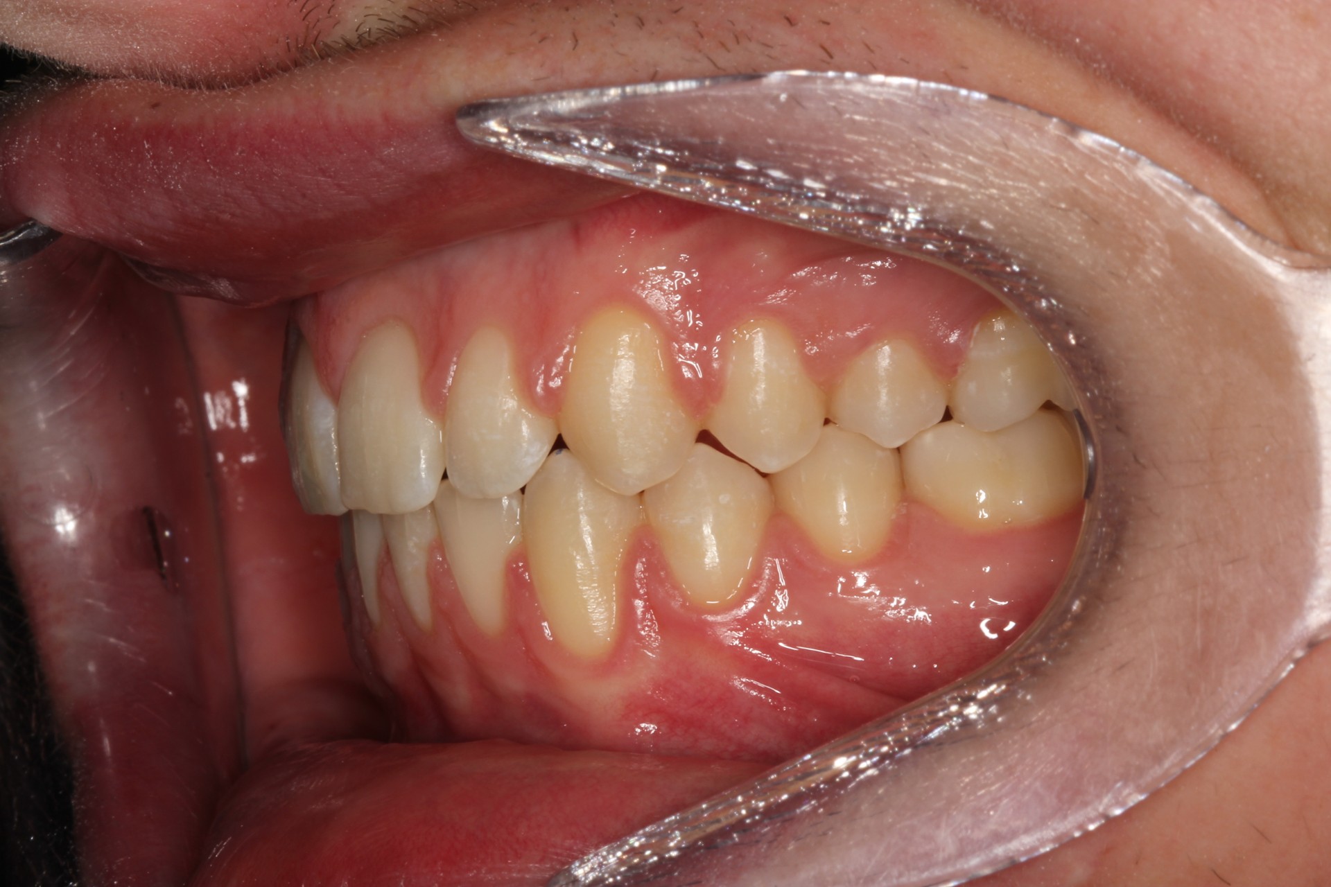
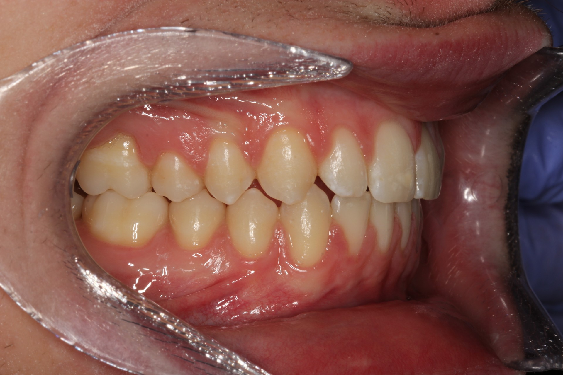
