Home » Problems we can solve » Bite Problems
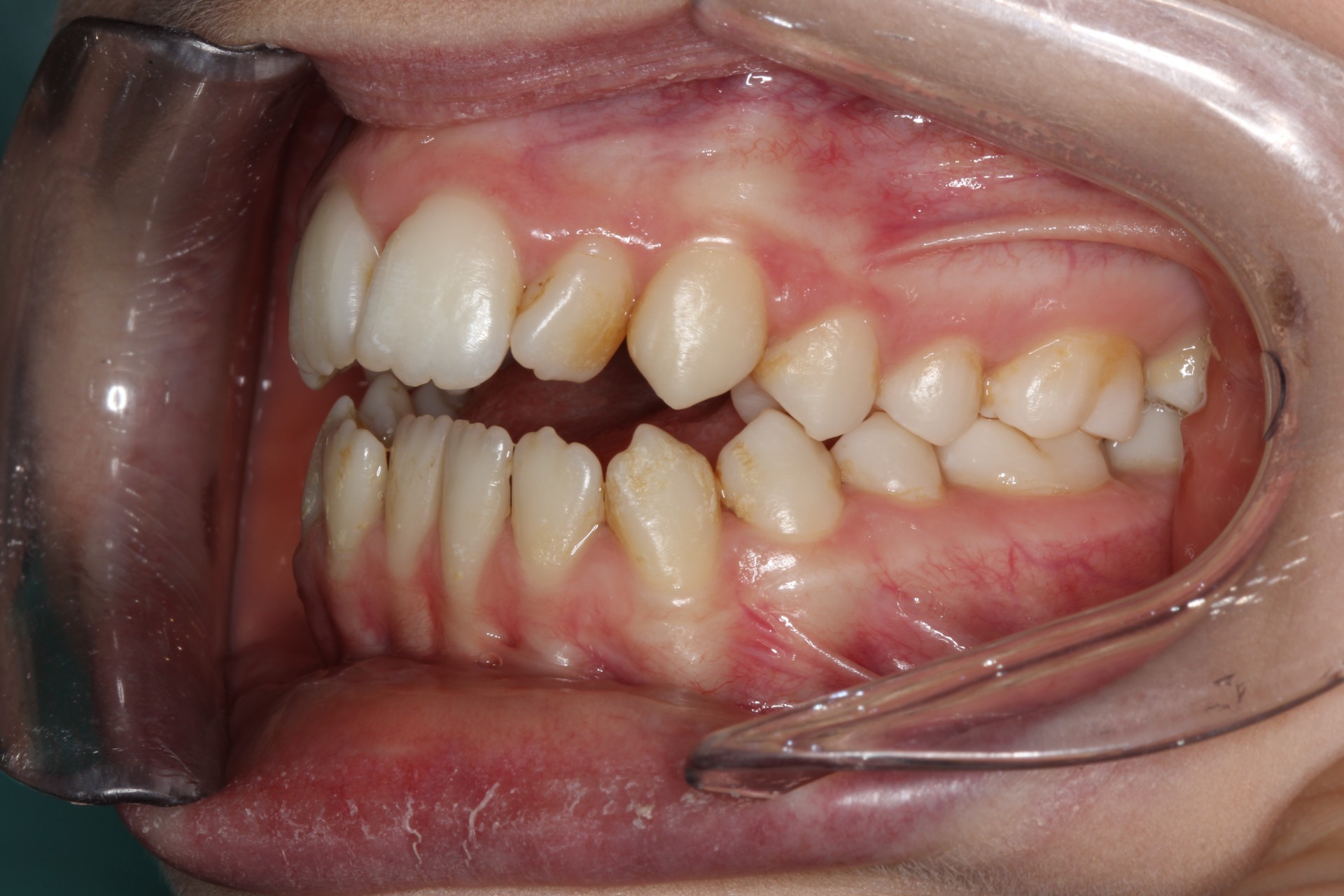
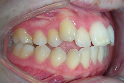
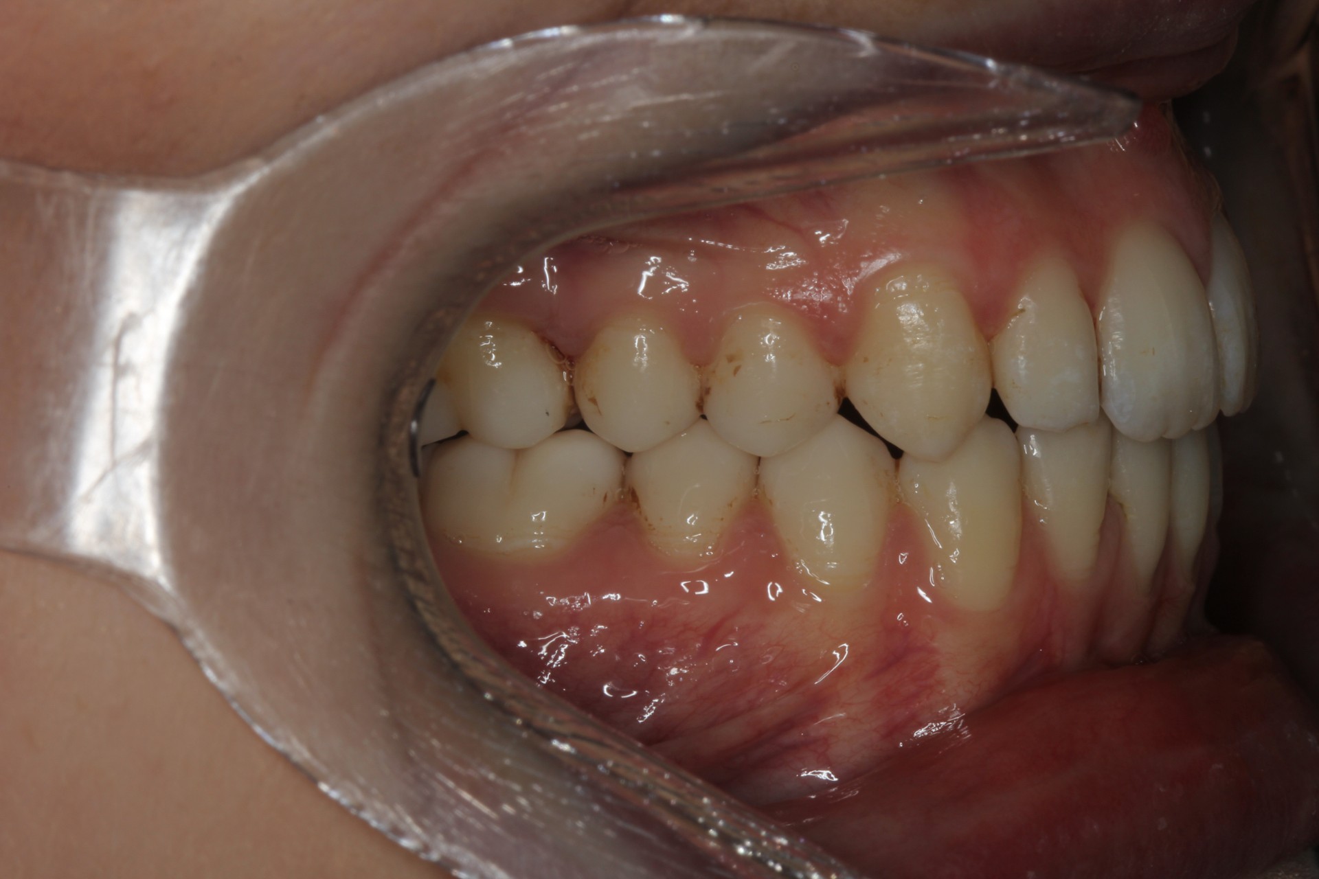
