Contact

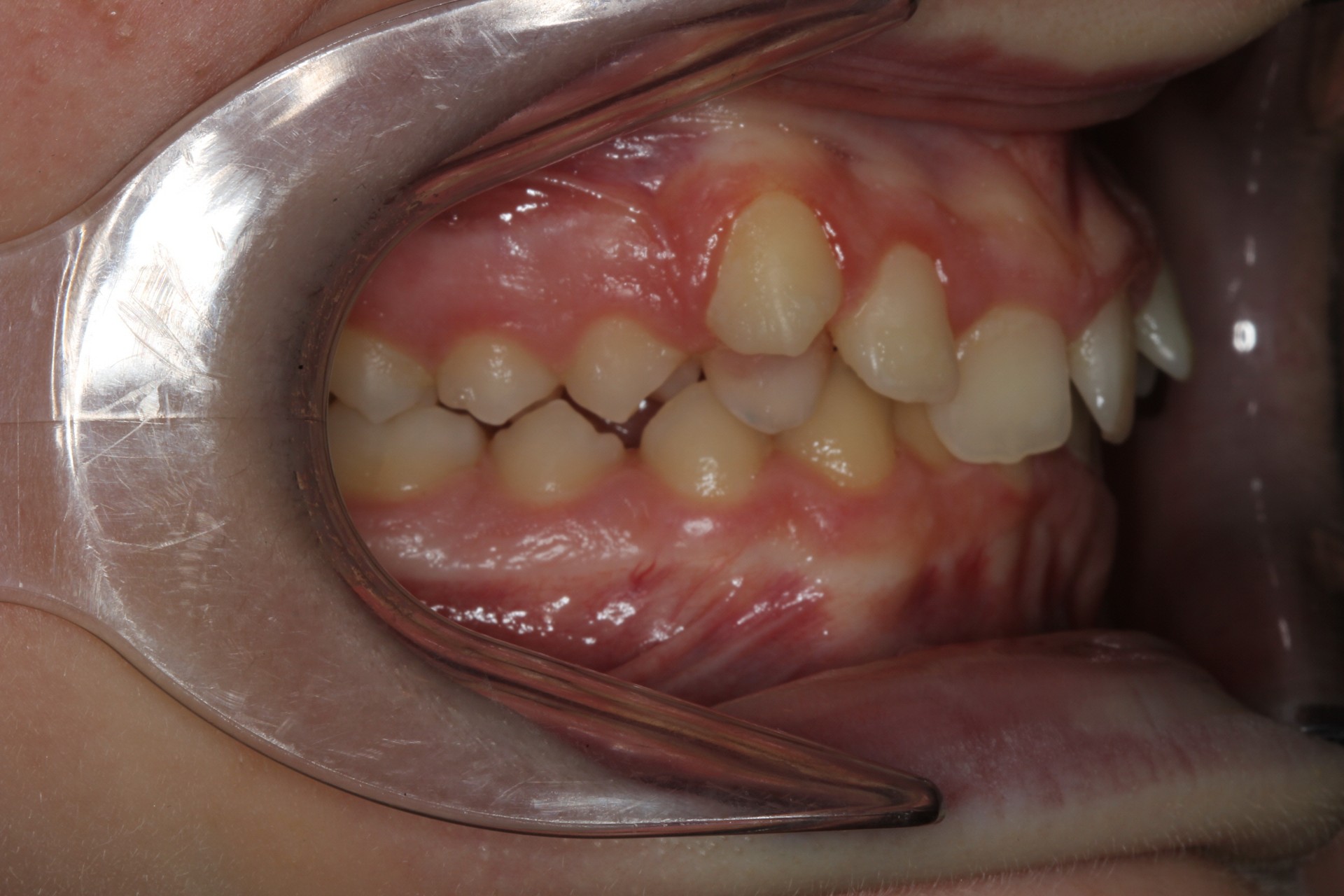
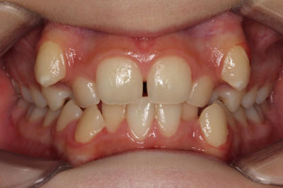
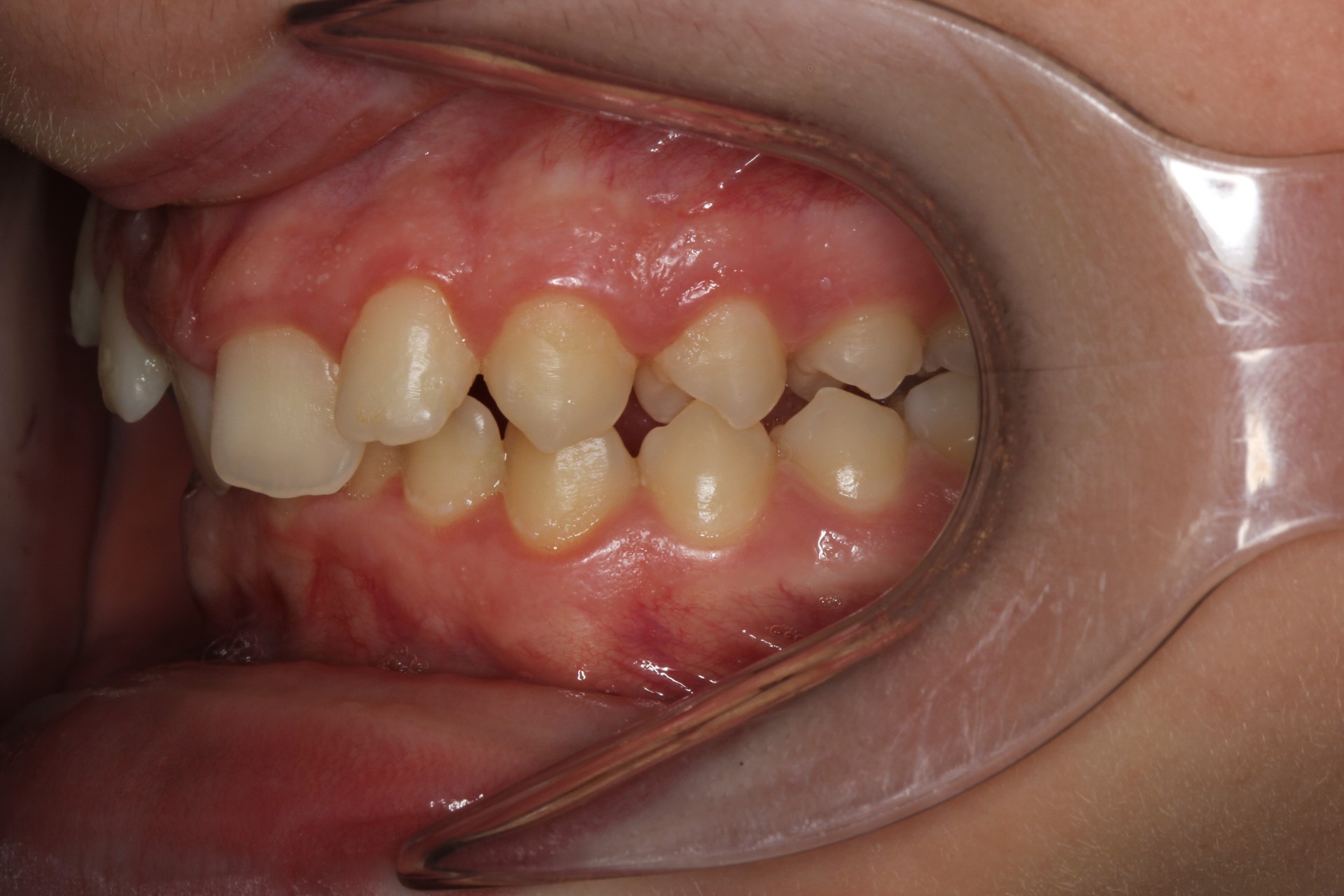
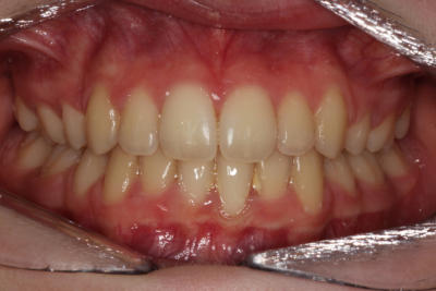