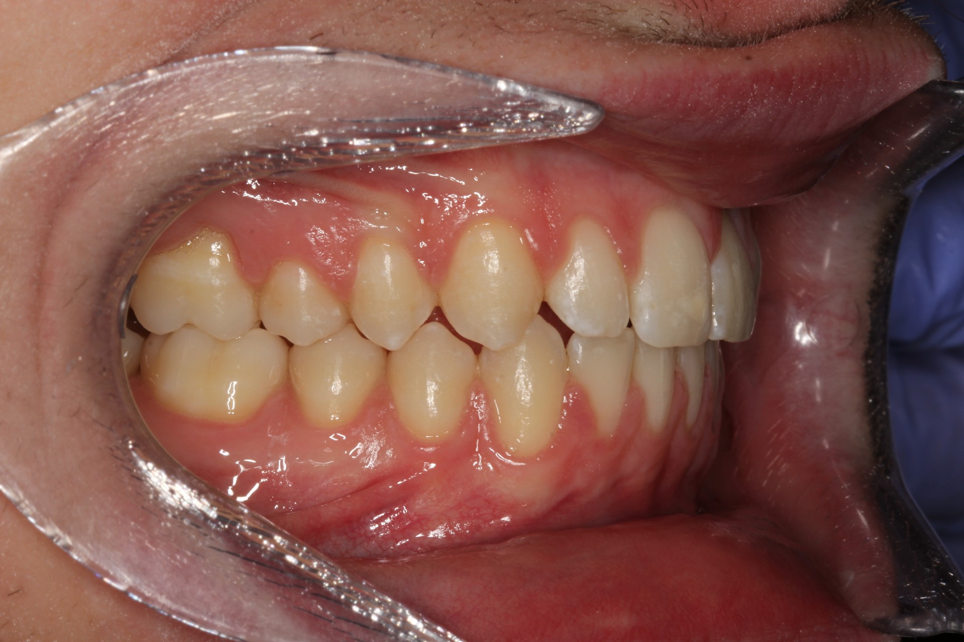