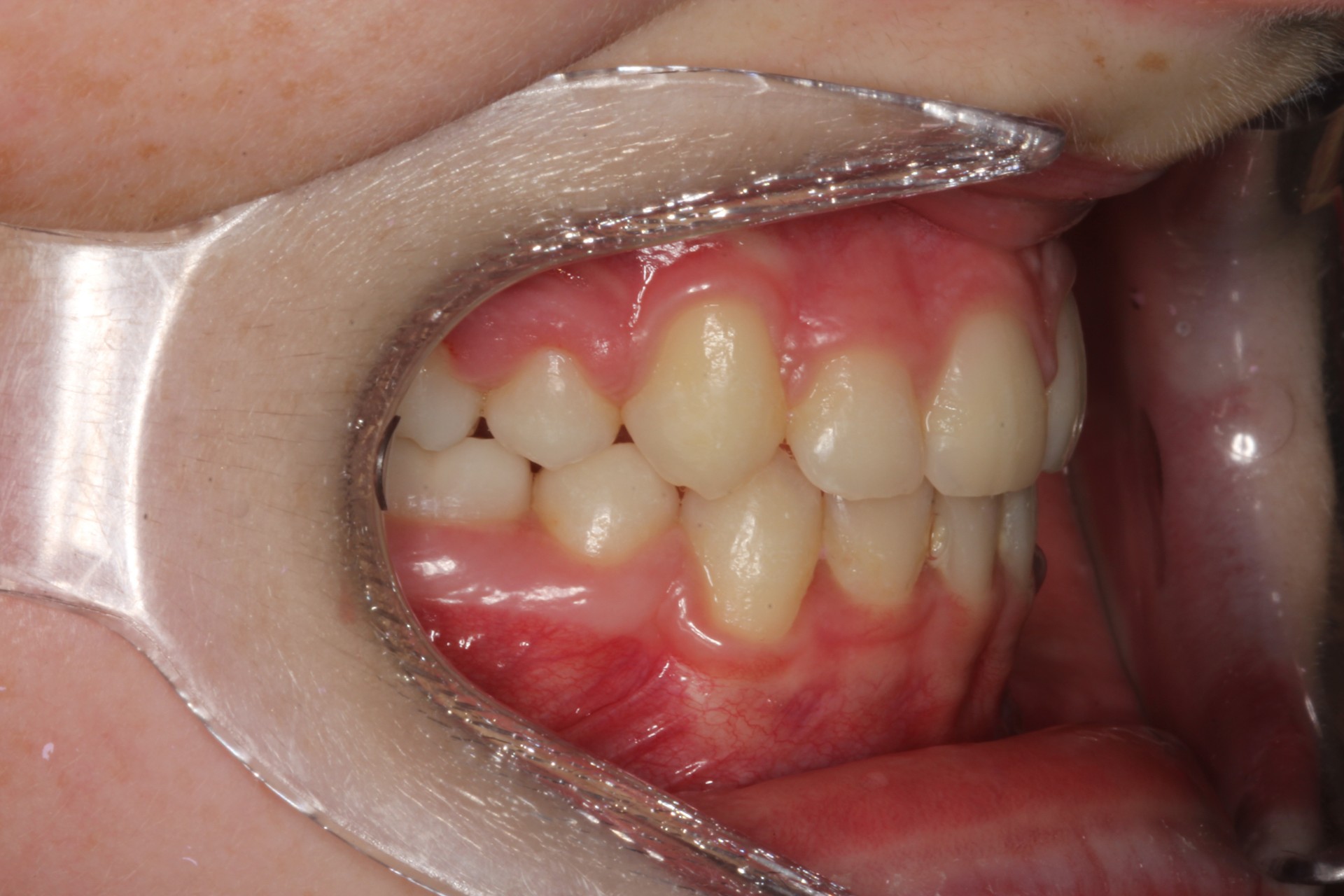
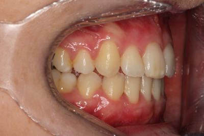
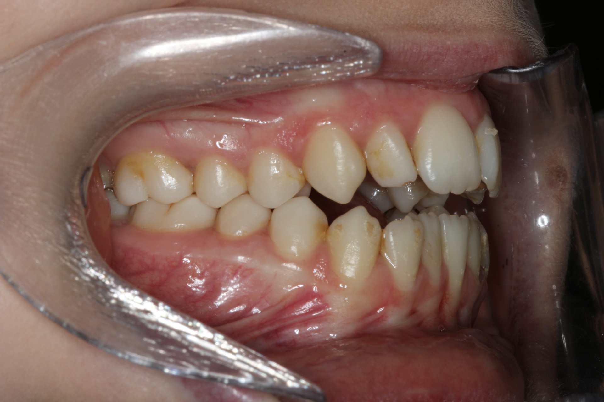
Lateral Open Bite – Child case