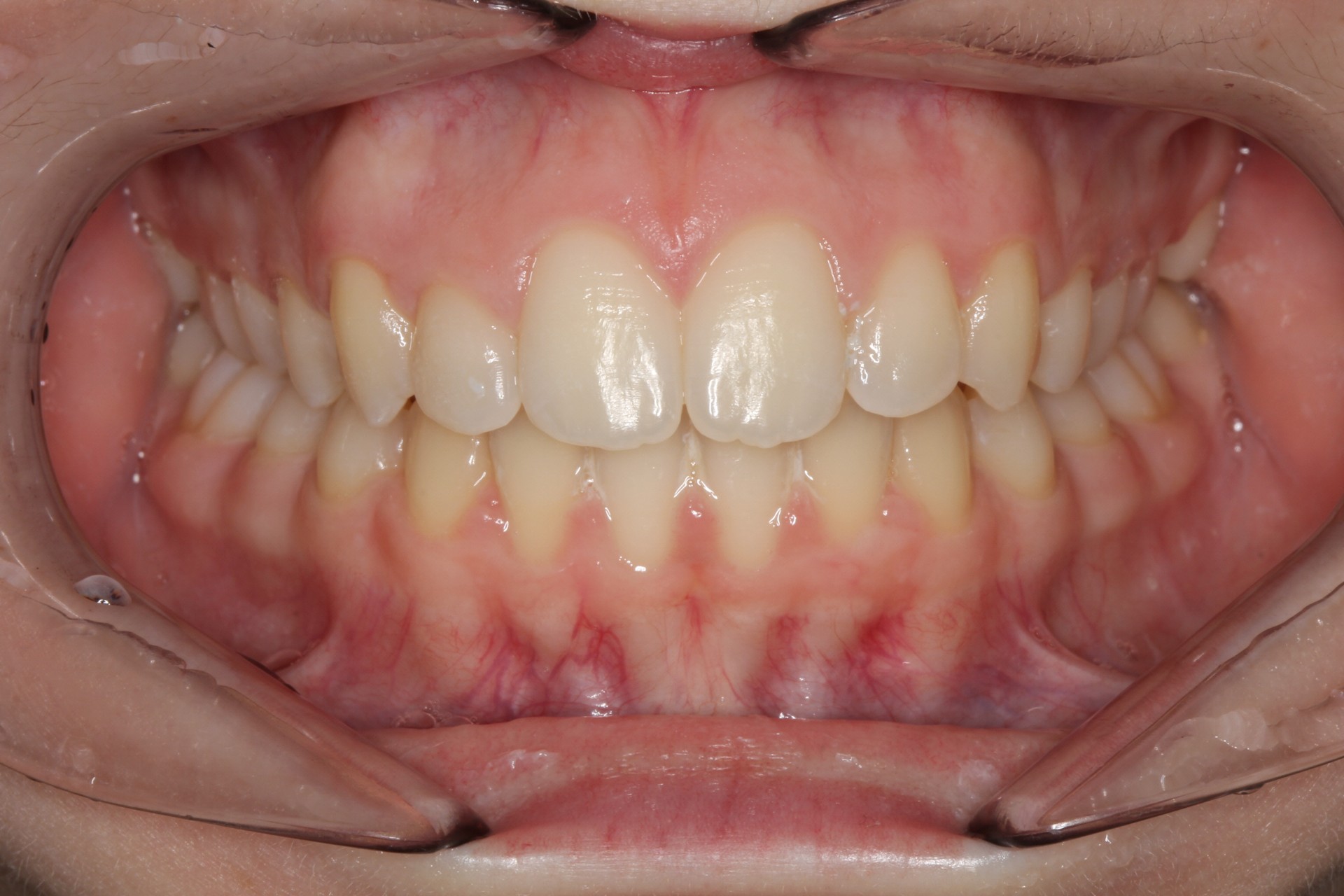
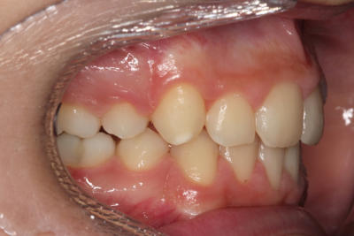
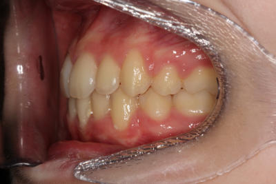
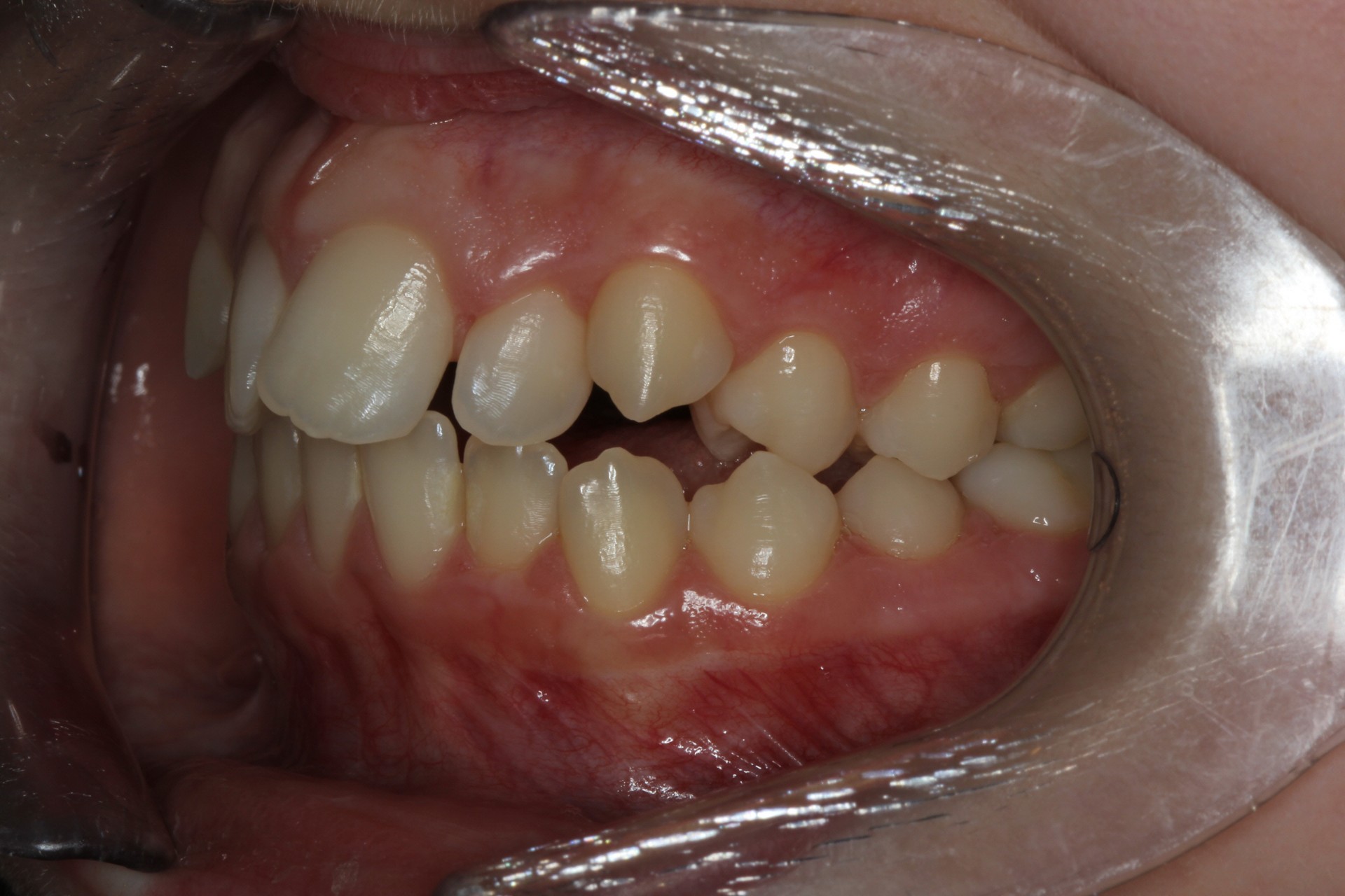
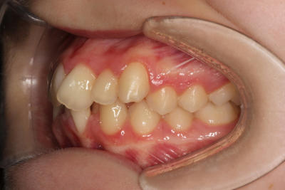