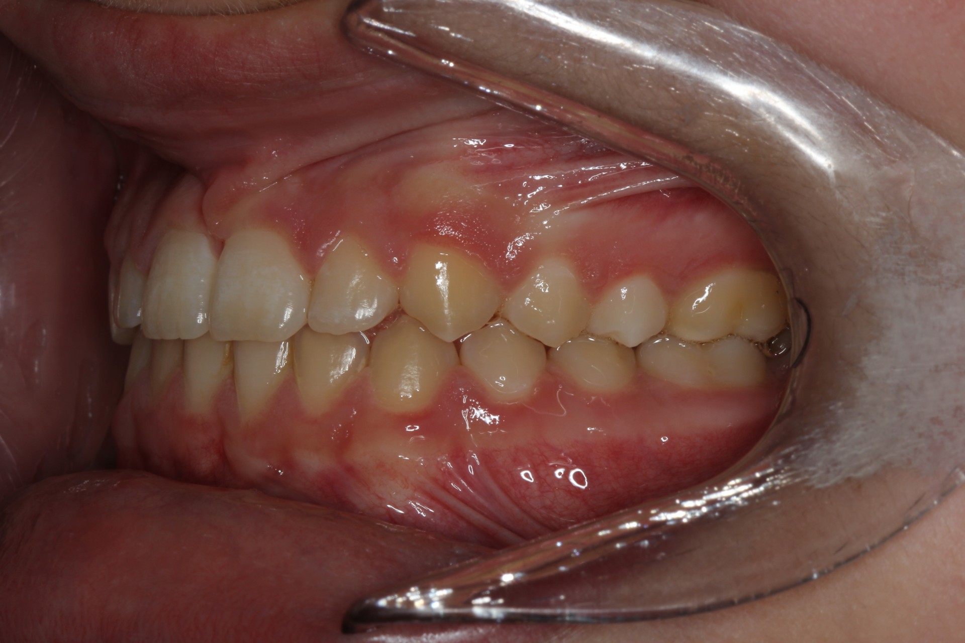
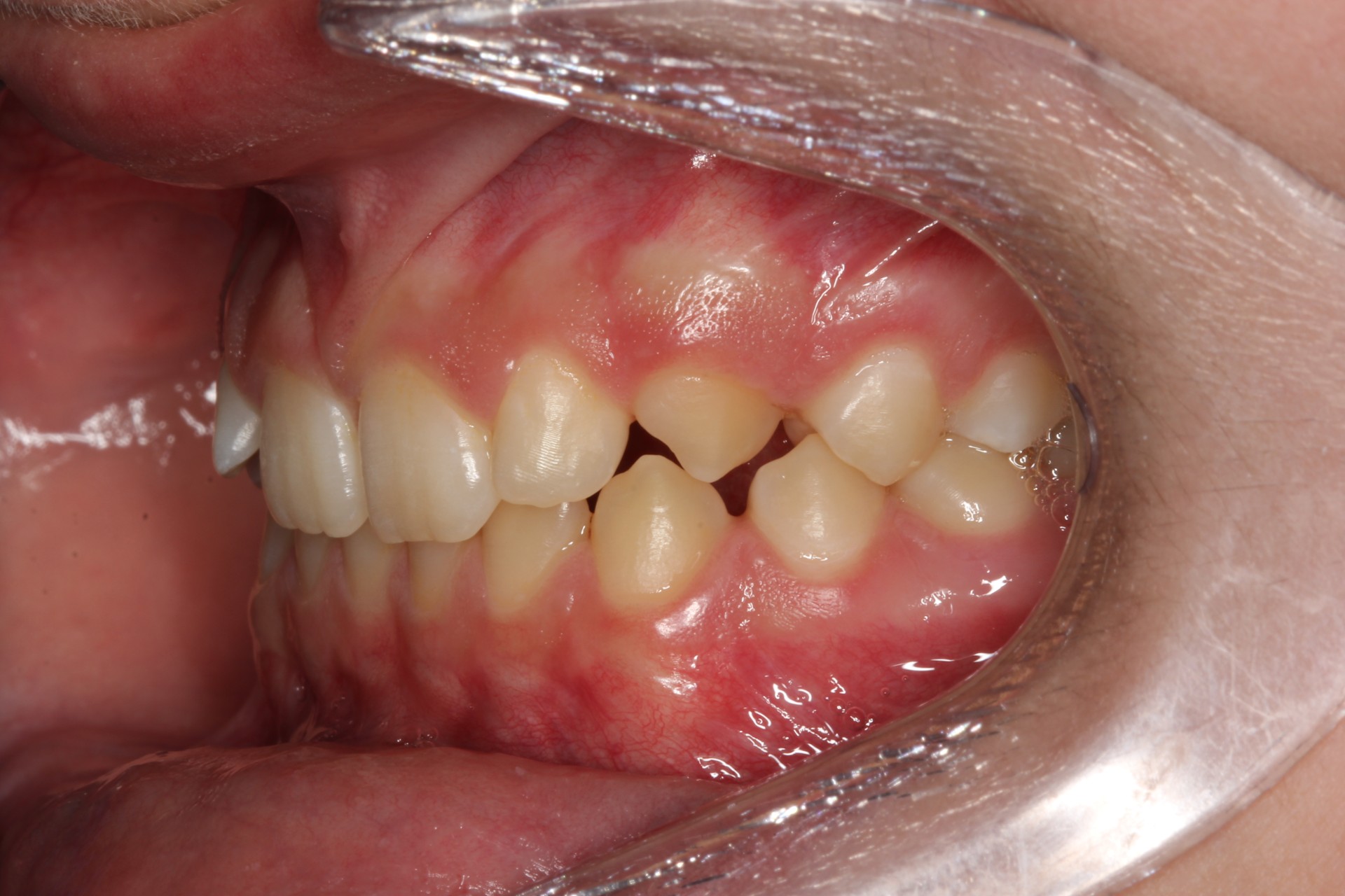
