Contact

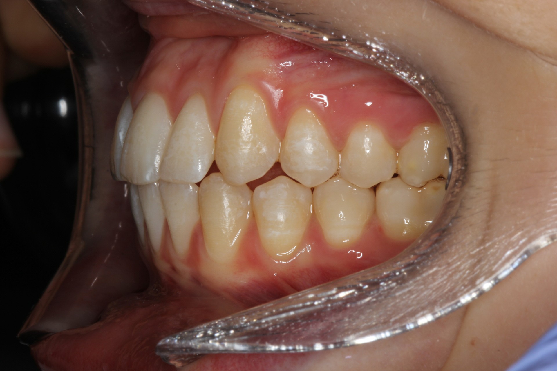
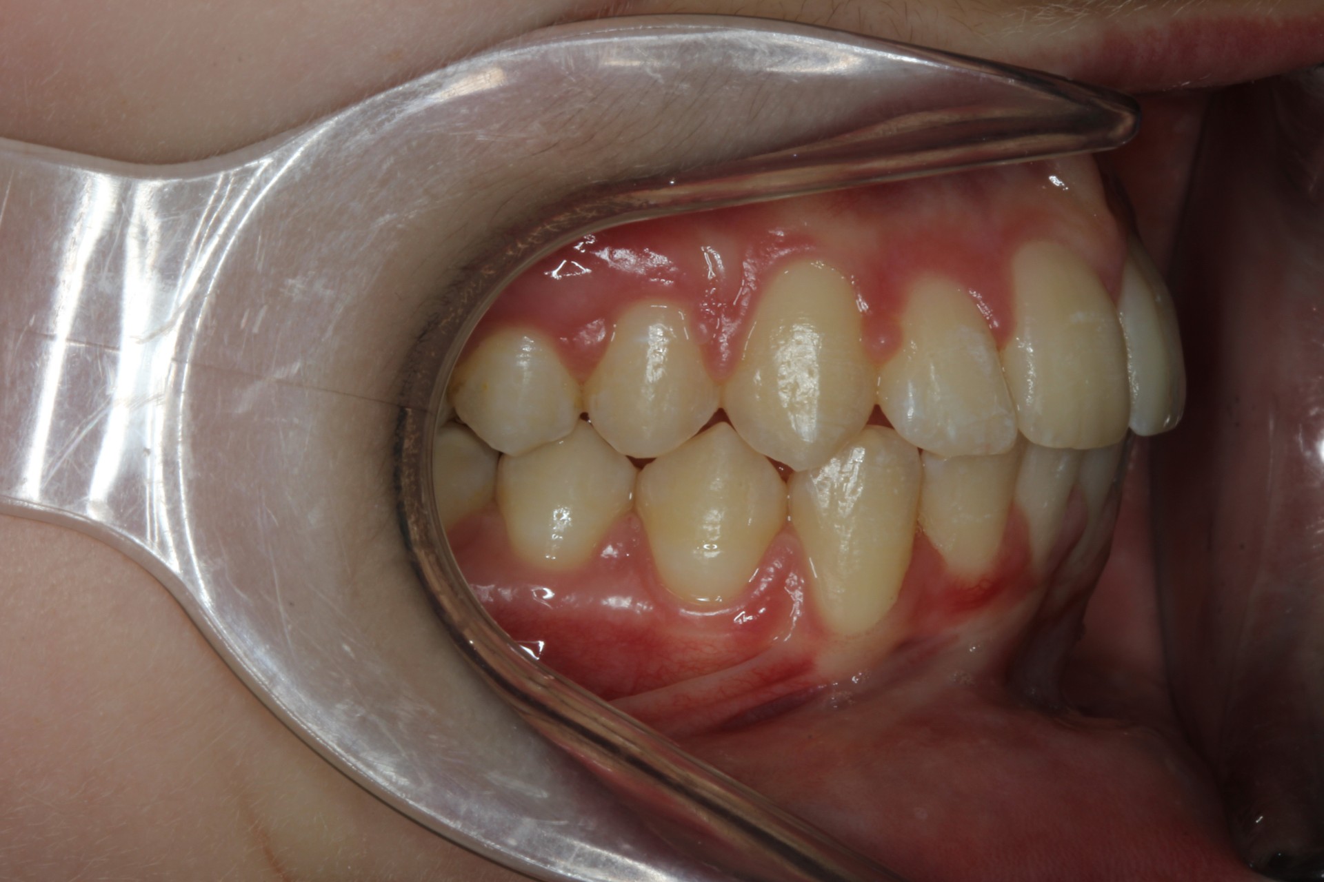
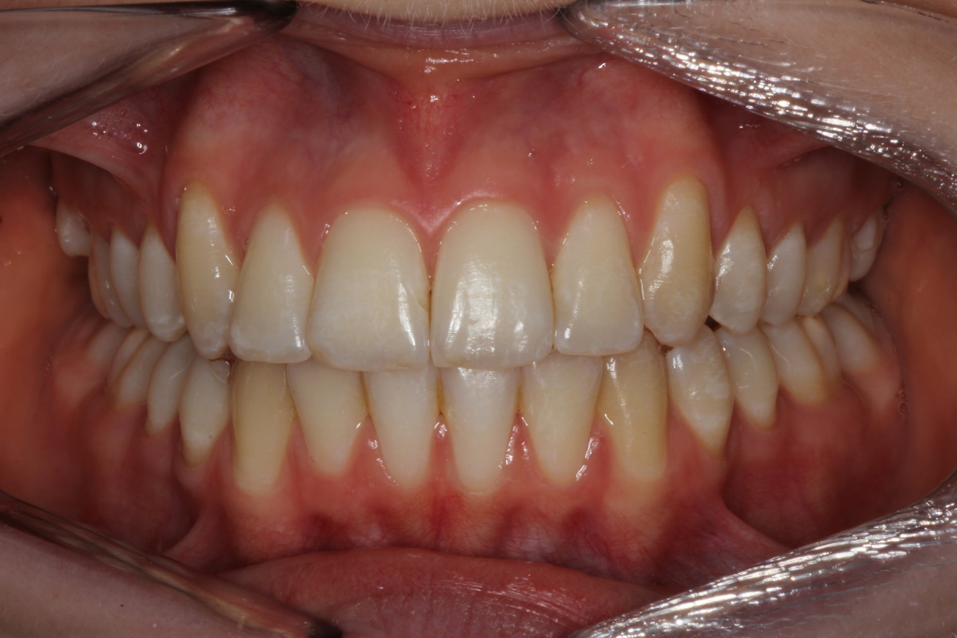
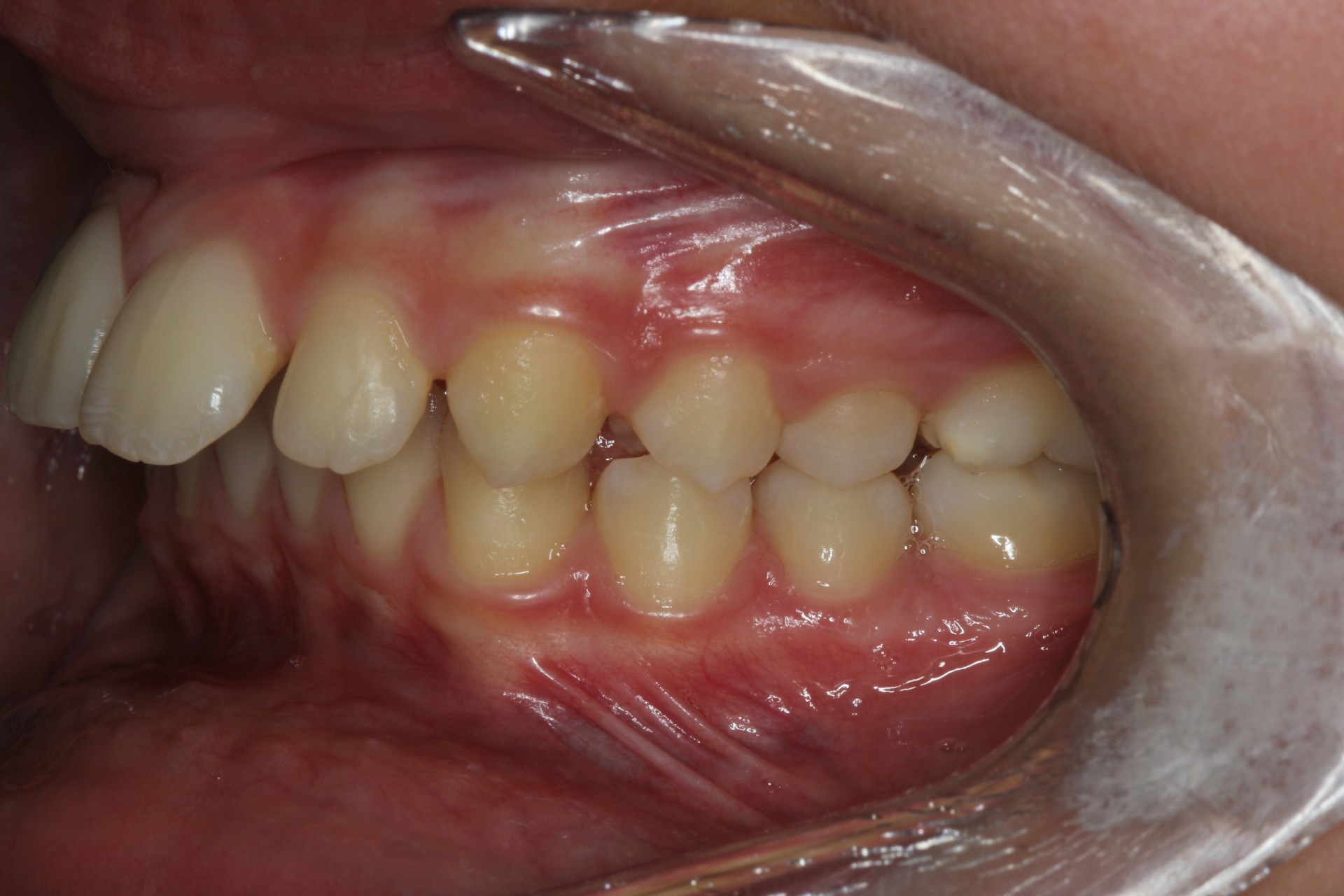
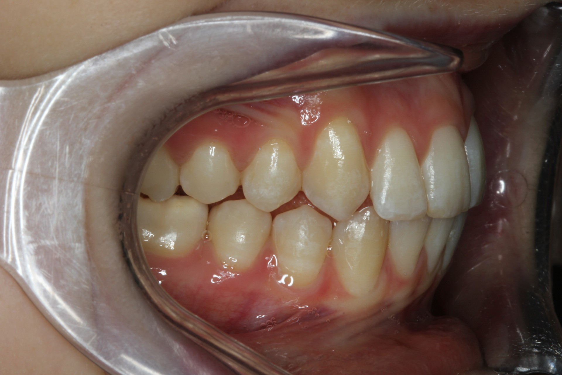