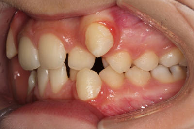
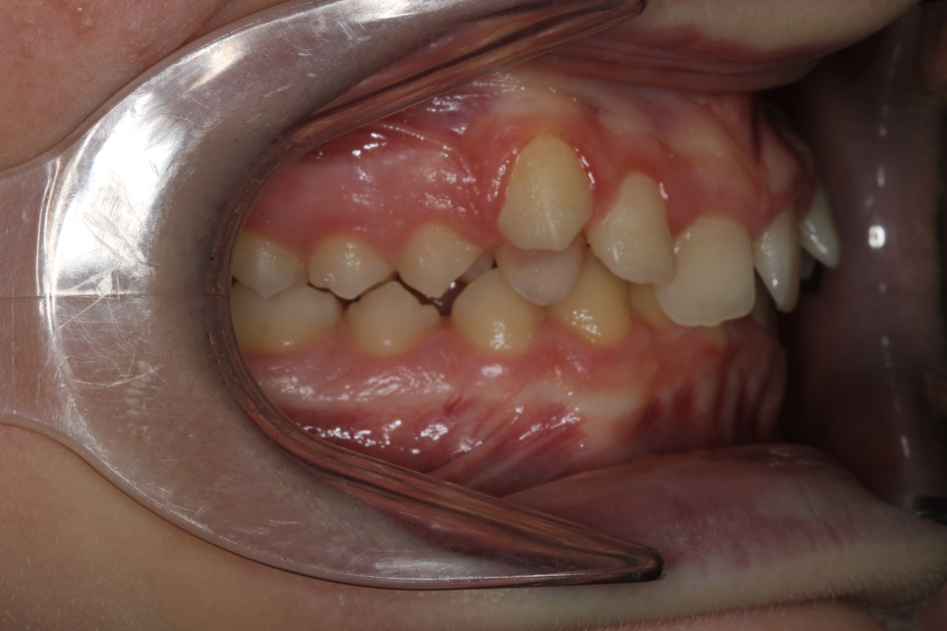
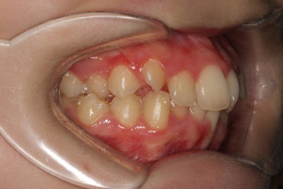
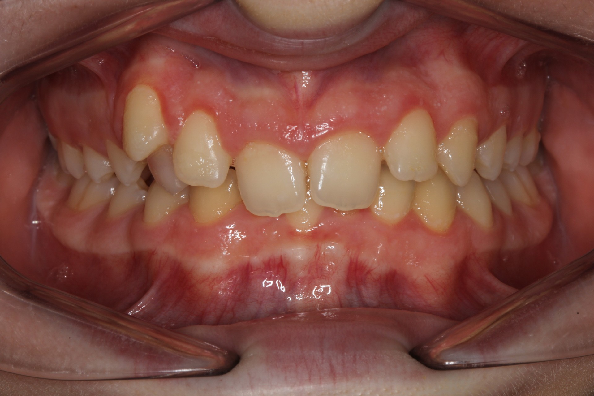