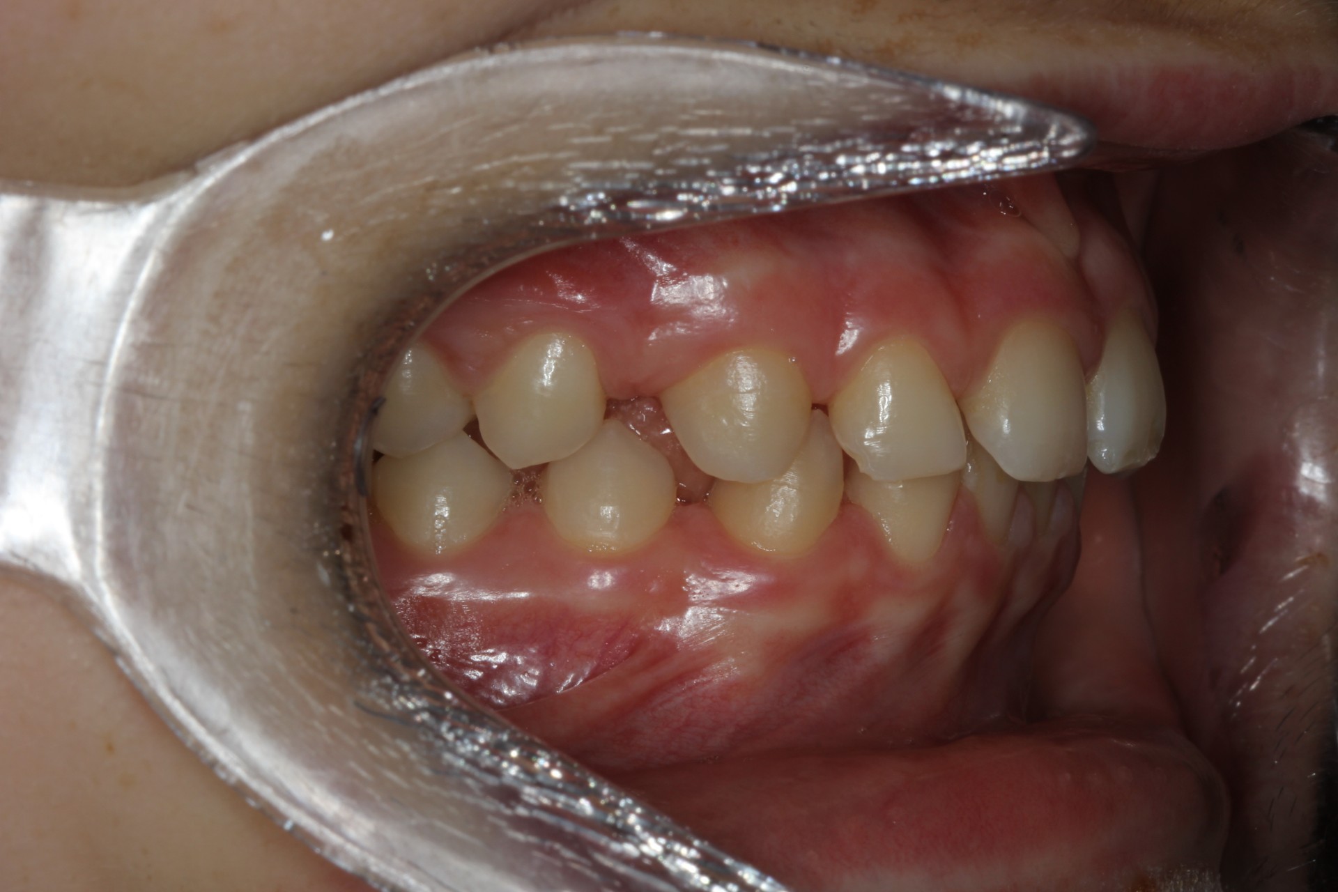
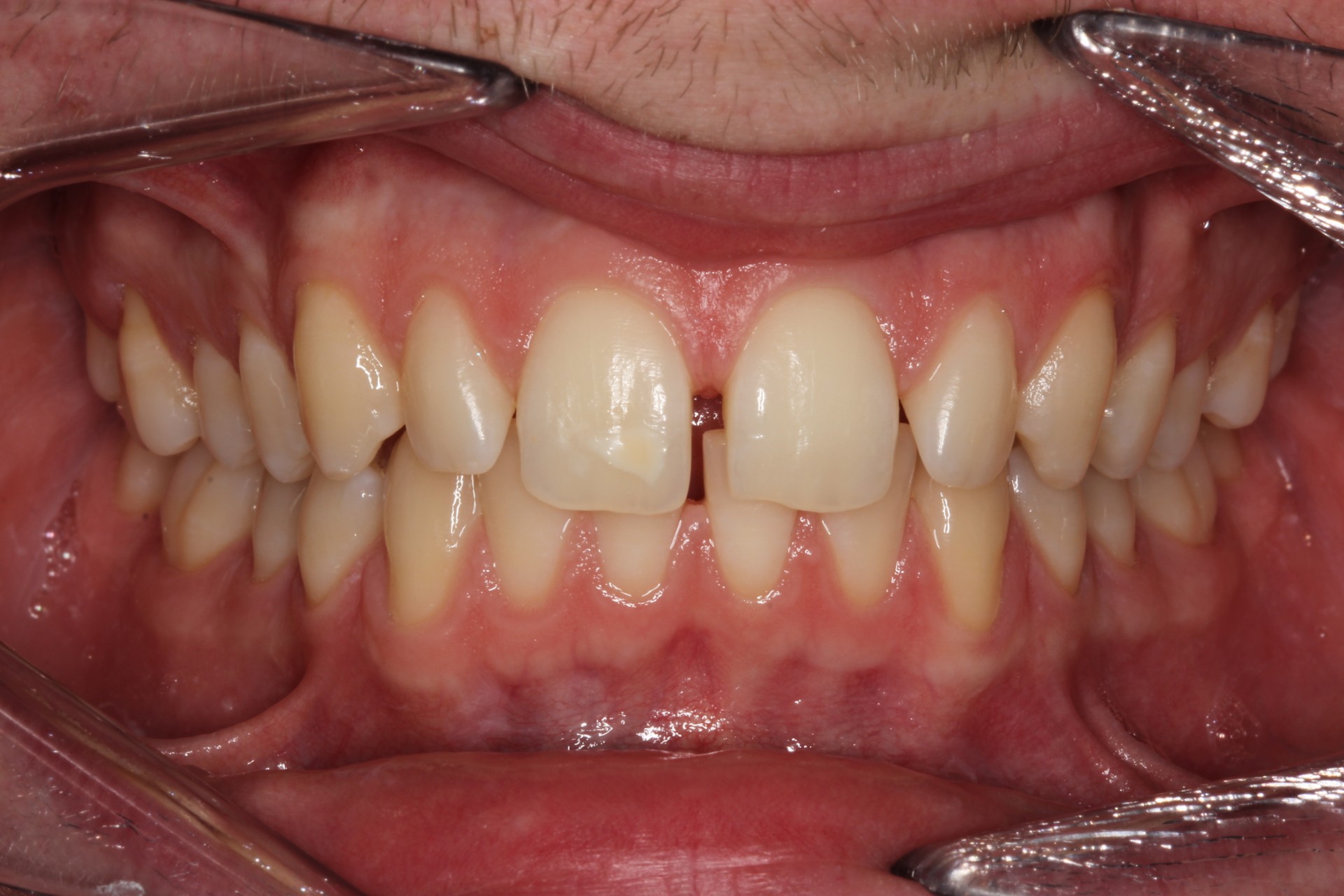