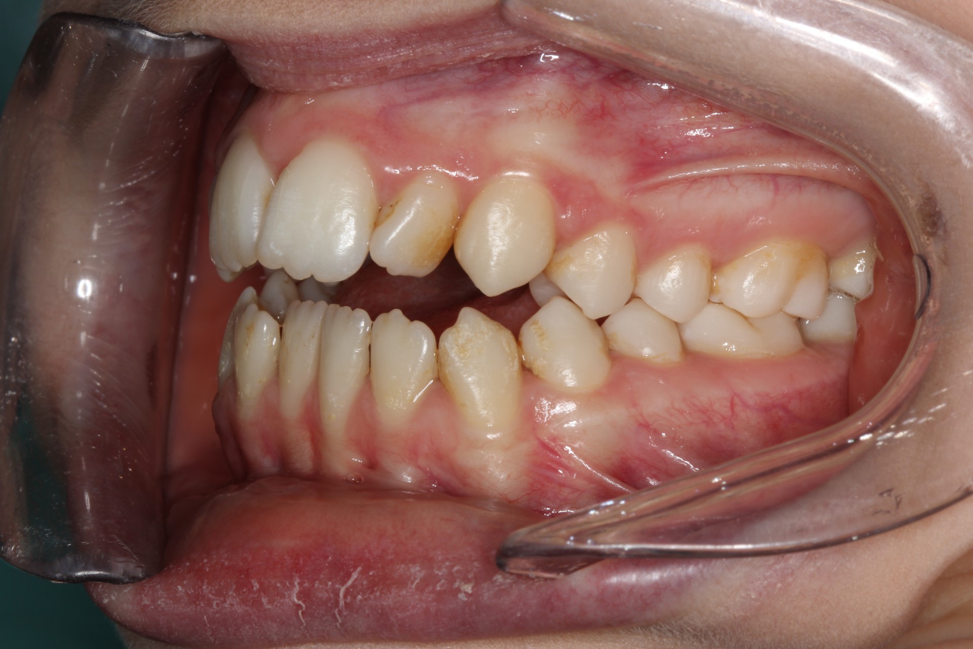
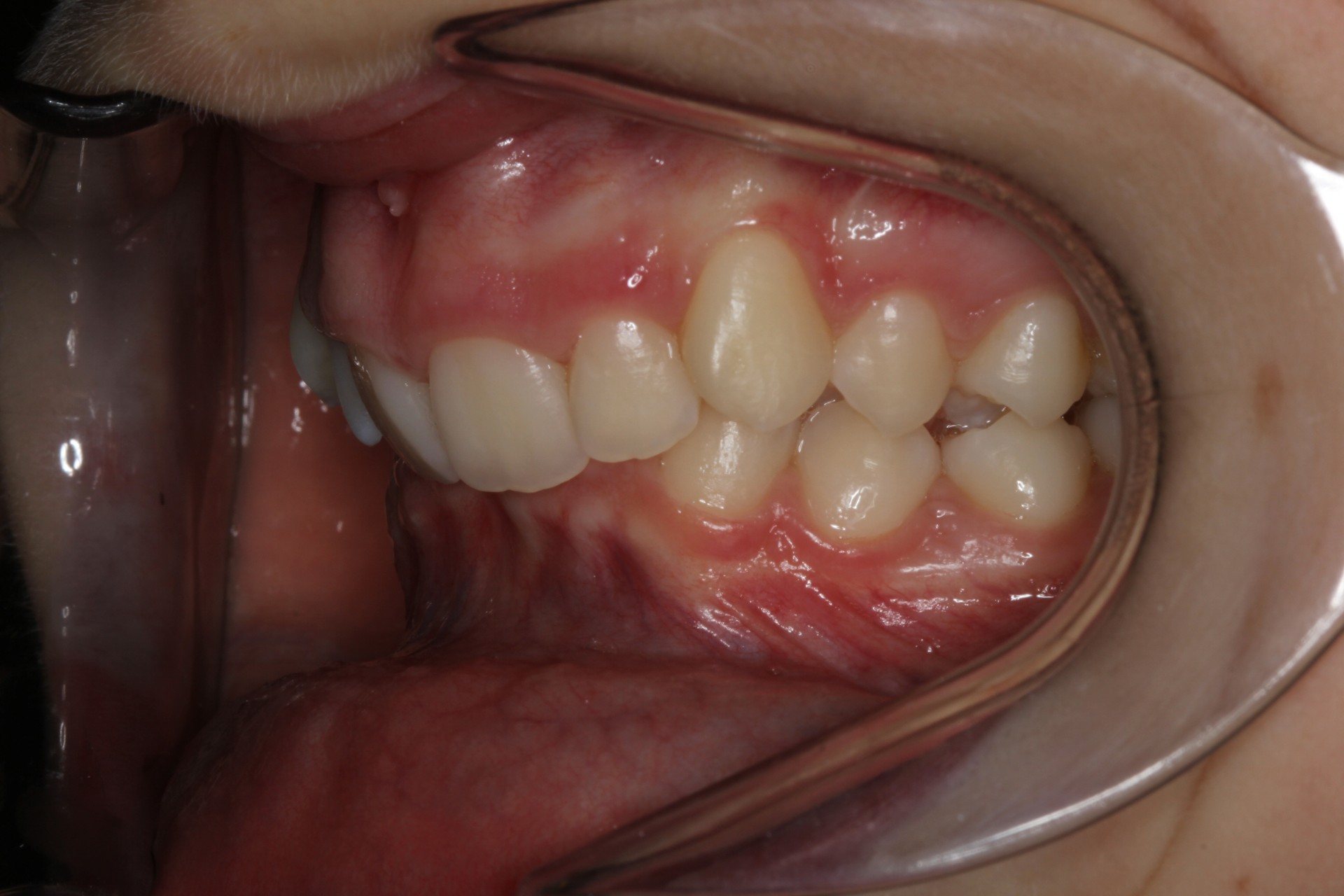
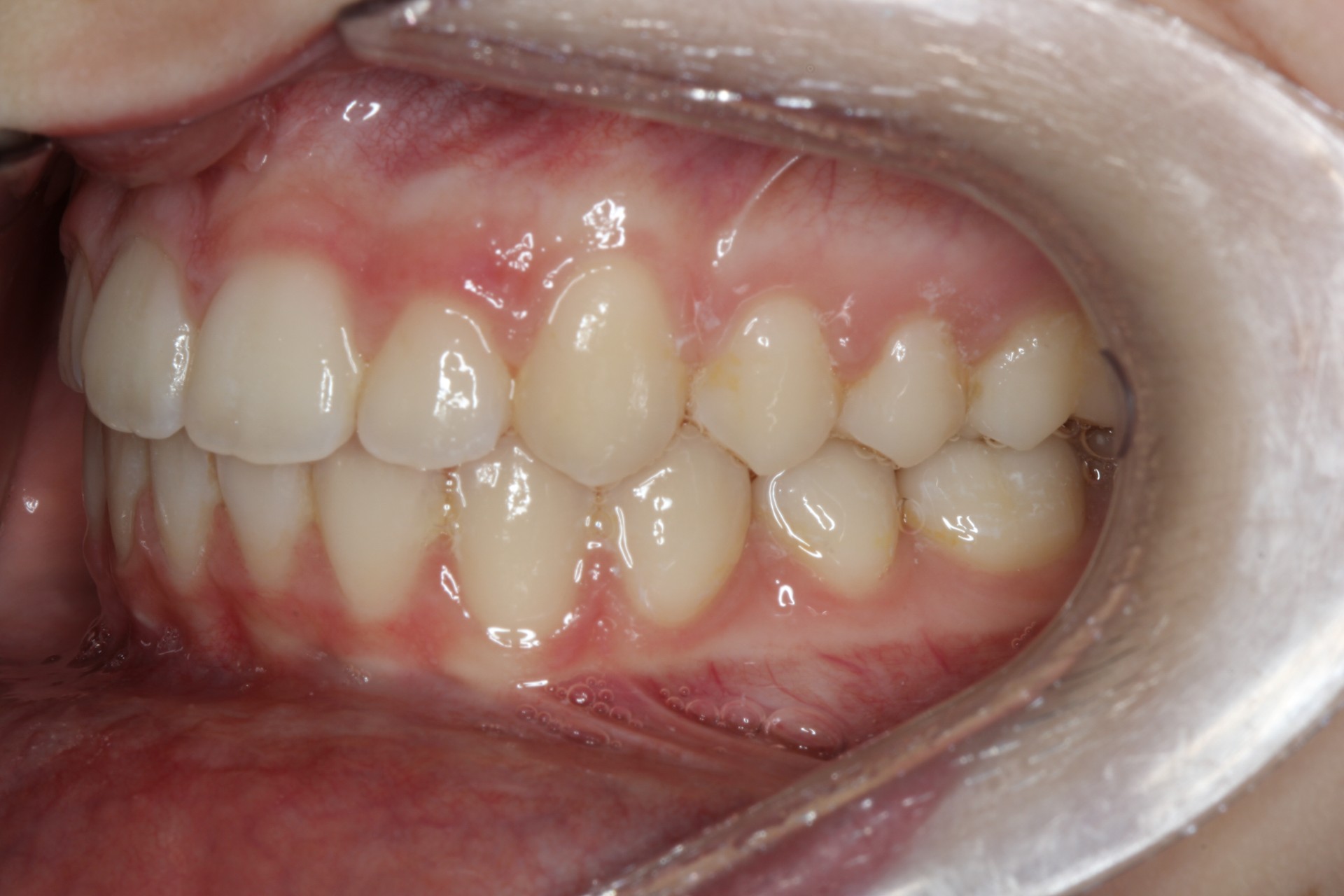
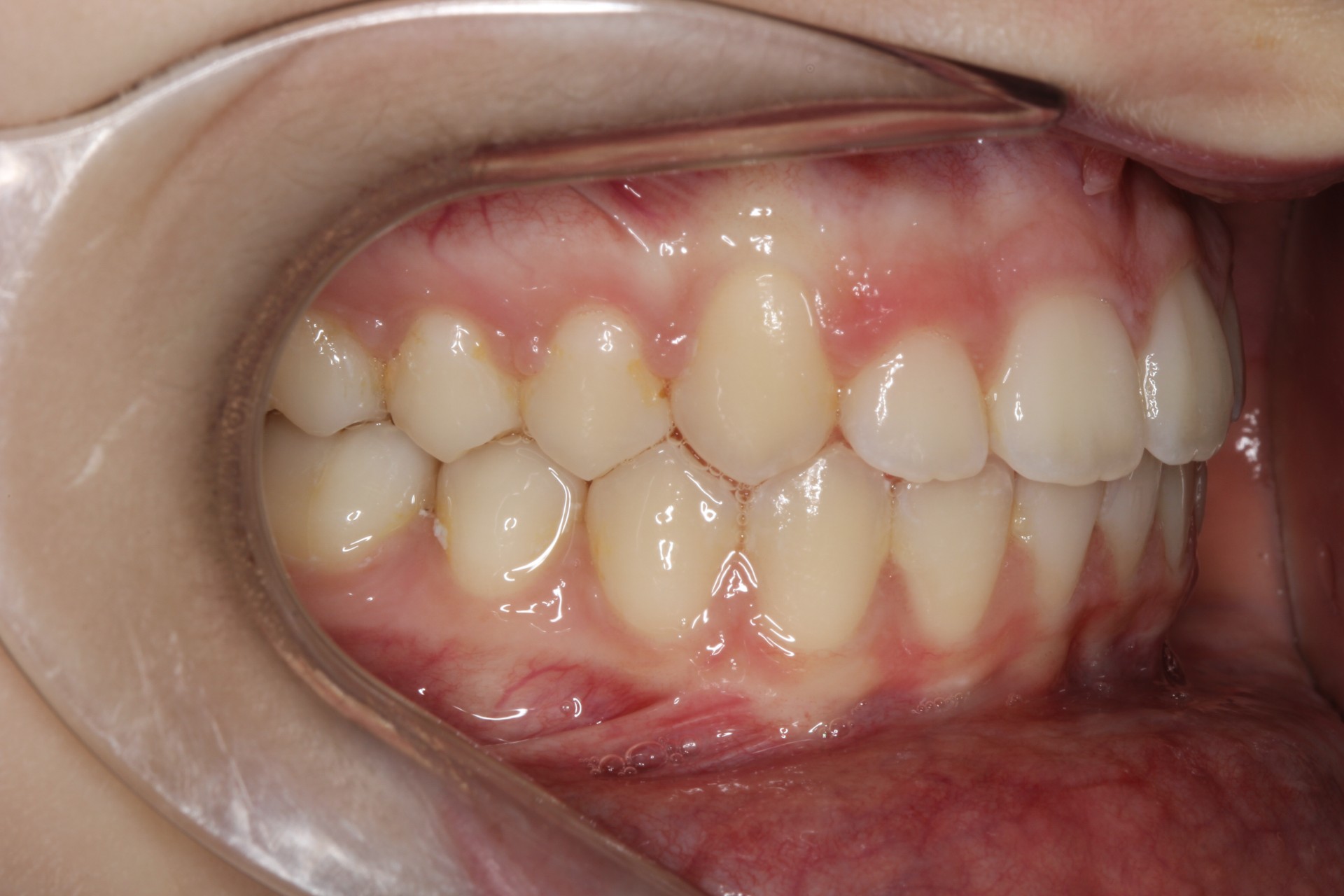
Deep Over Bite – Child case