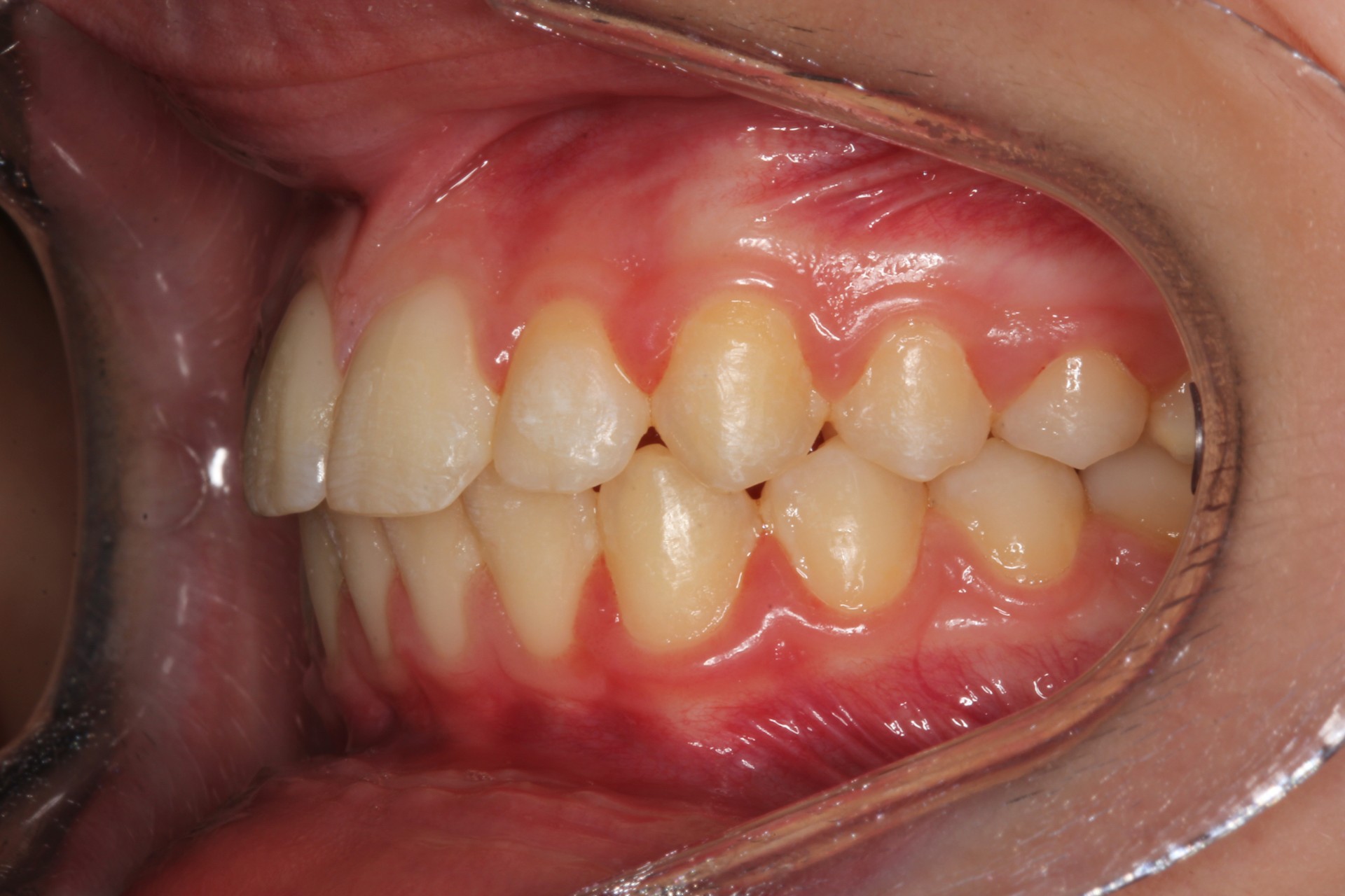
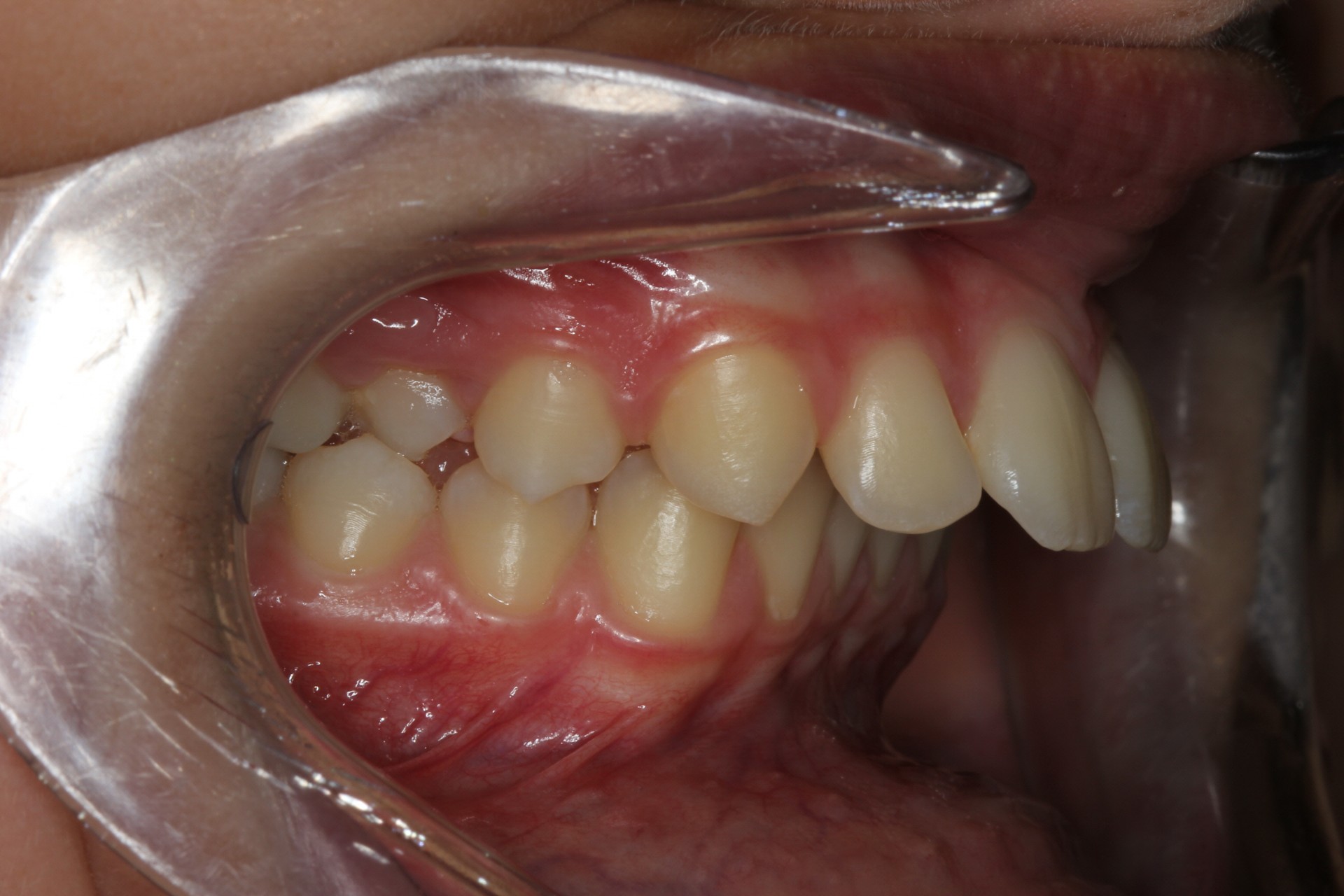
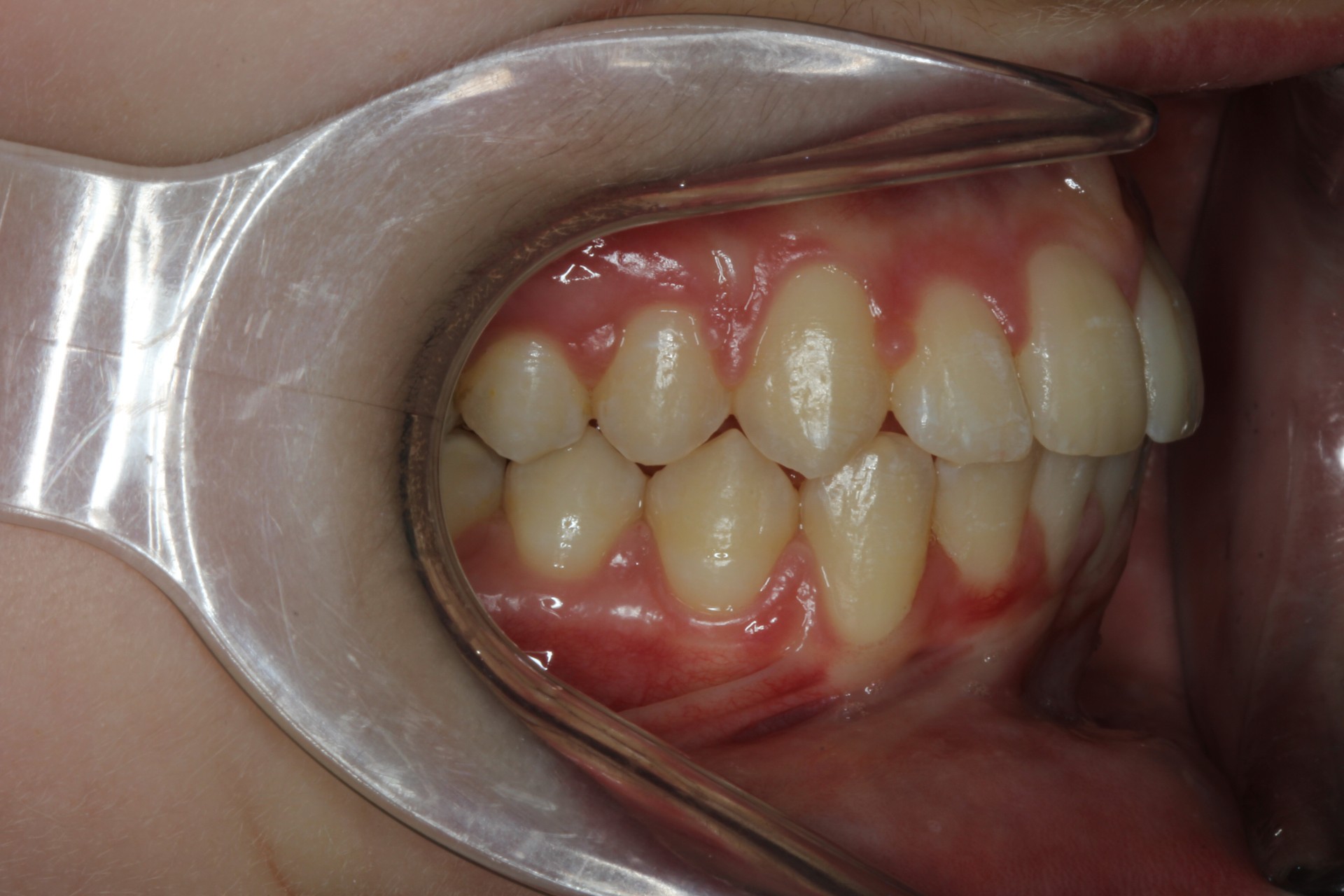
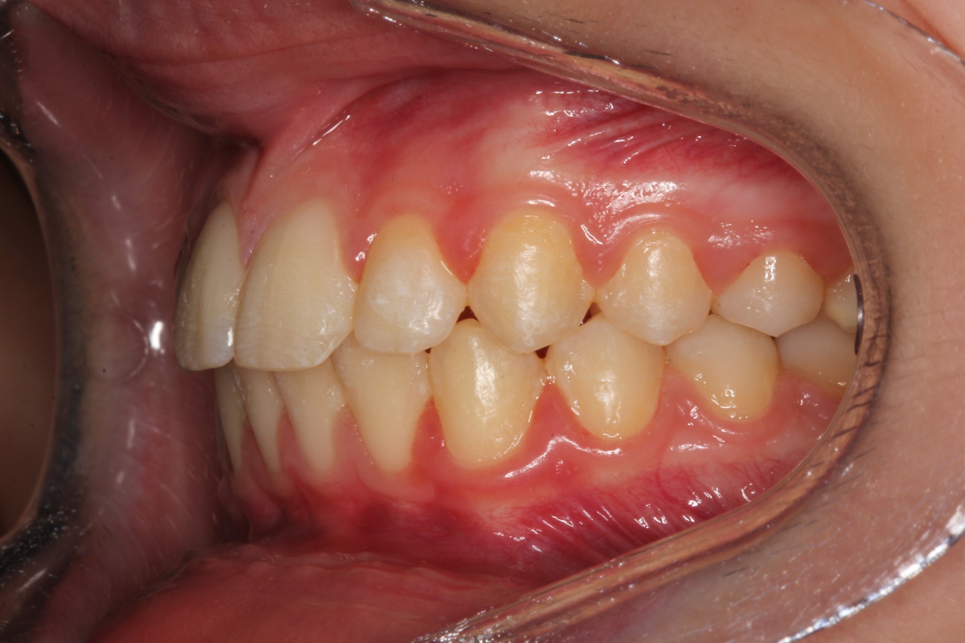
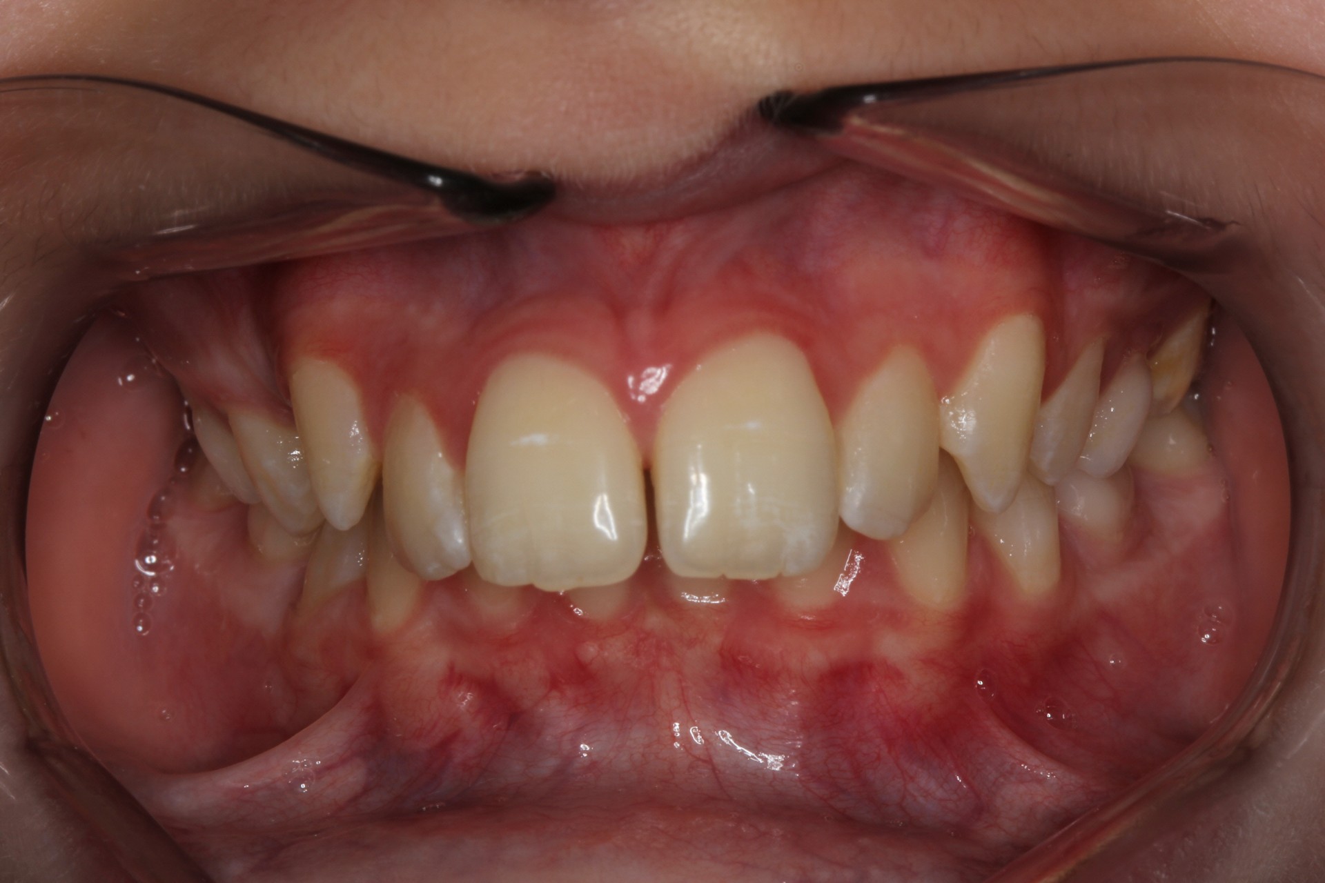
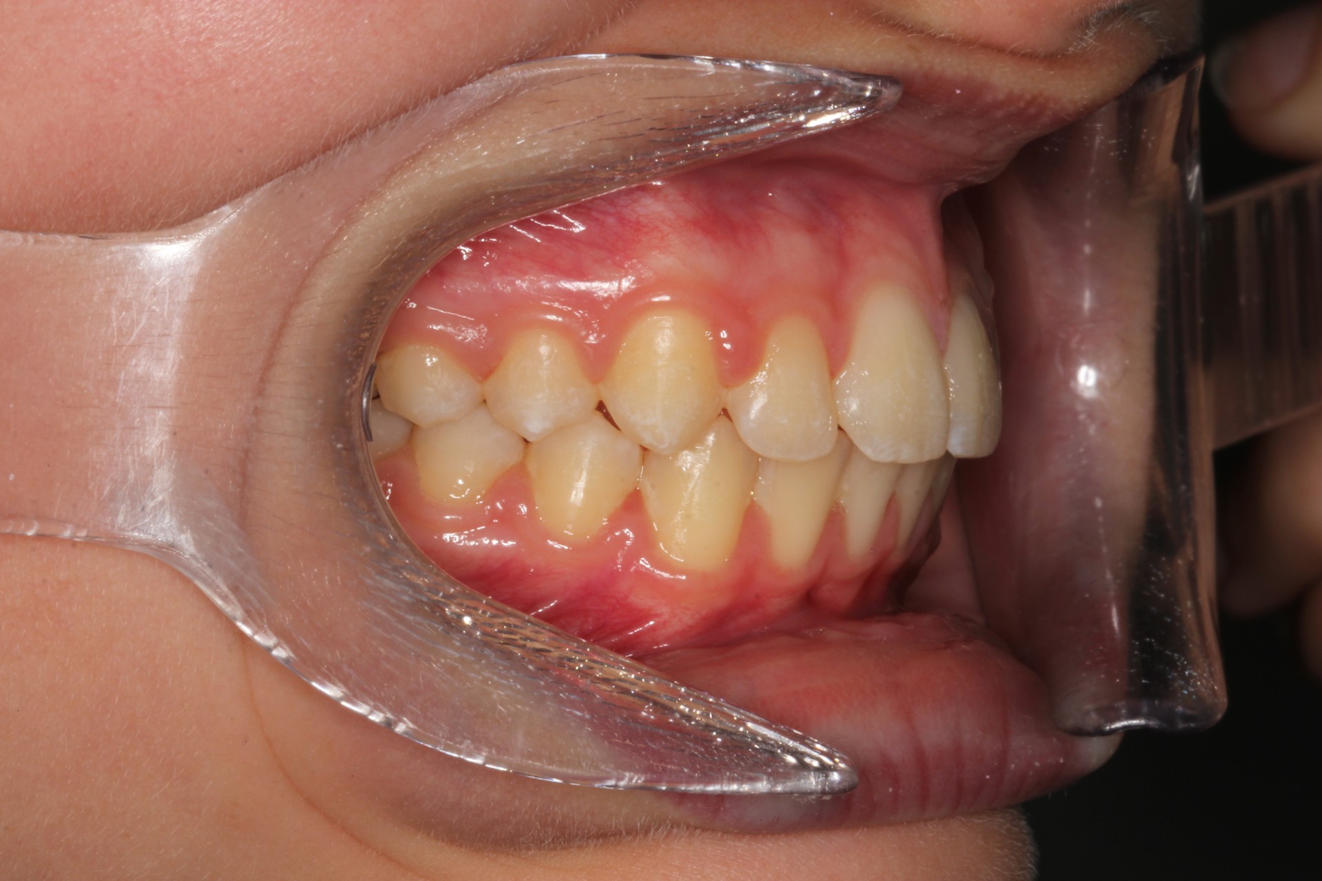