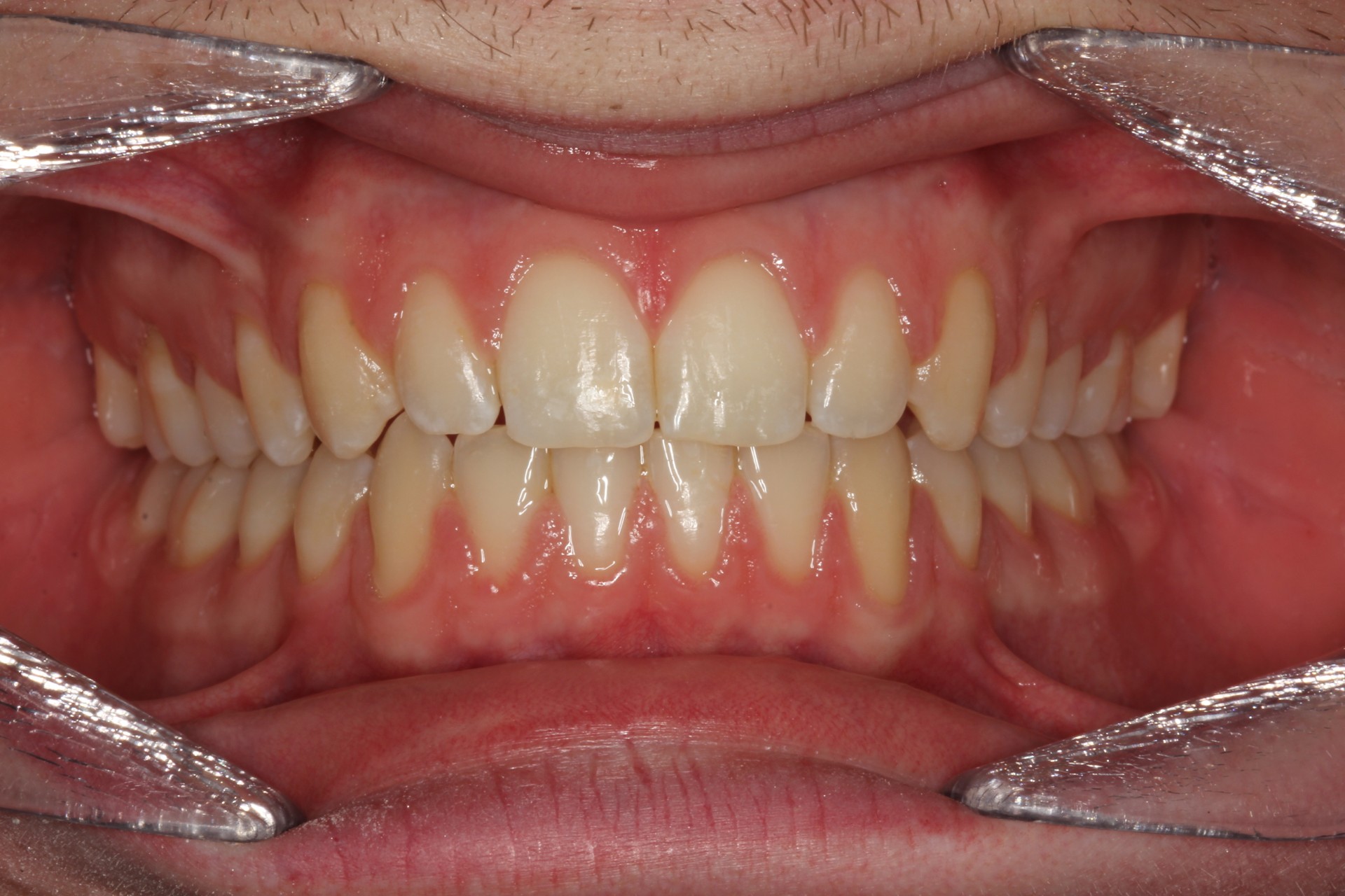