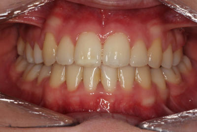
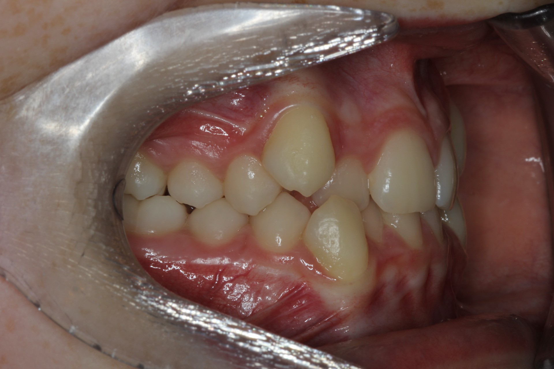
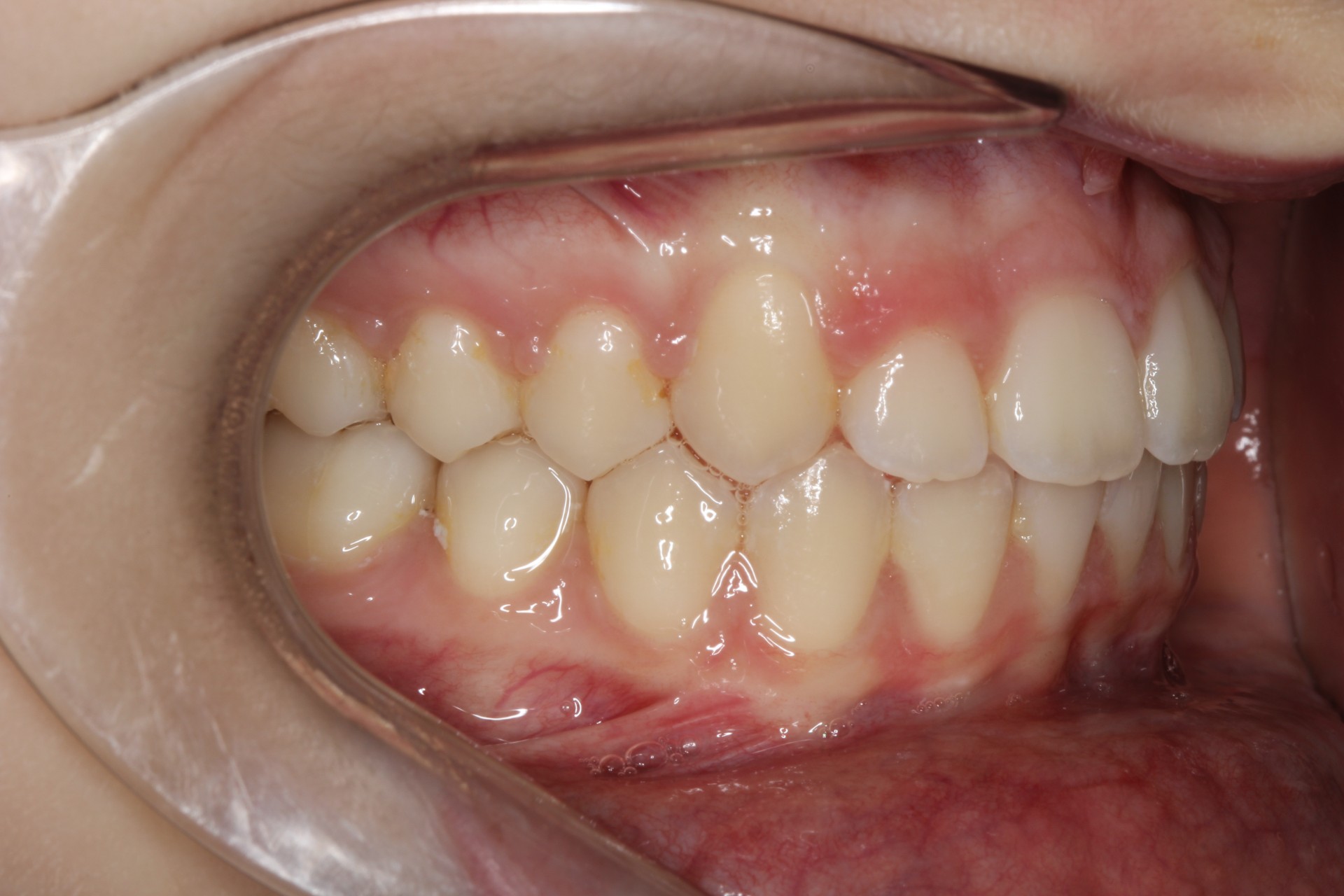
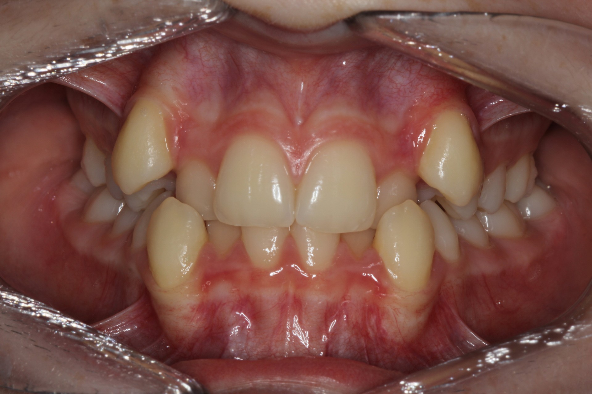