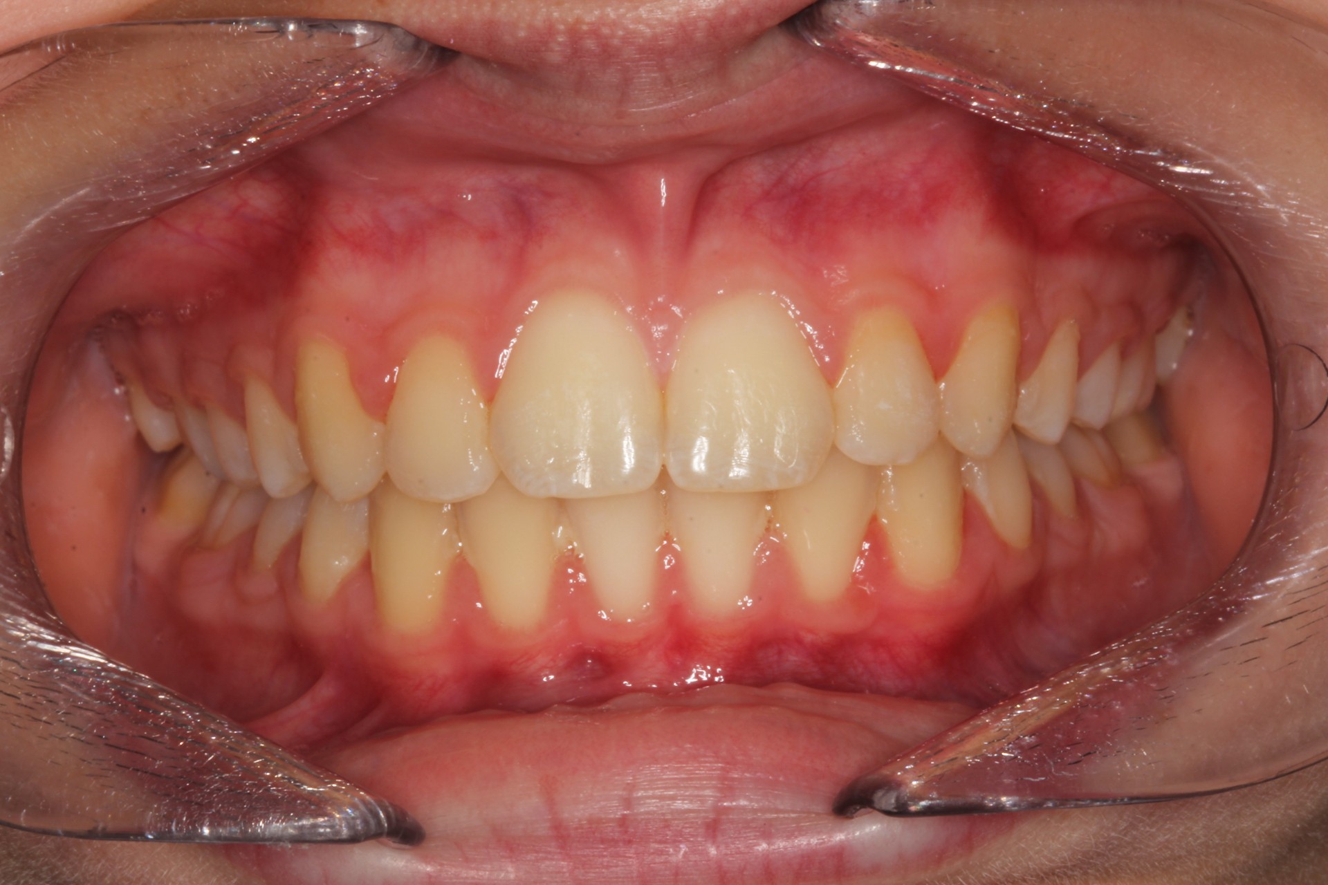
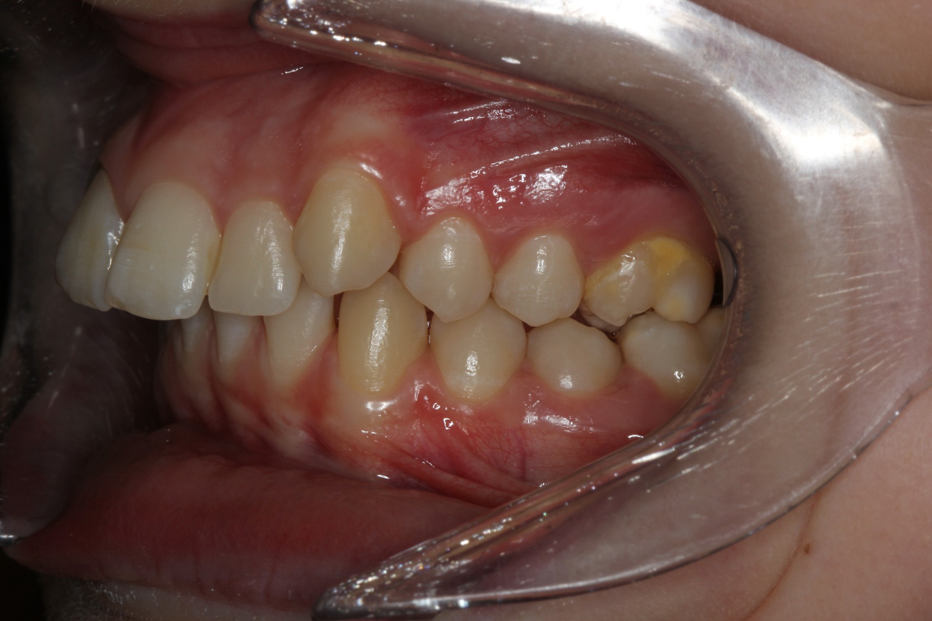
Protruding front teeth – Child case

 

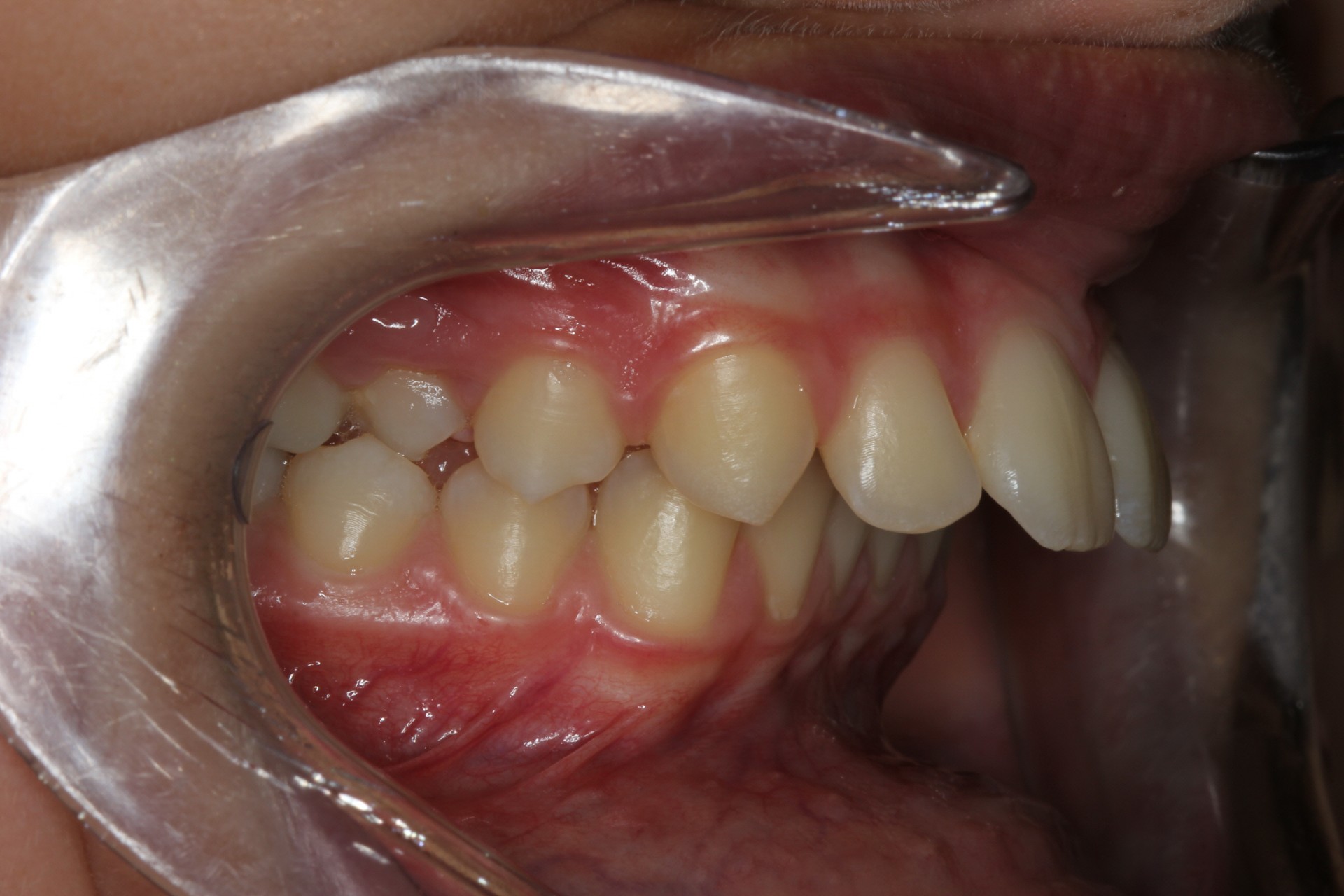
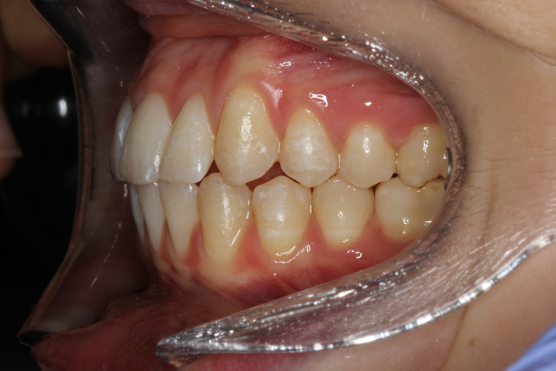