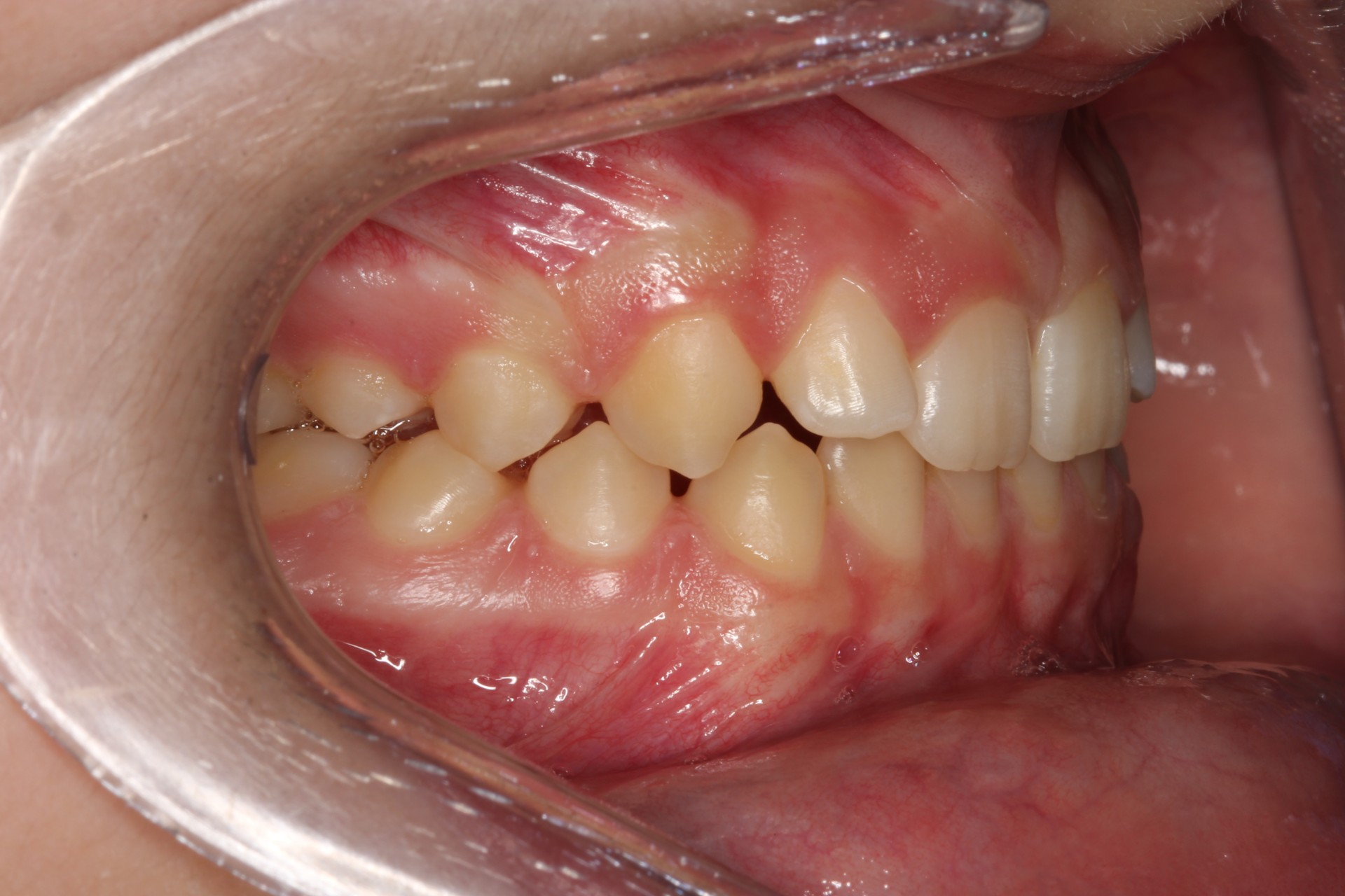
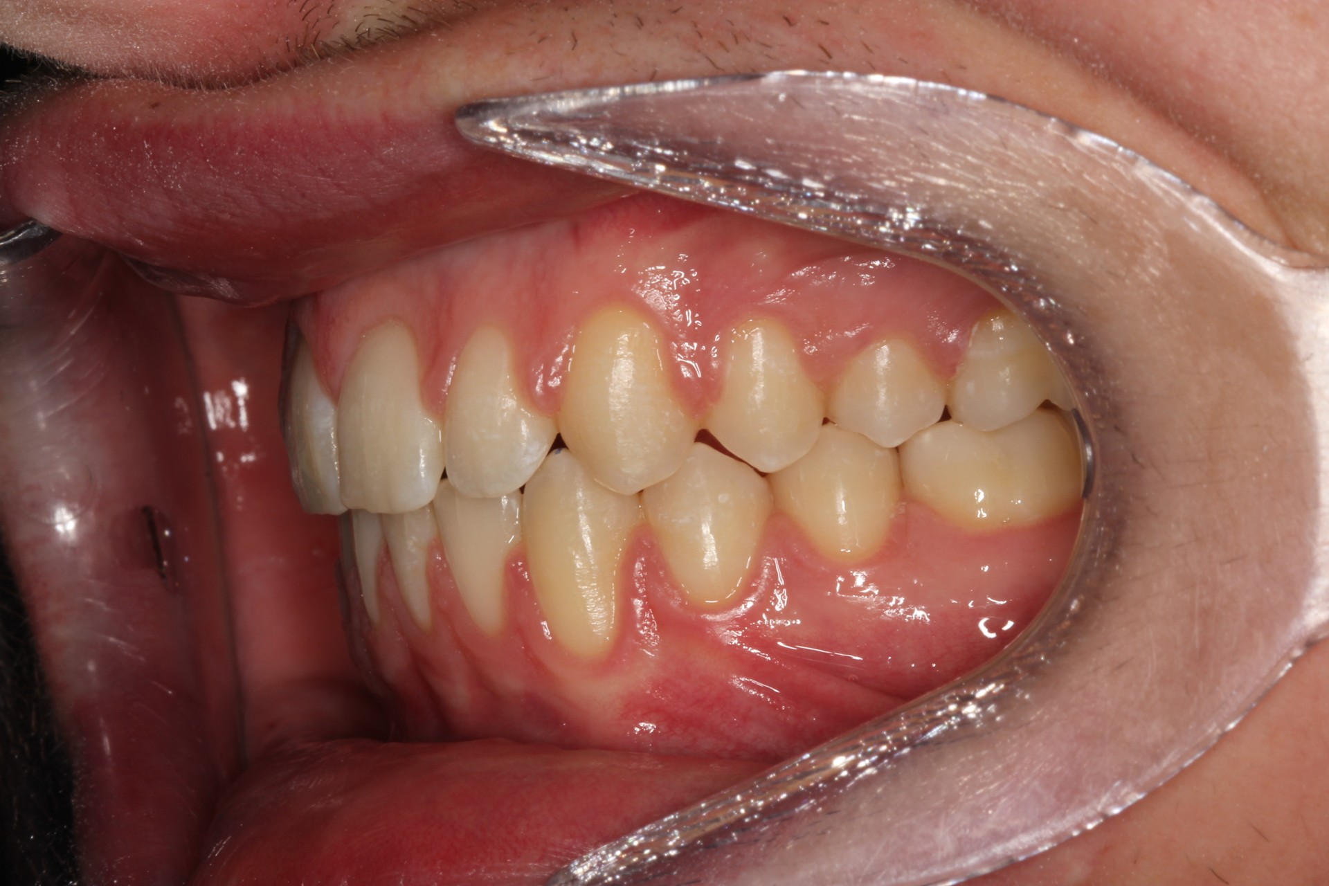