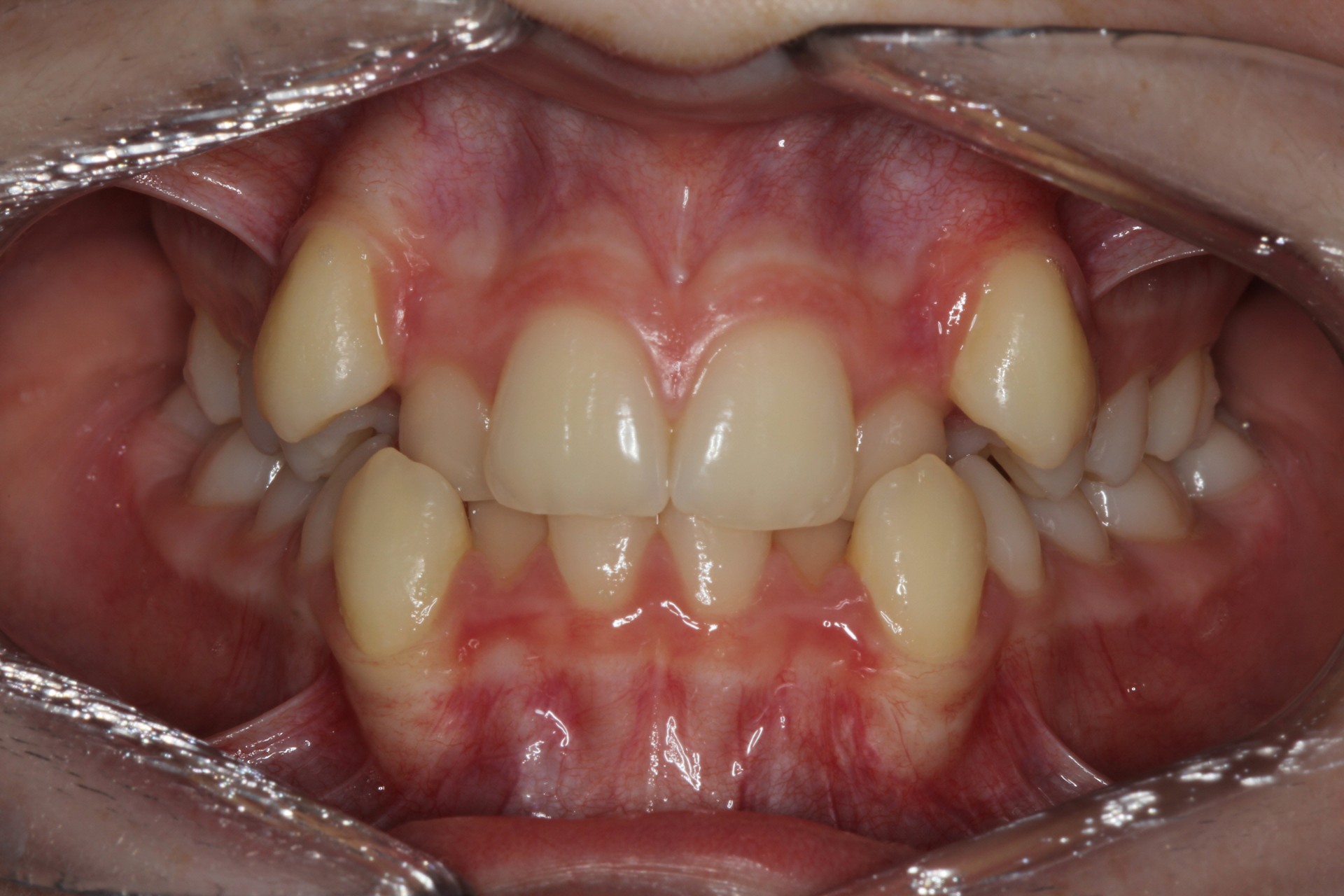
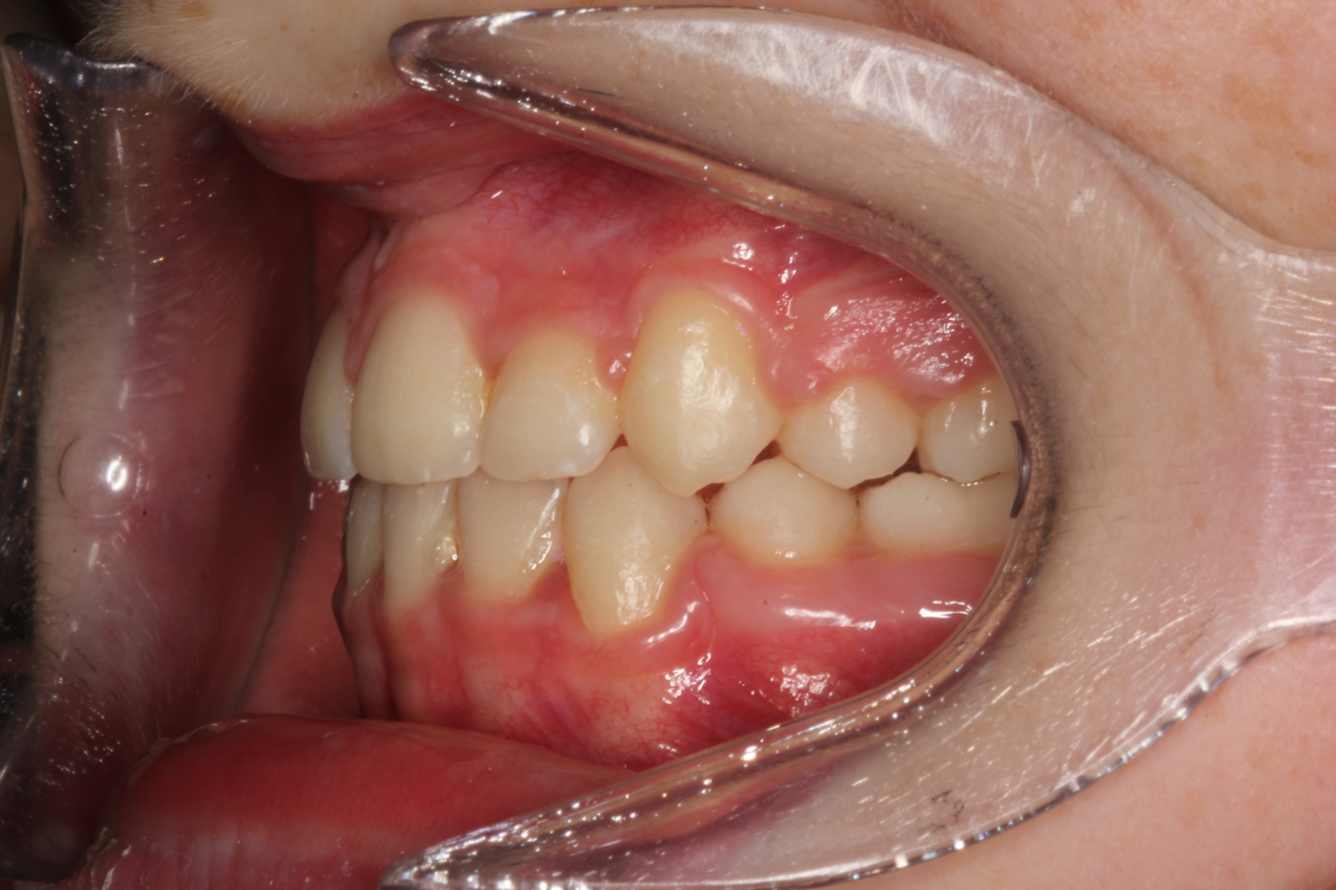
Cross Bite – Child case
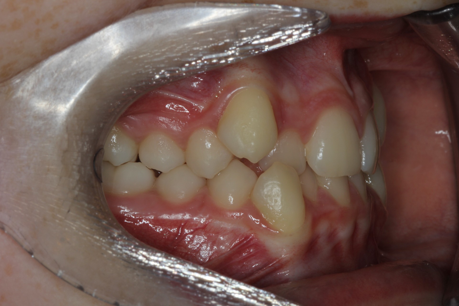
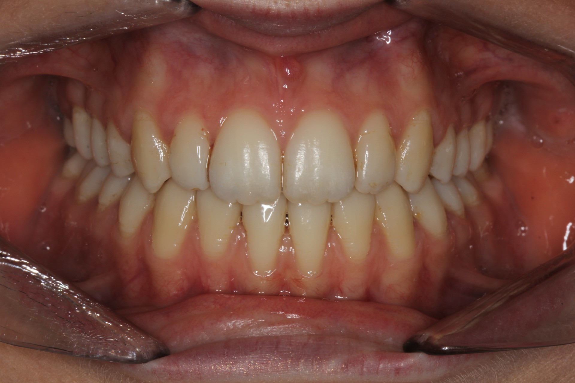