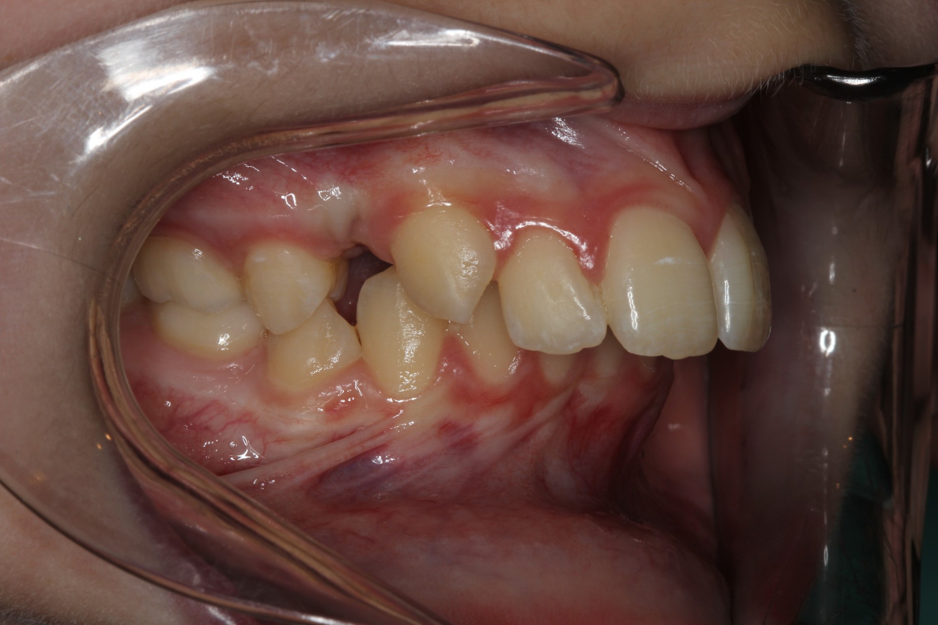
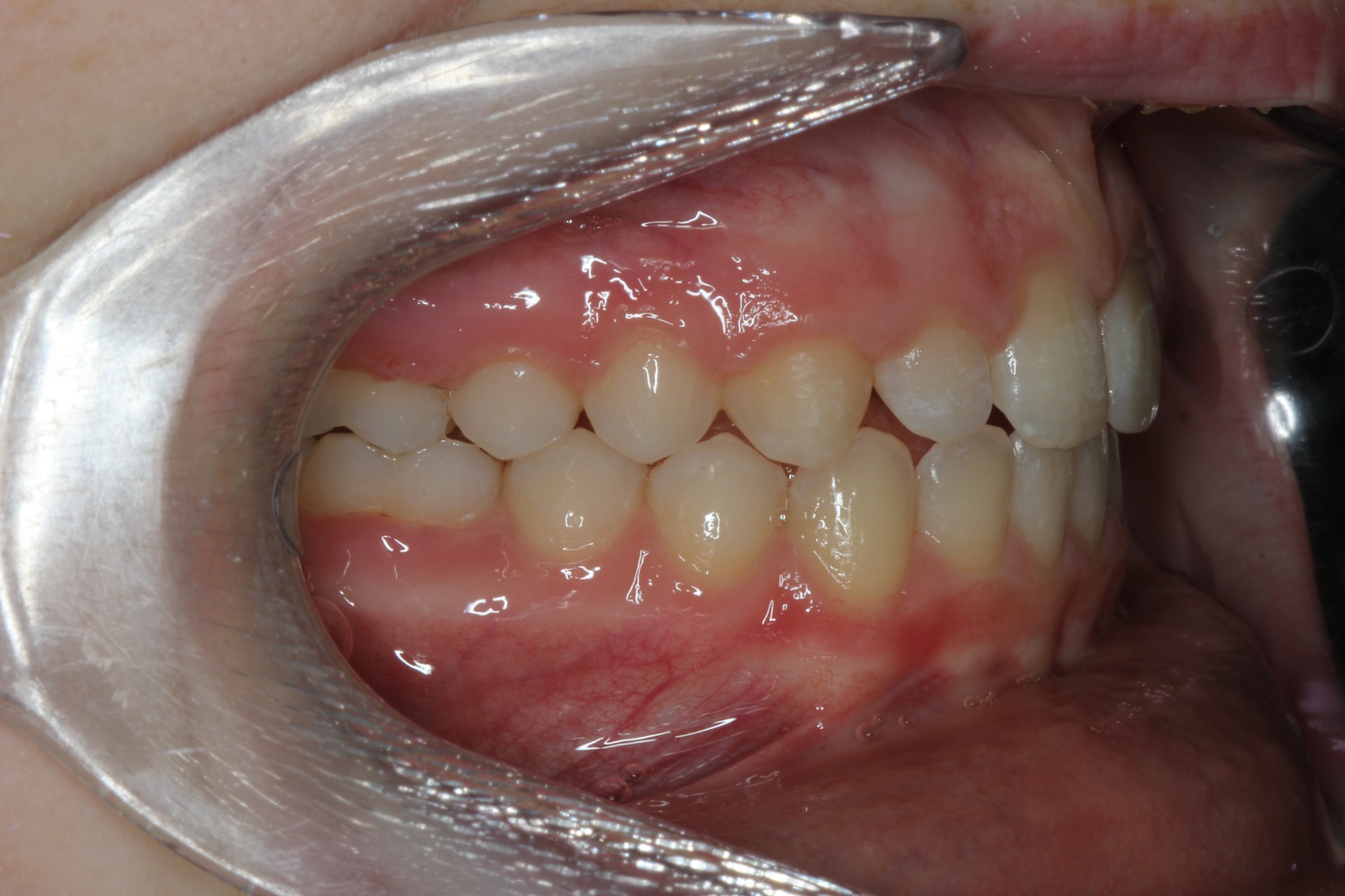
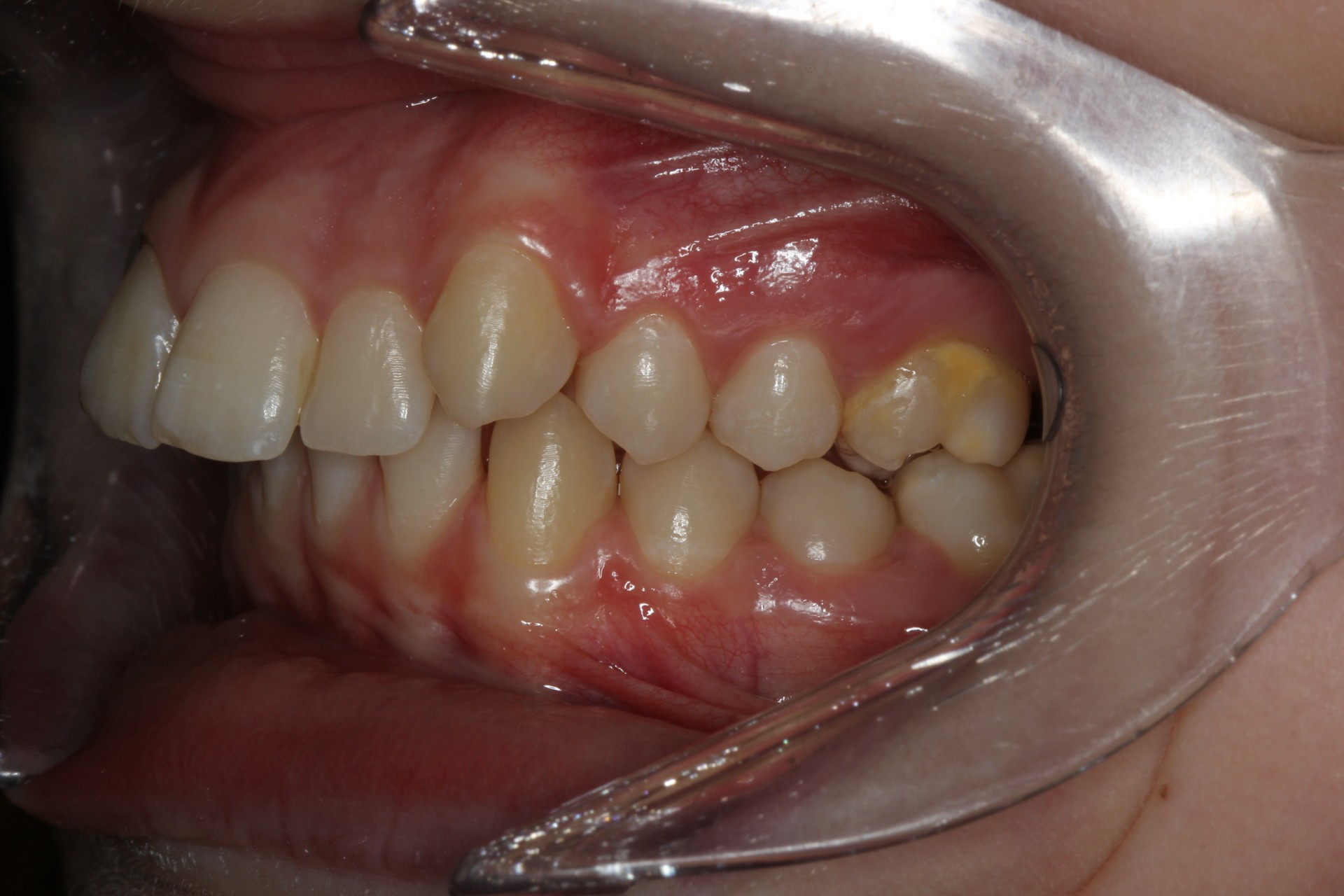
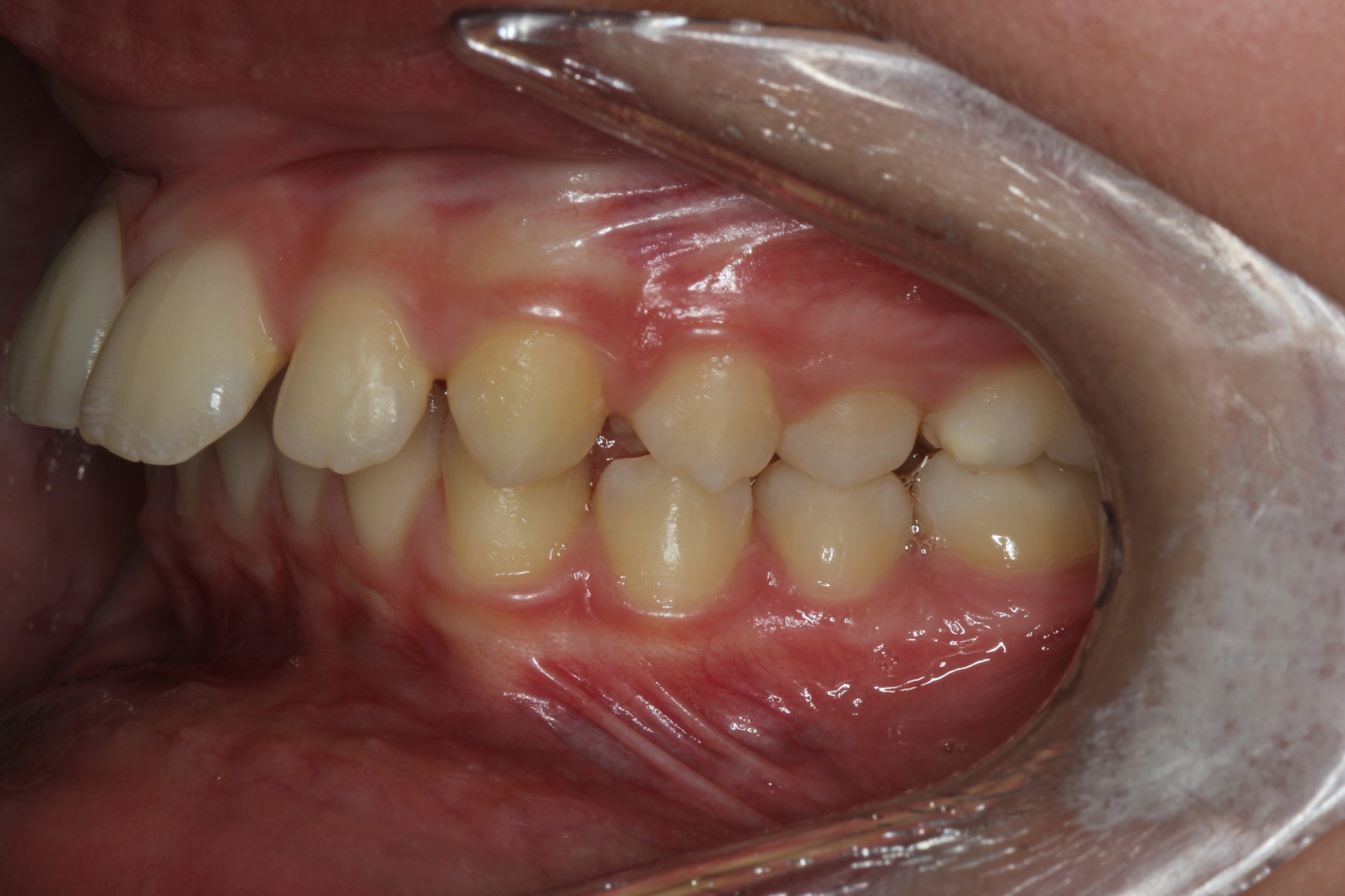
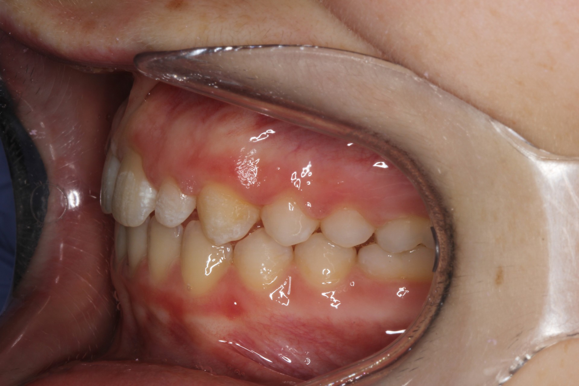
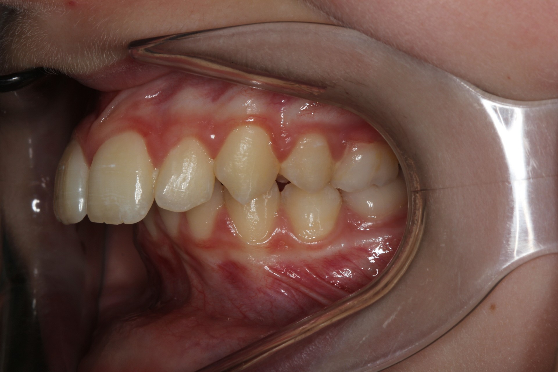