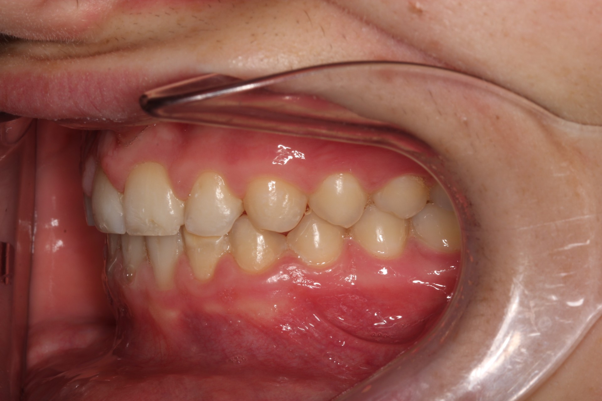
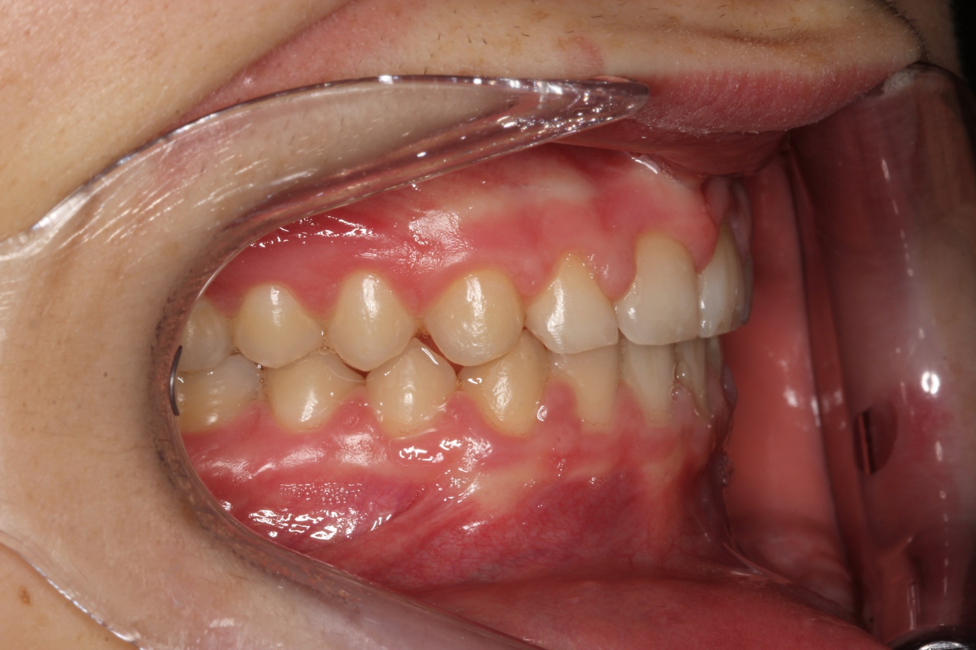
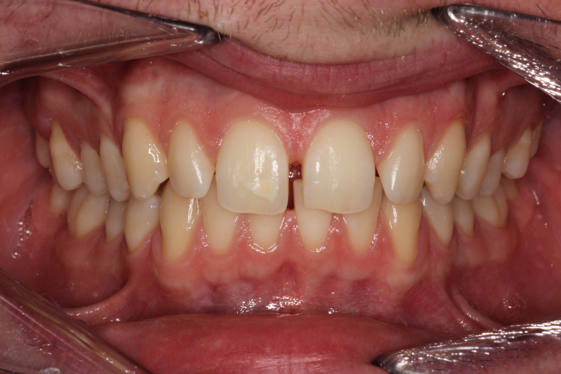
Spacing – Adult case