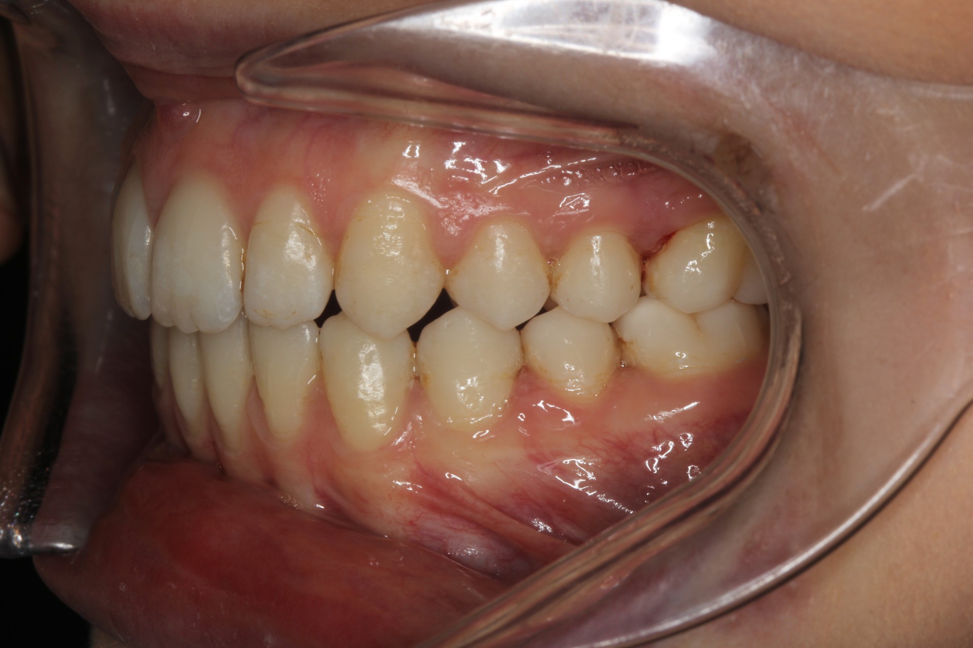
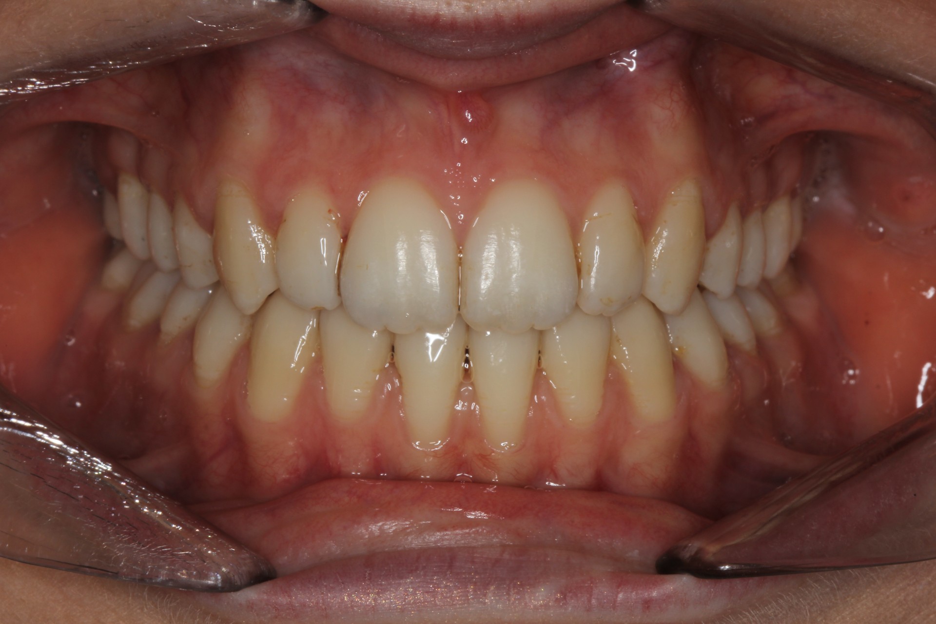
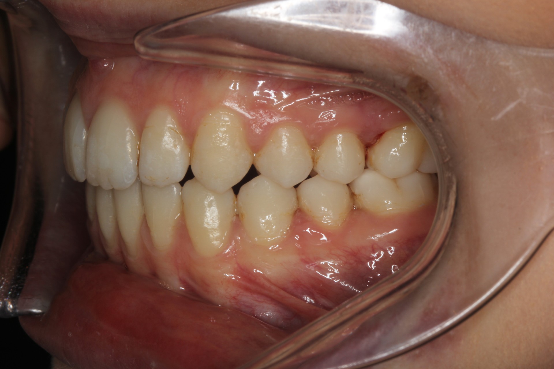
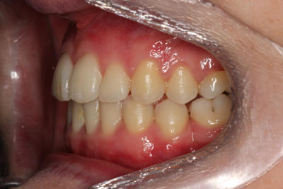