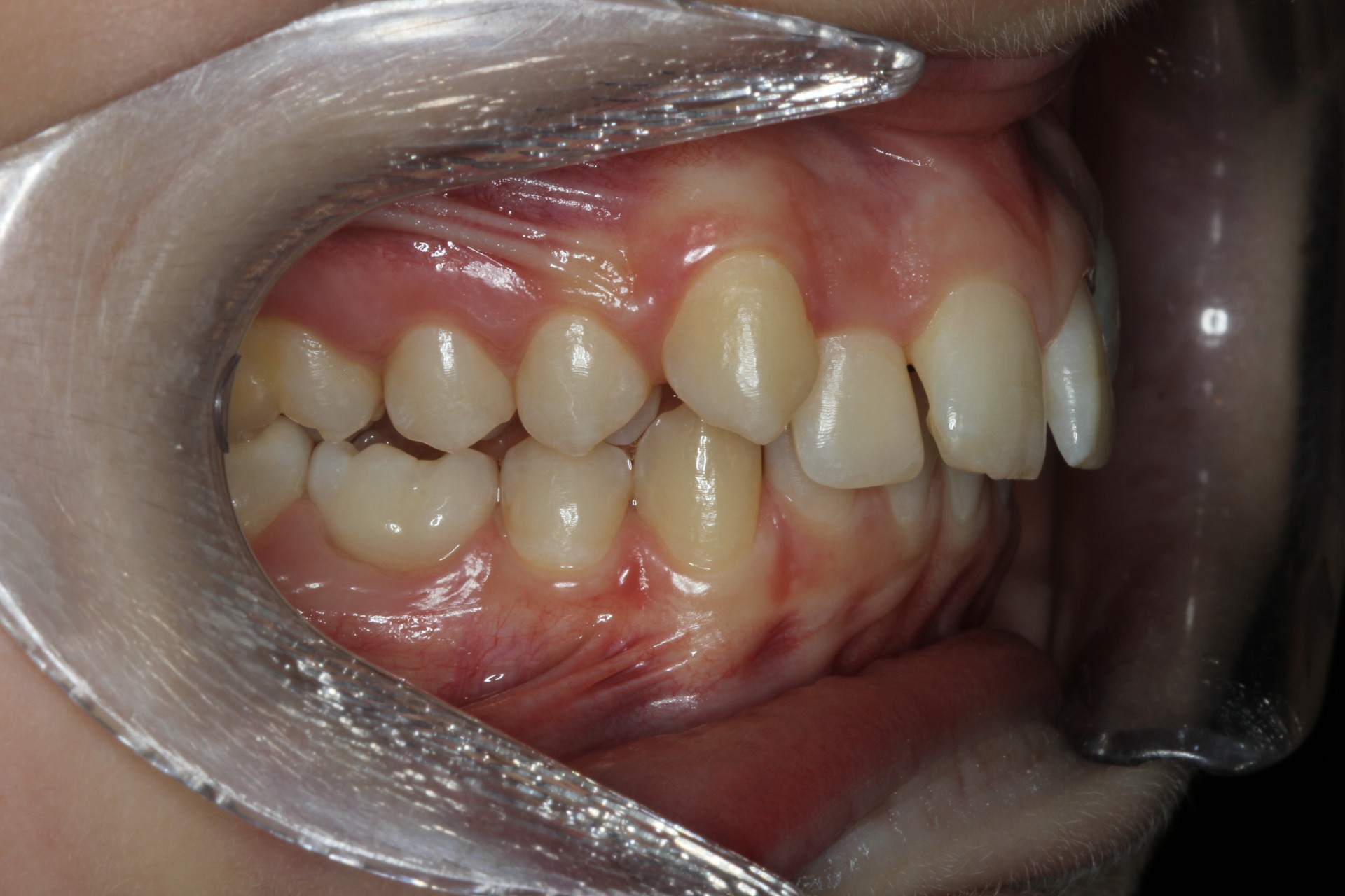
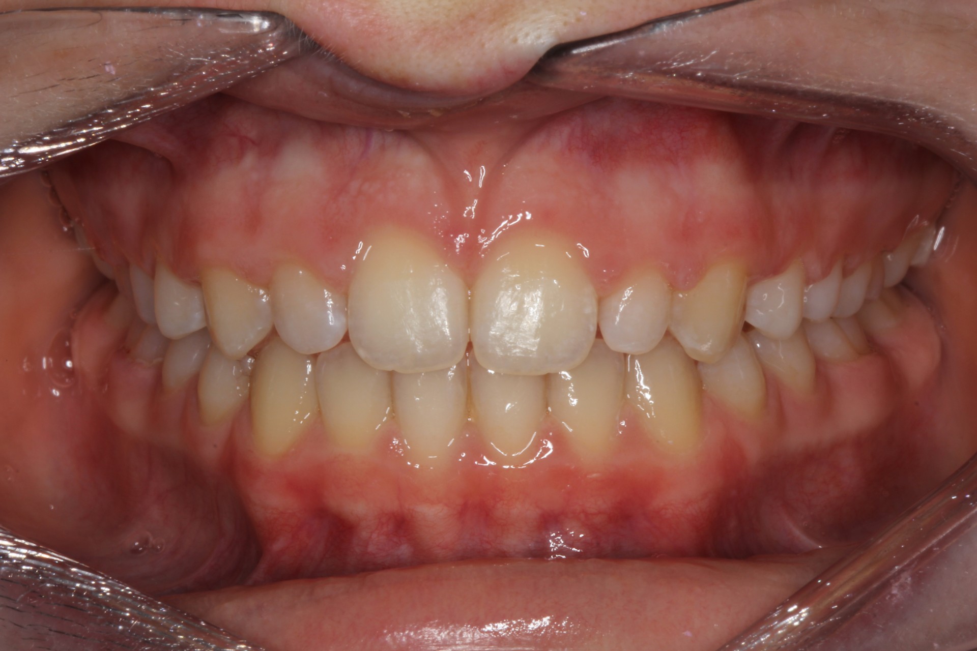
Protruding front teeth and spacing – Child case

 

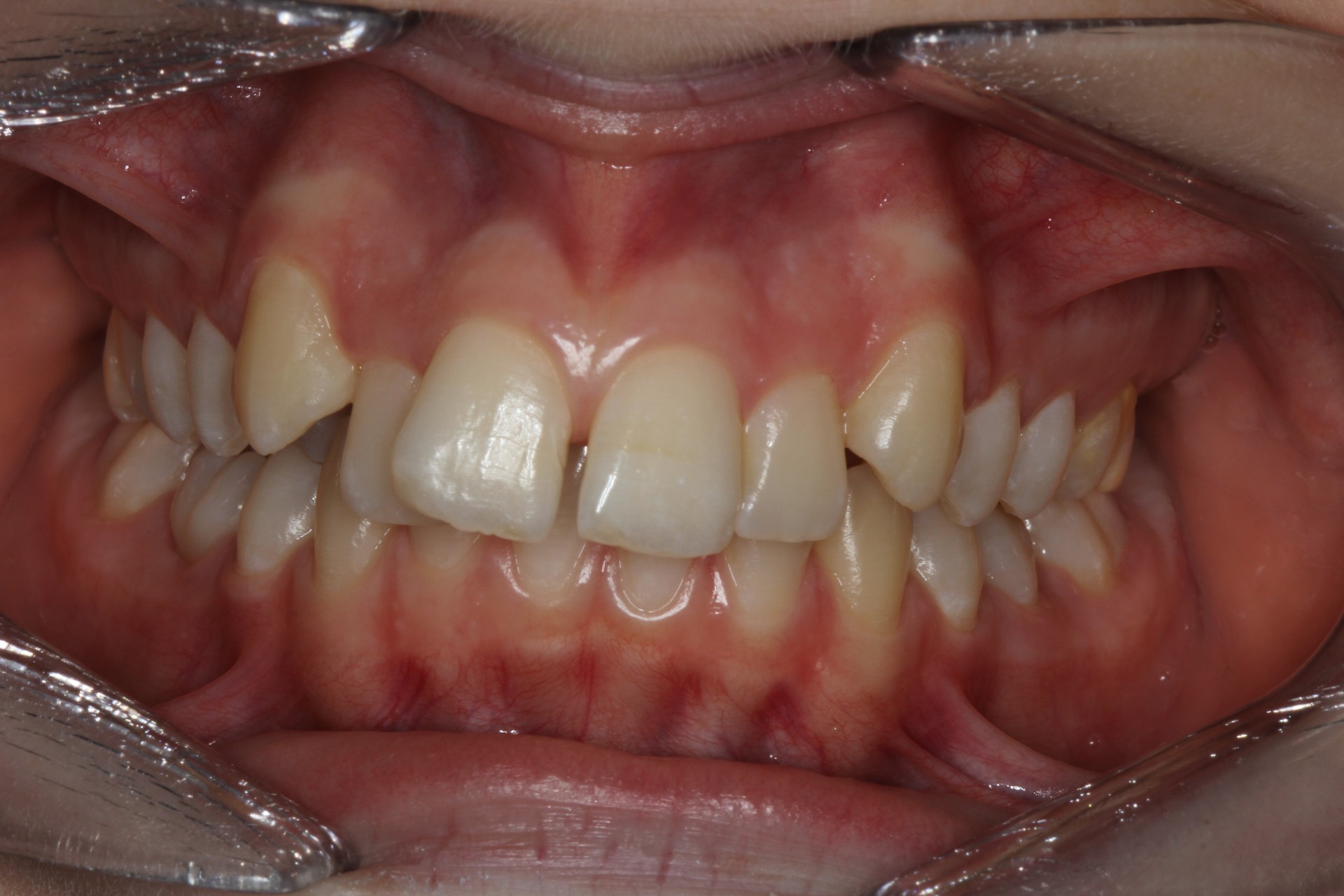
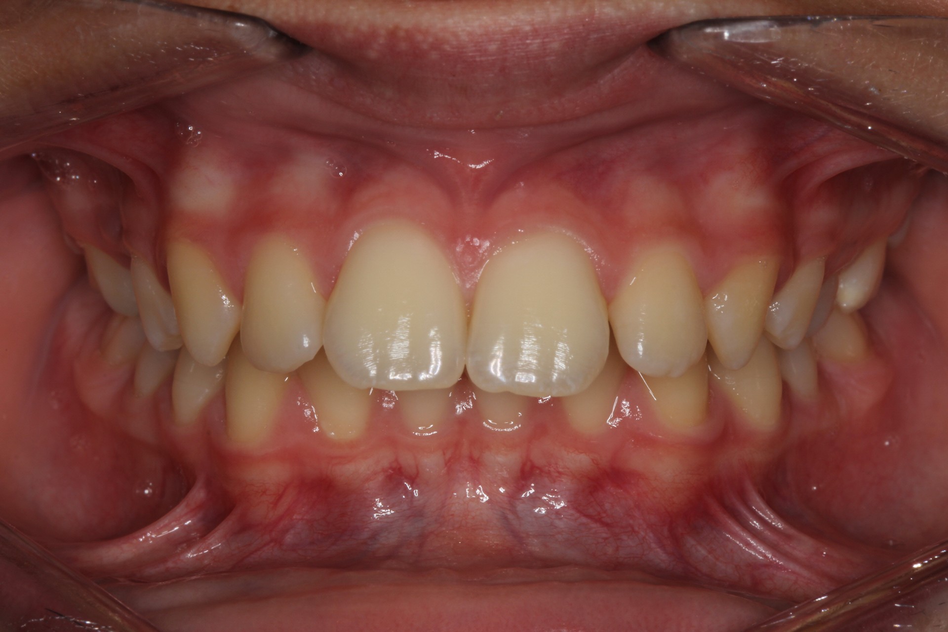