Crowding with lateral open bite – Child case

 

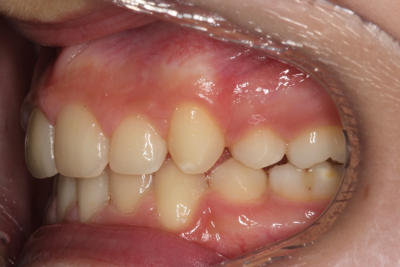
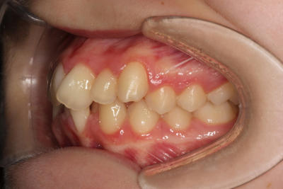
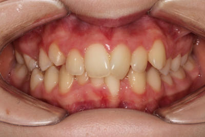
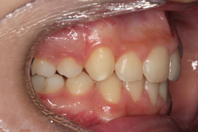
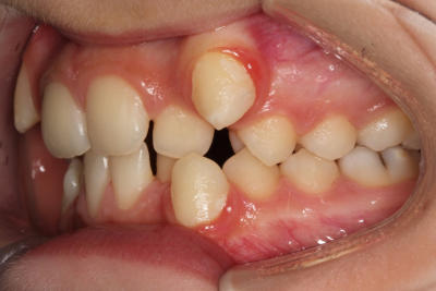
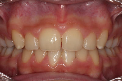
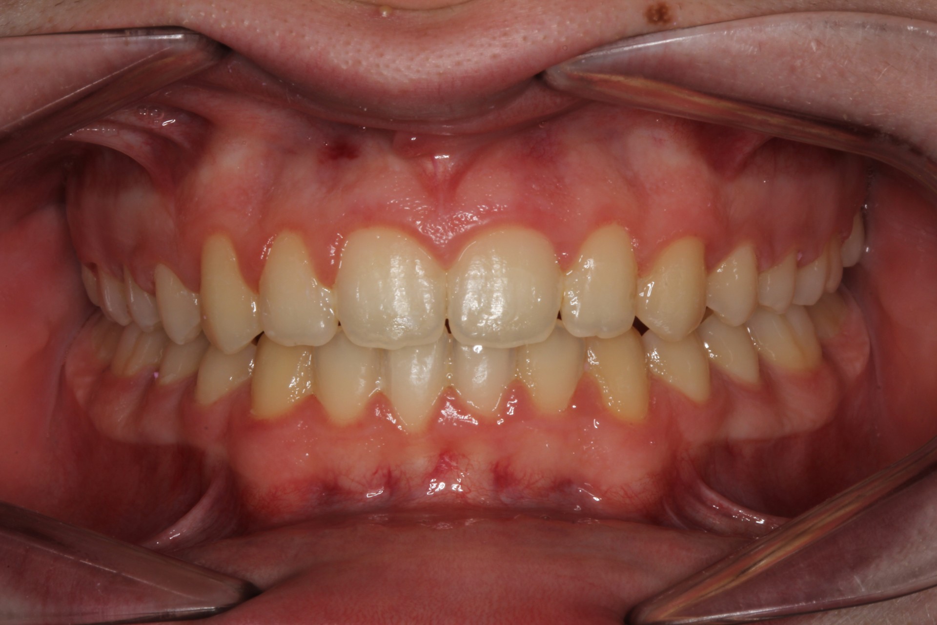
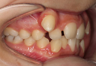
Crowding – Child case

 