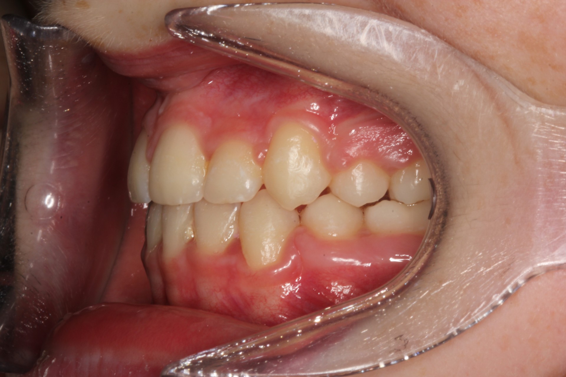
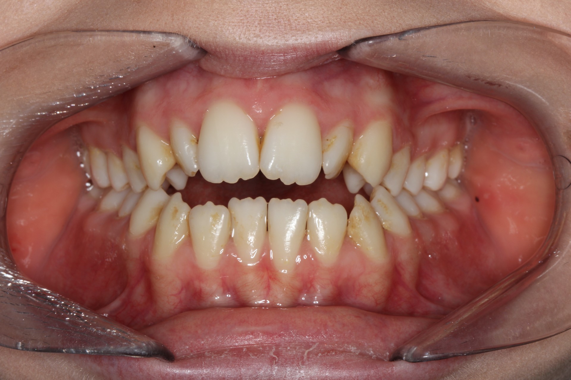
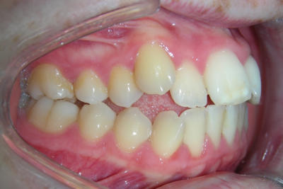
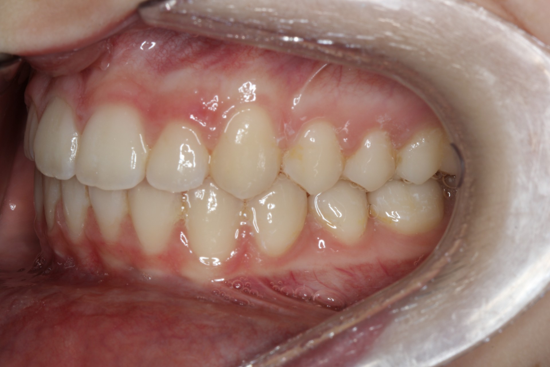