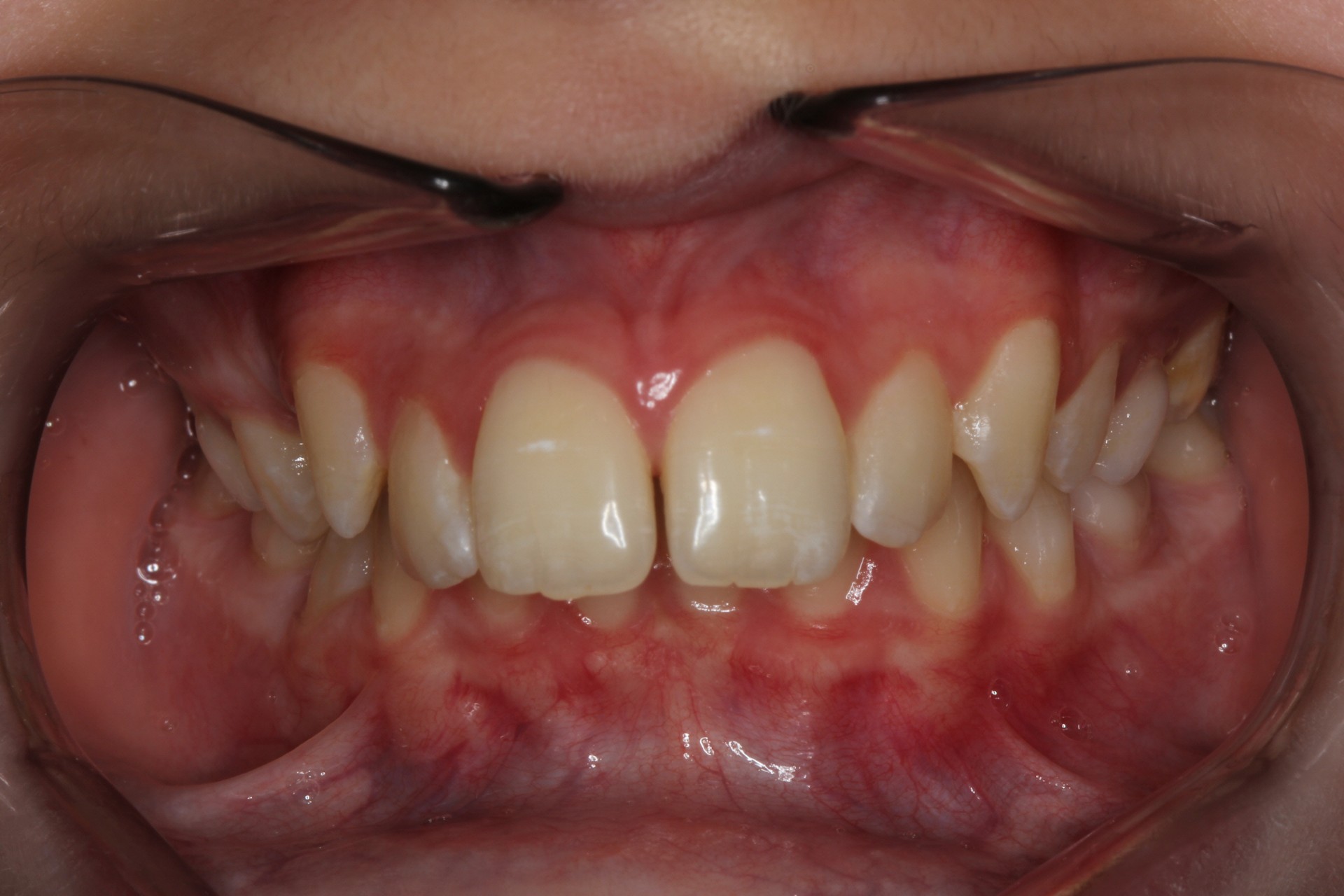
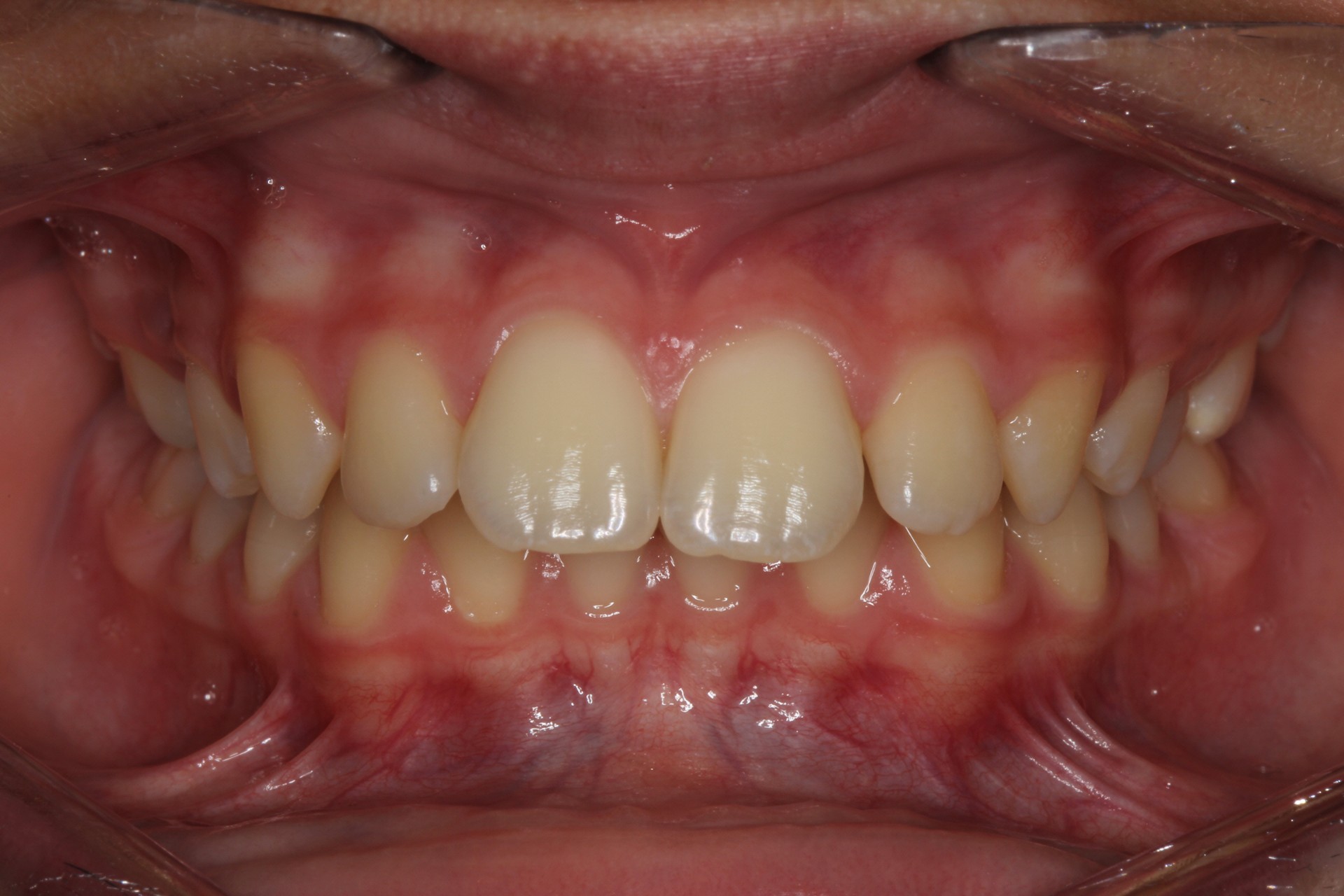
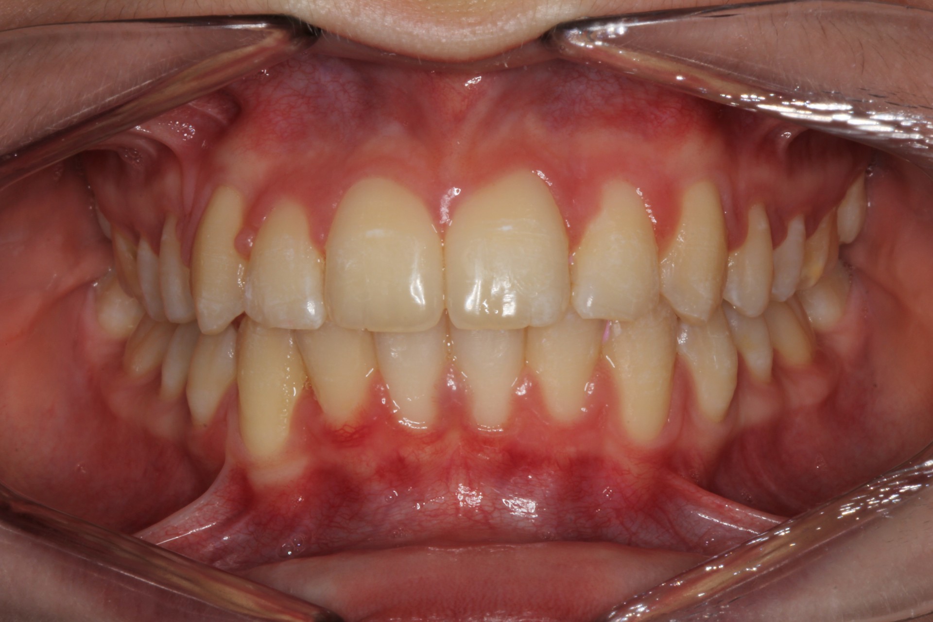
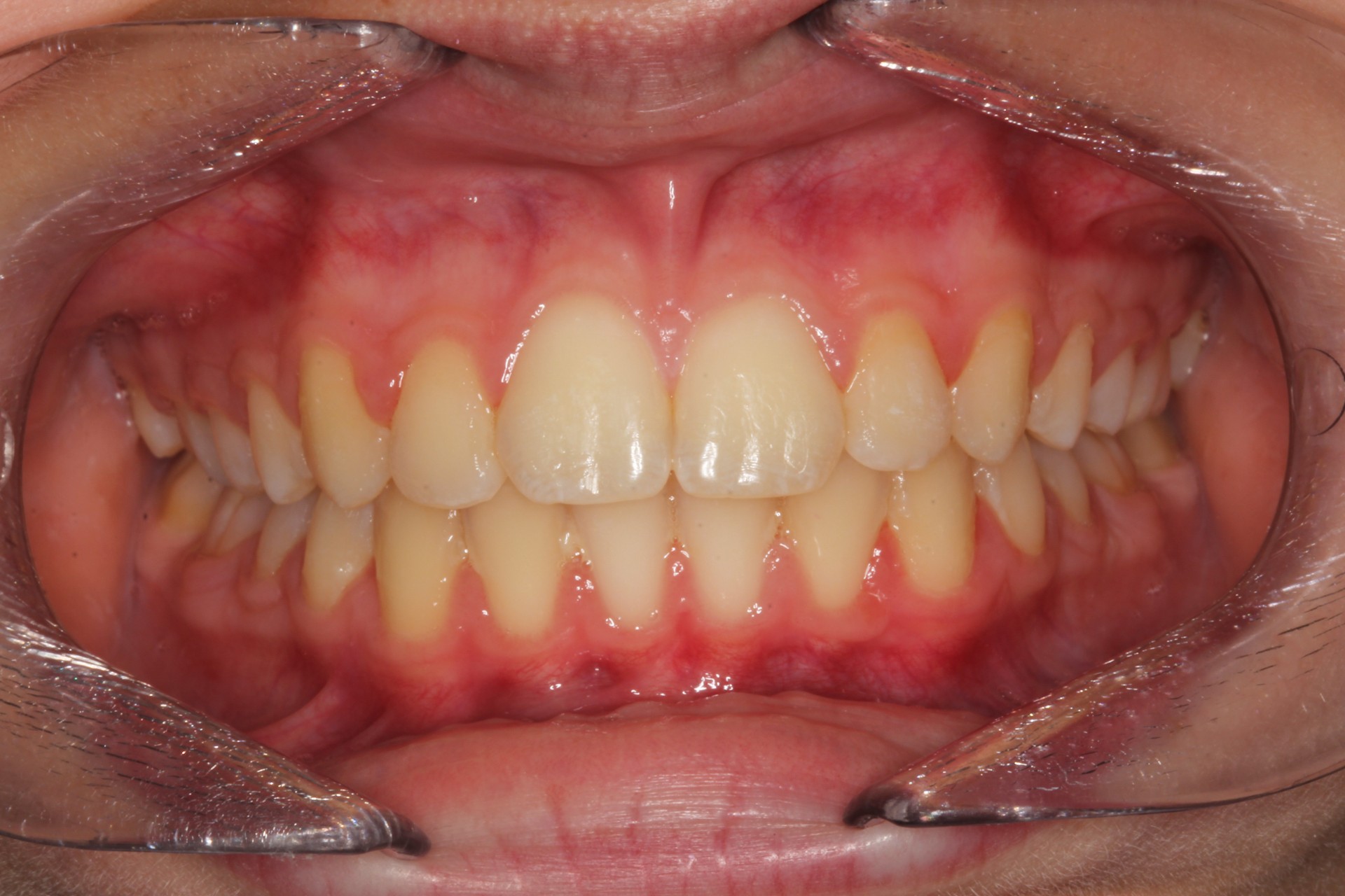
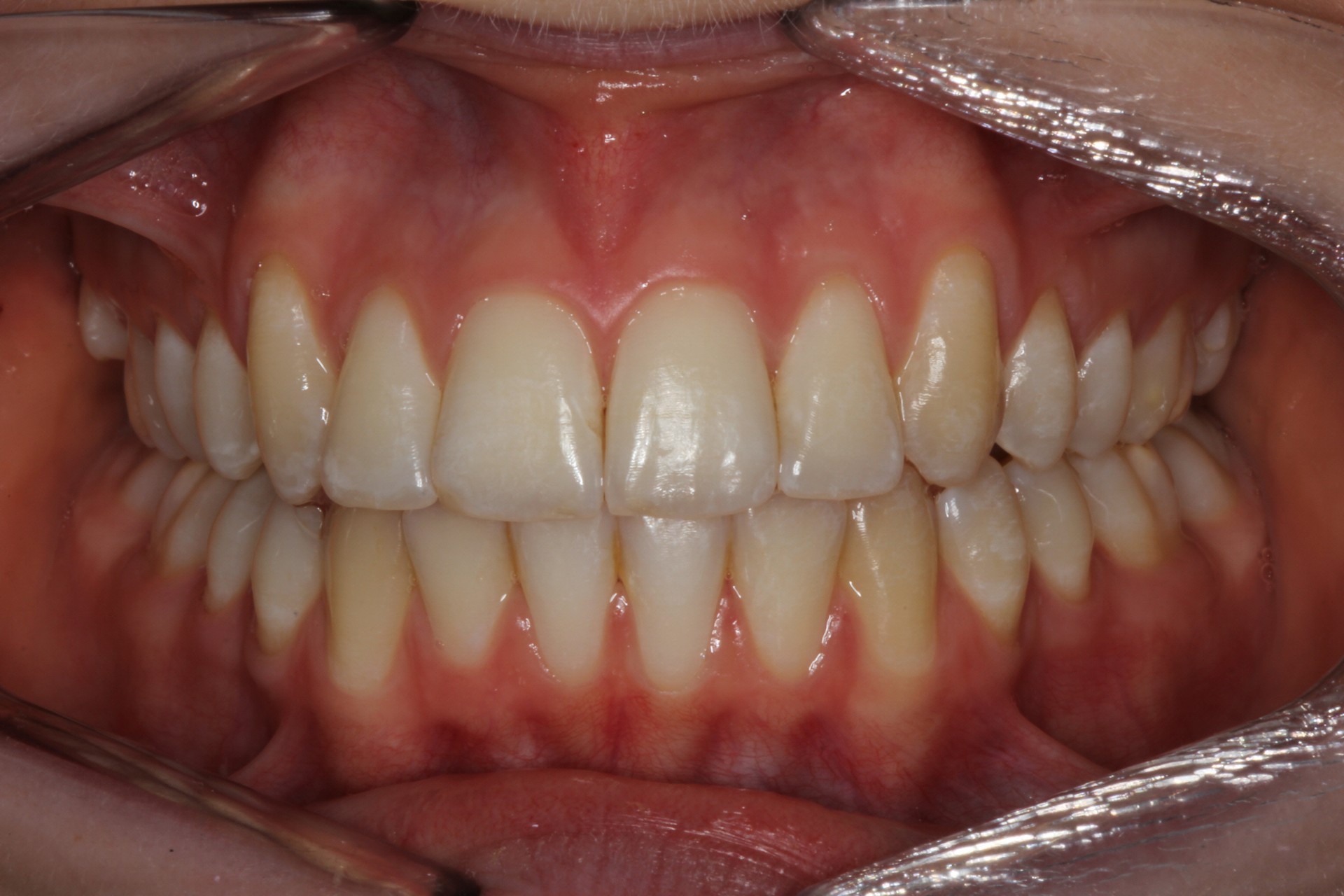