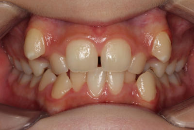
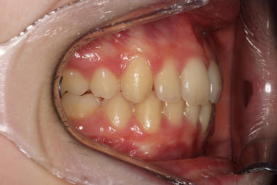
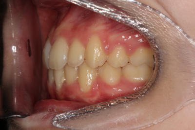
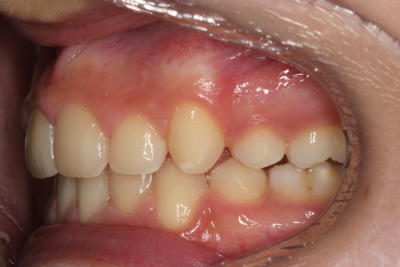
Crowding – Child case

 

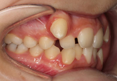
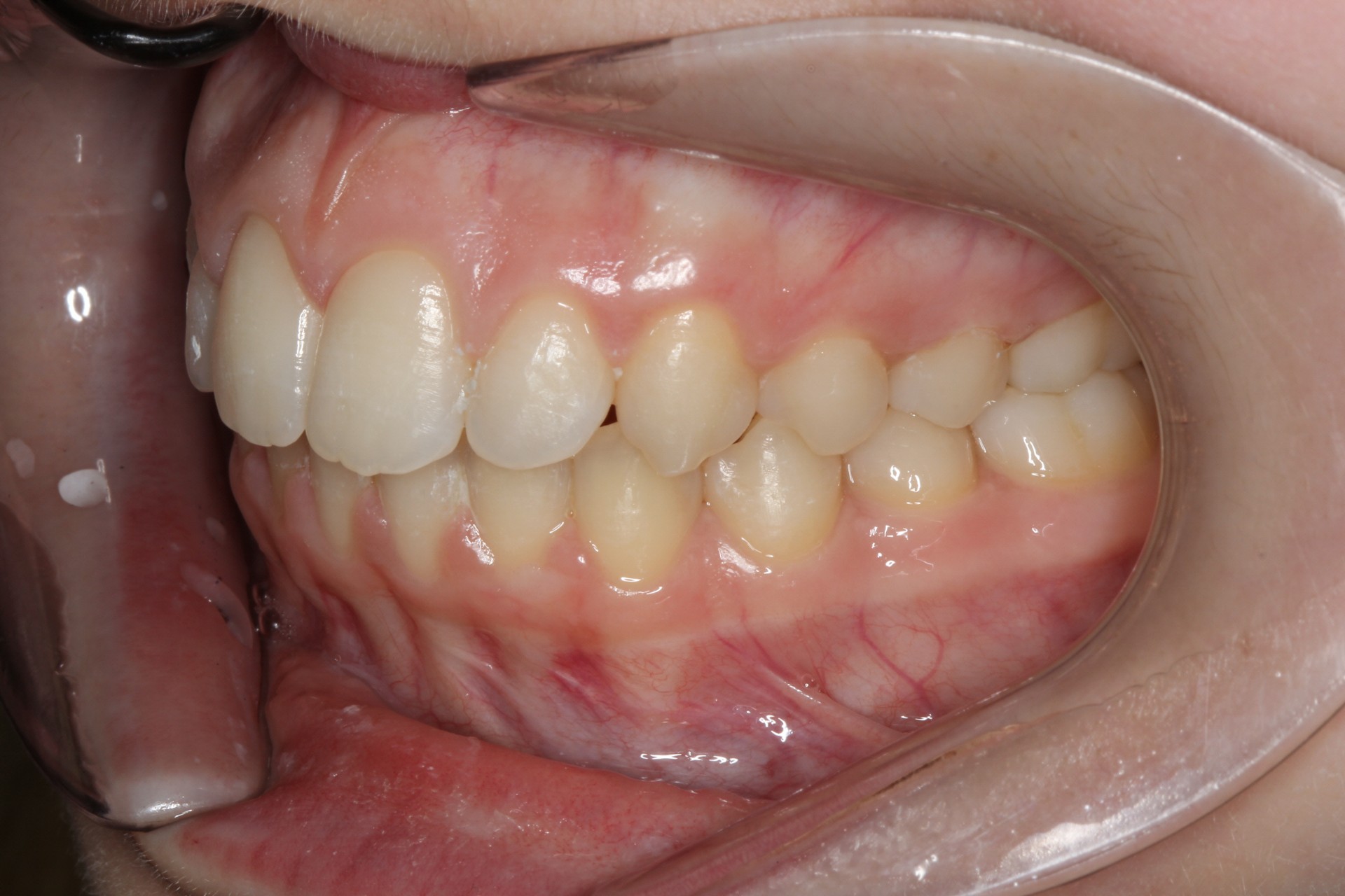
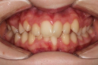
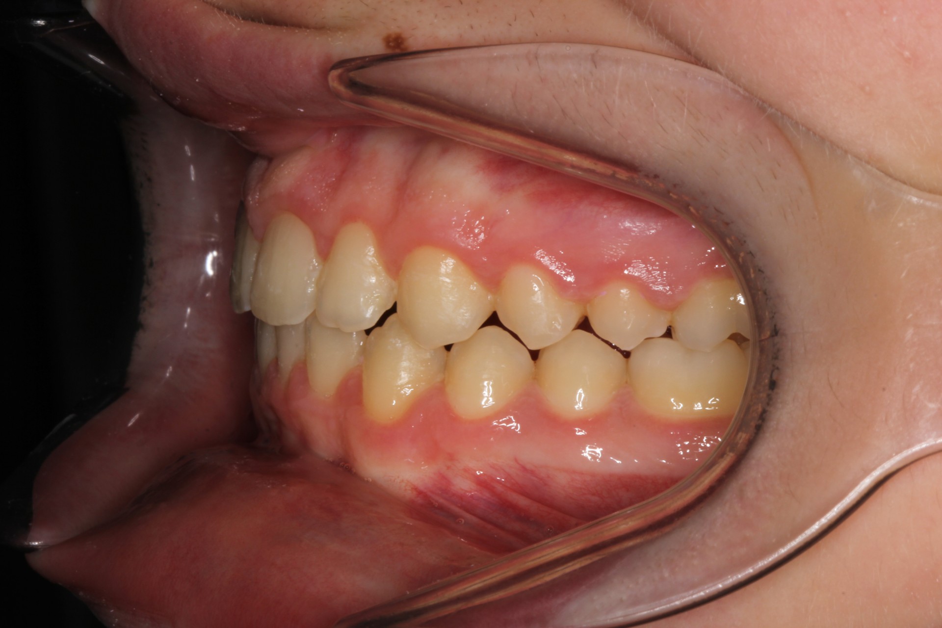
Crowding – Child case