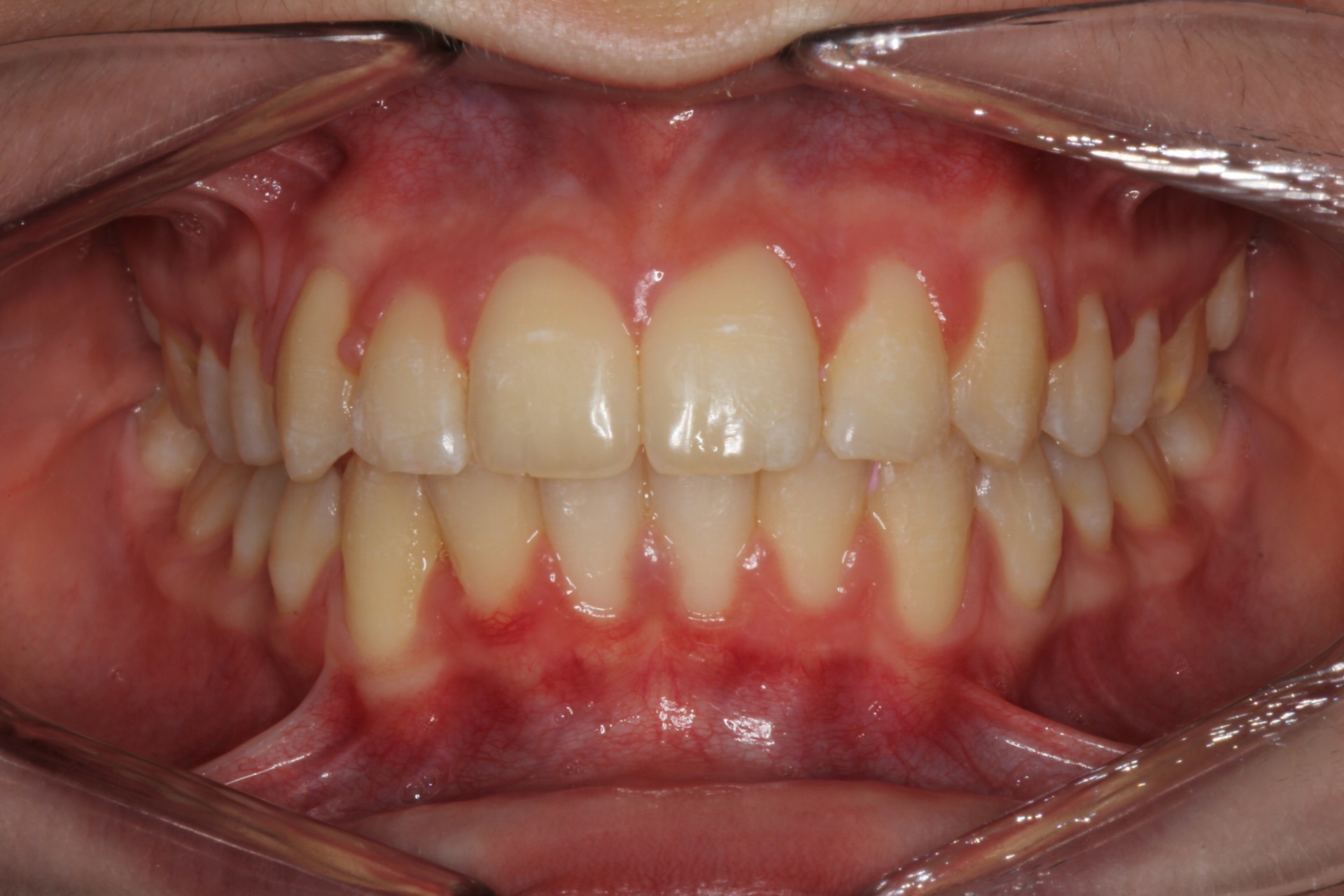
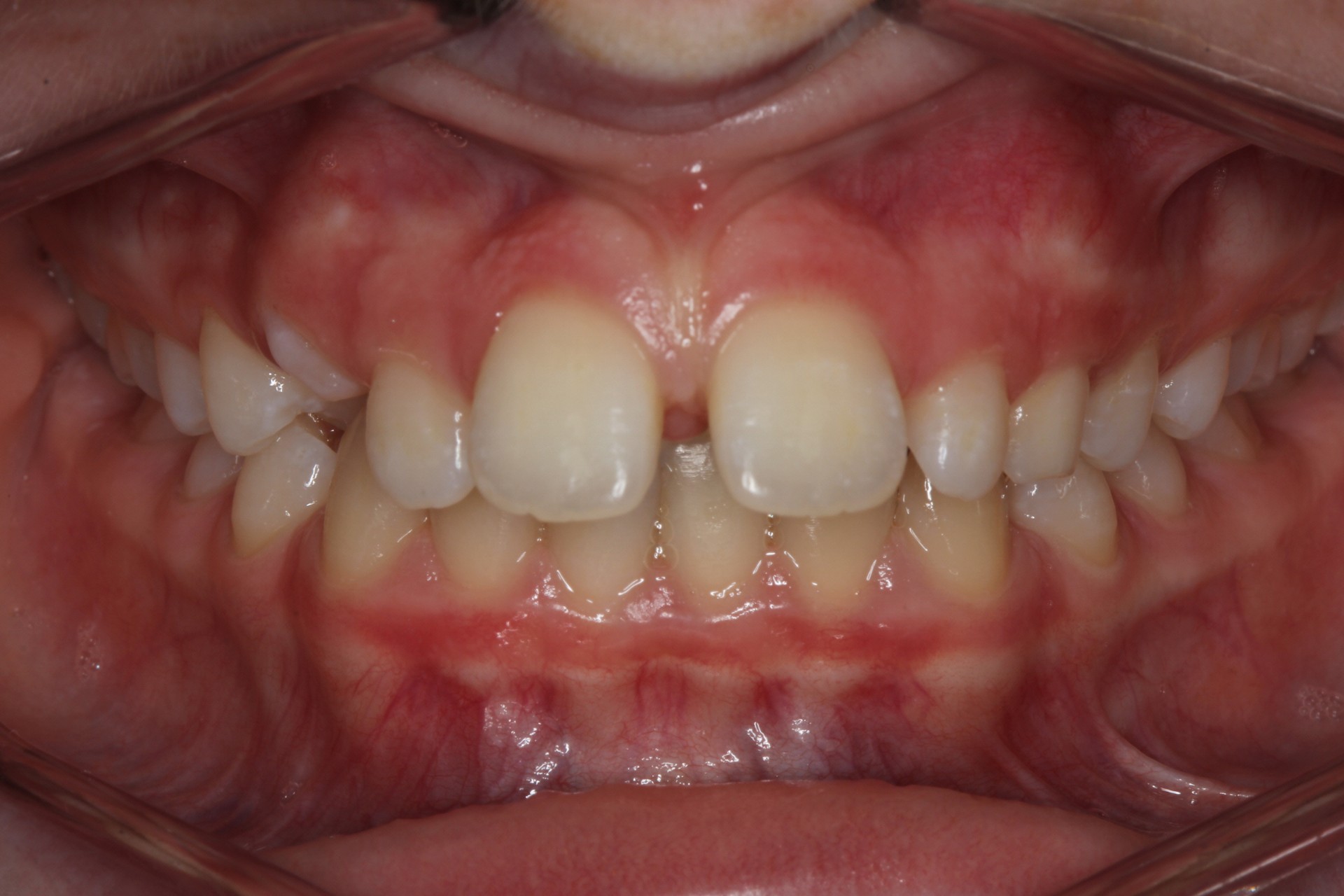
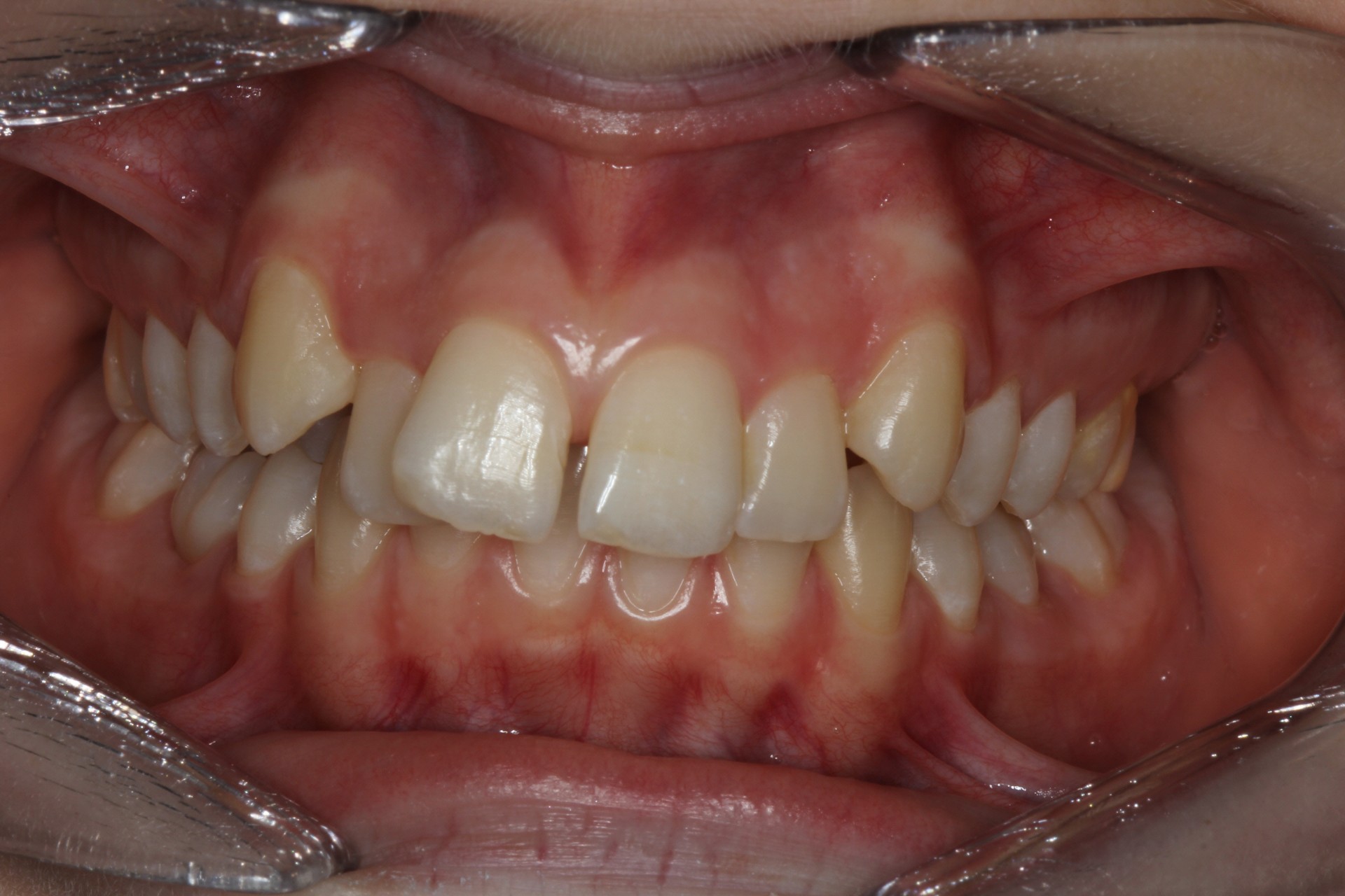
Protruding front teeth with midline diastema – Child case

 

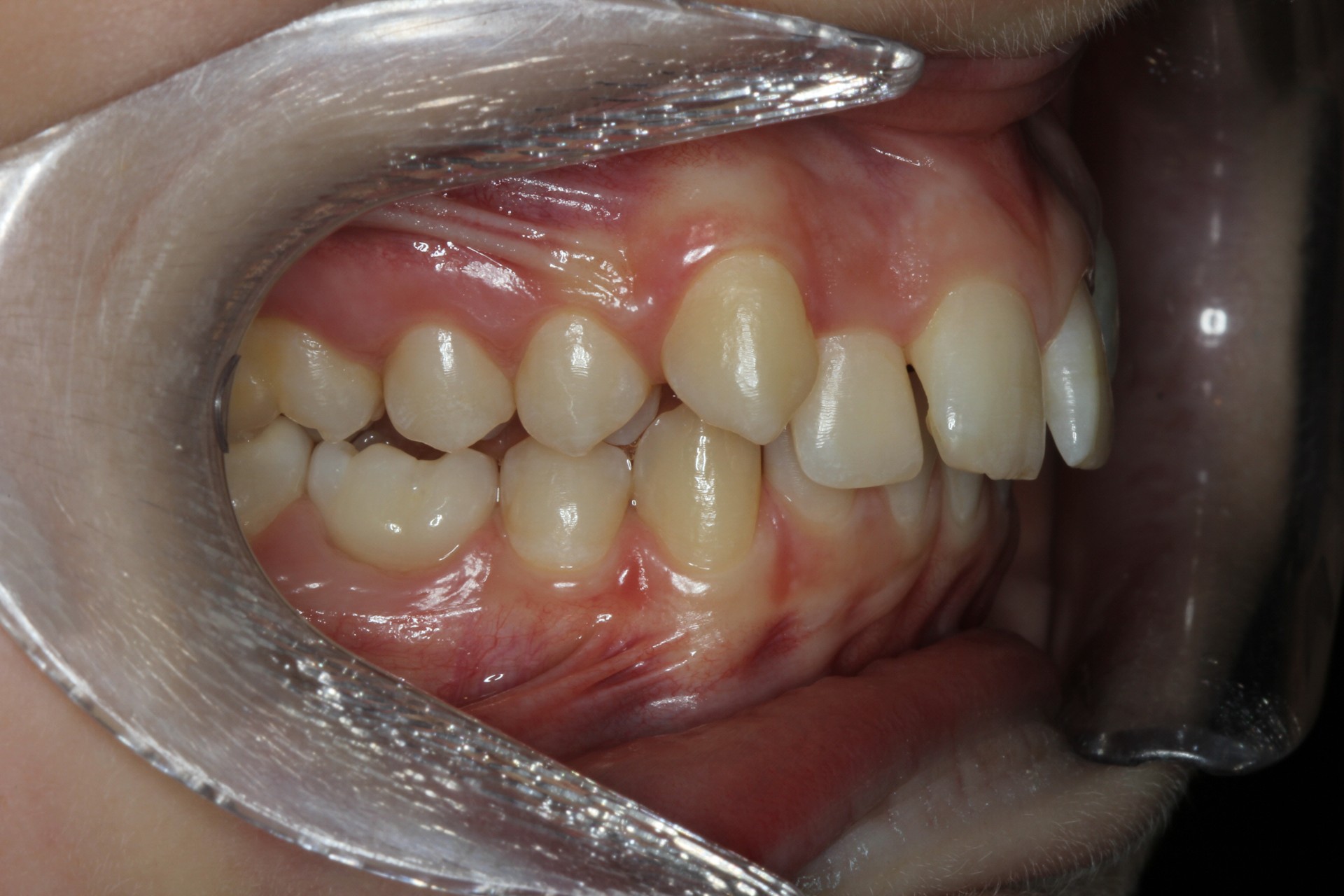
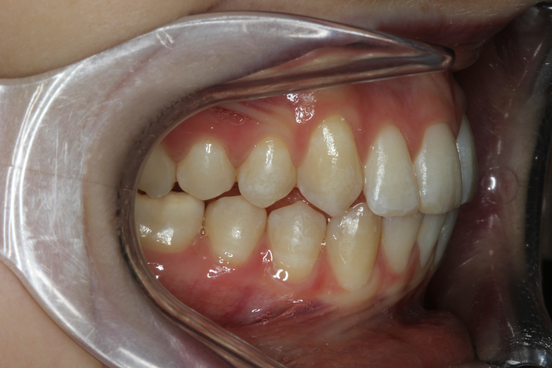
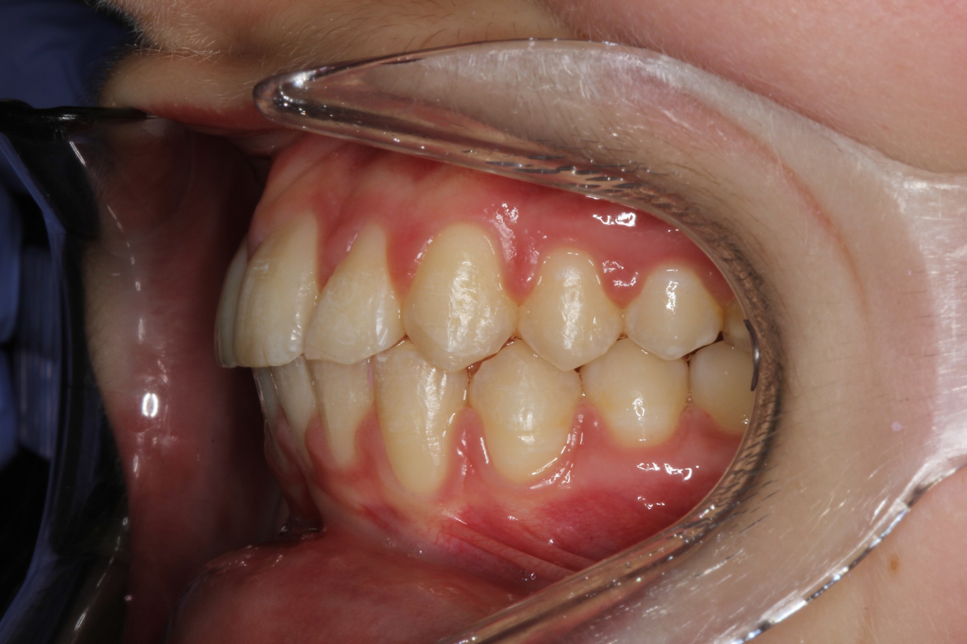
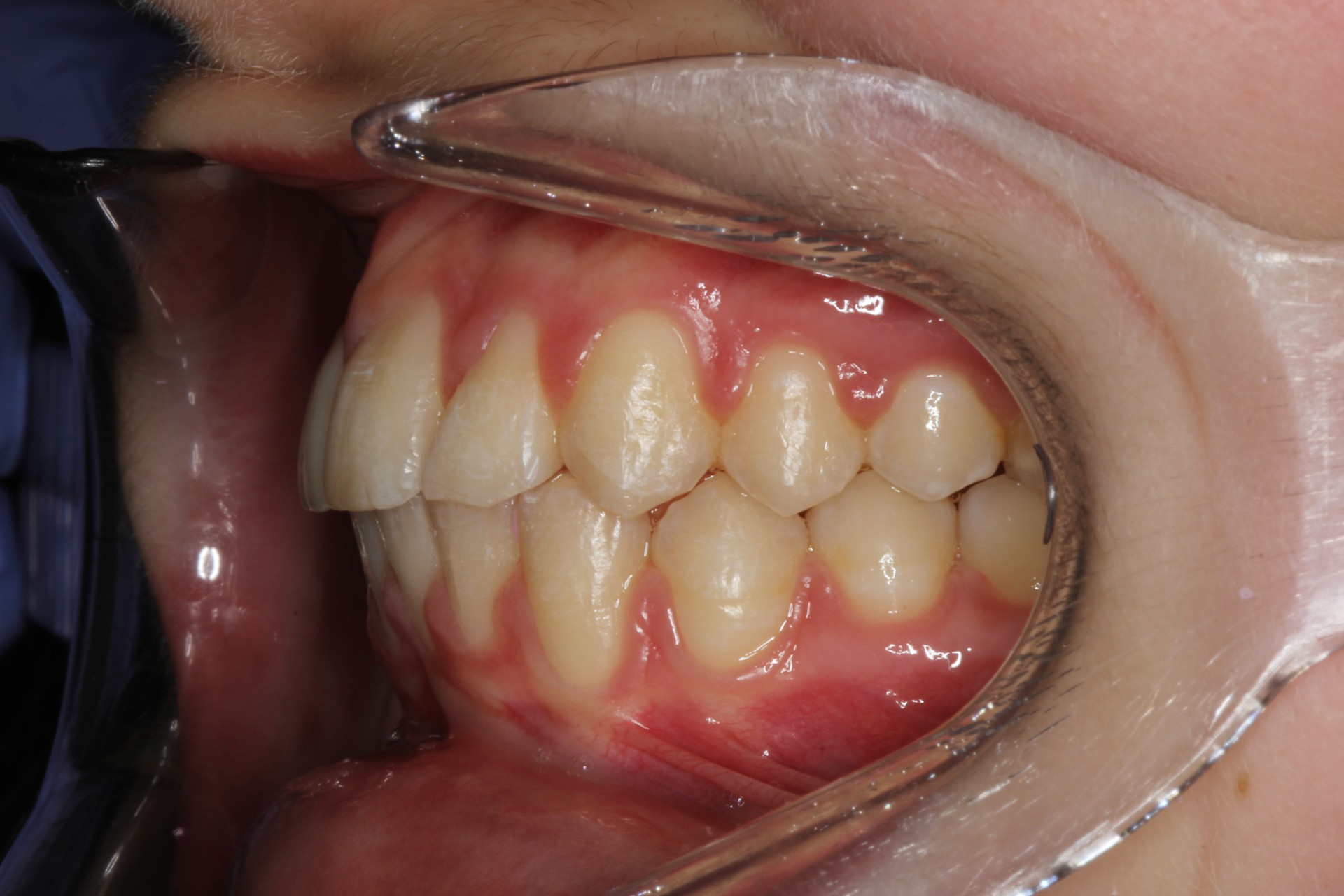
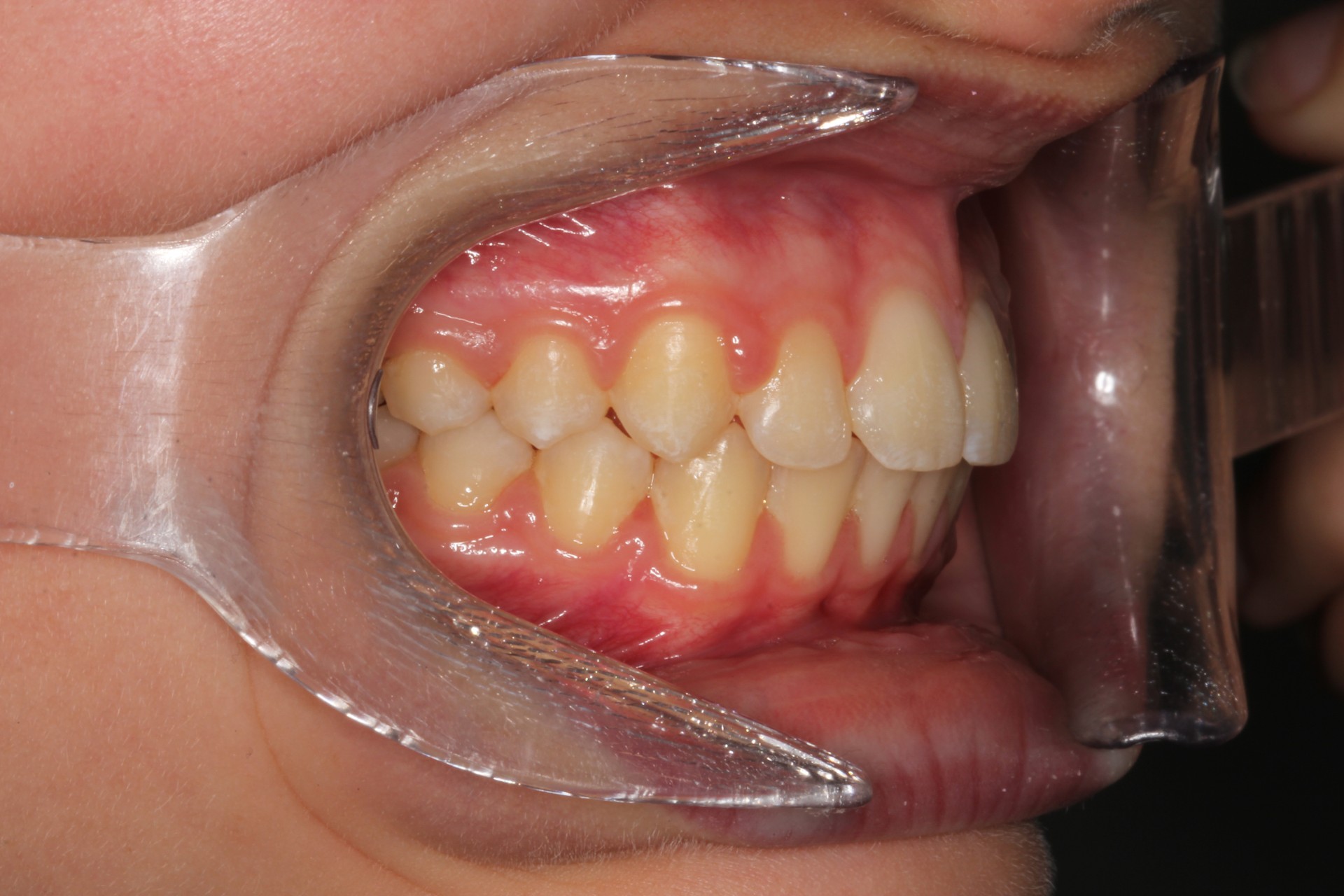
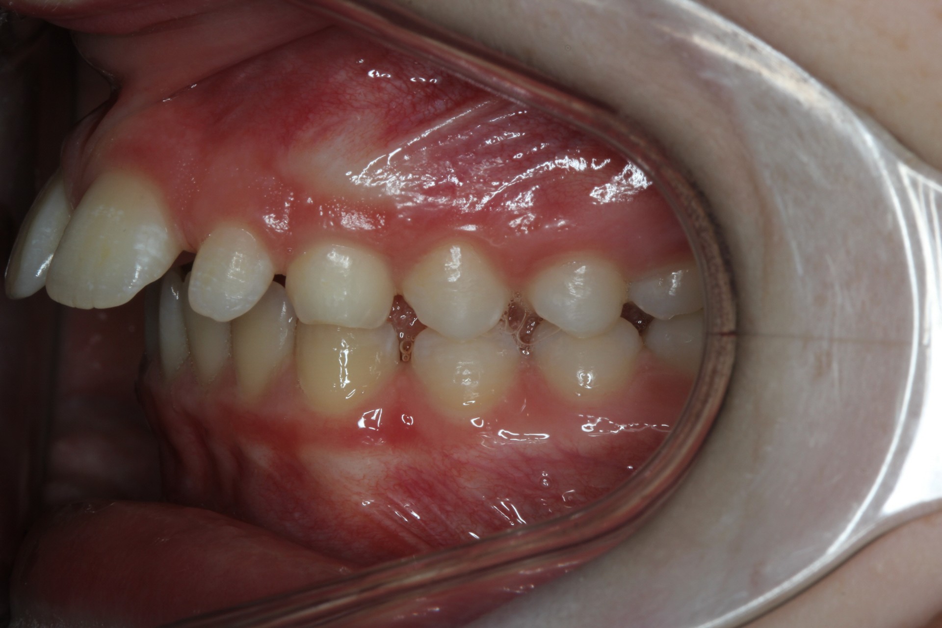
Protruding front teeth – Child case