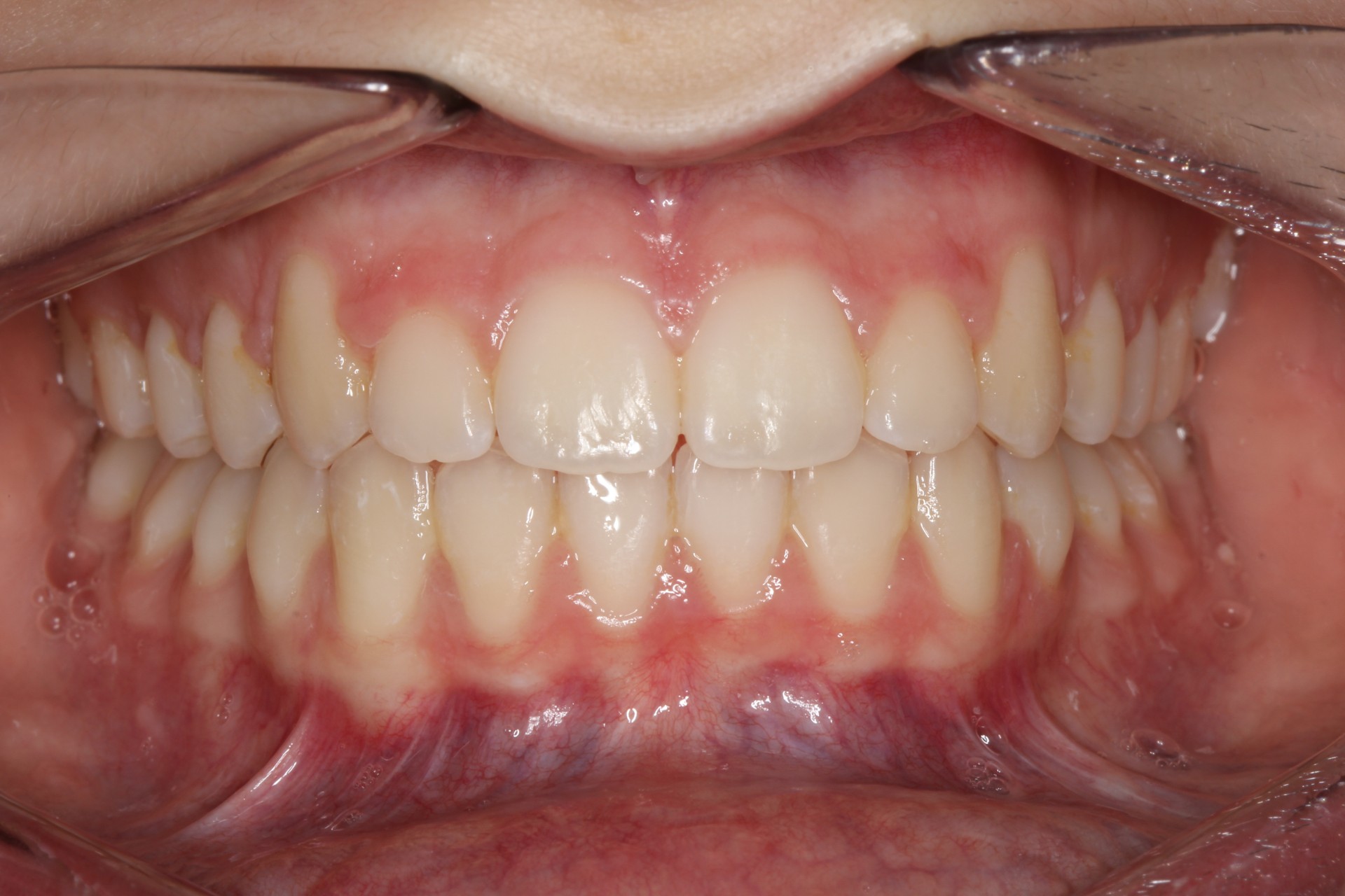
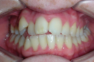
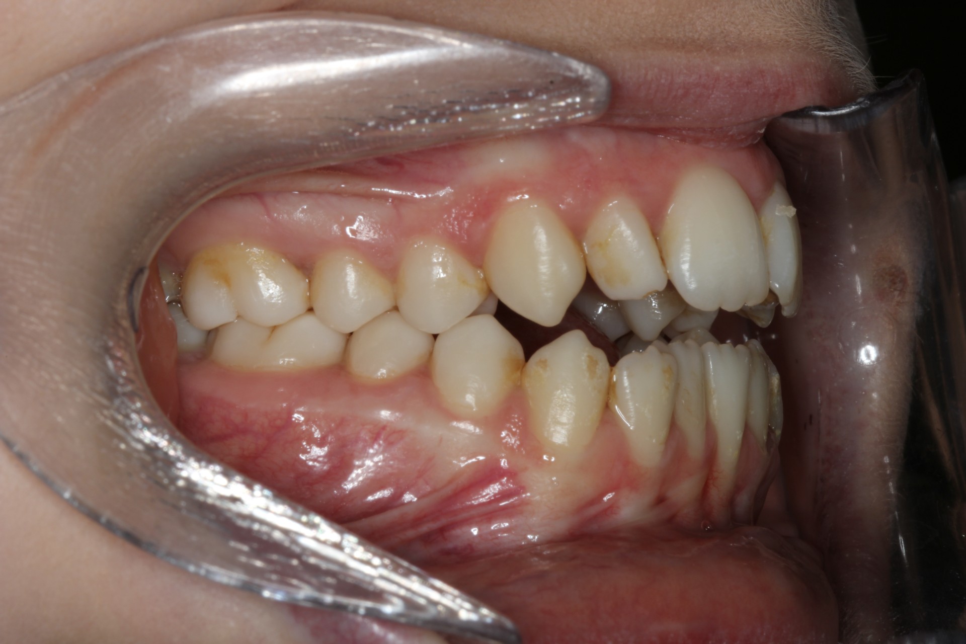
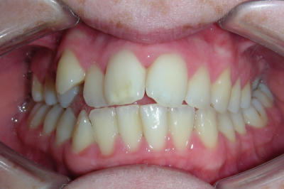
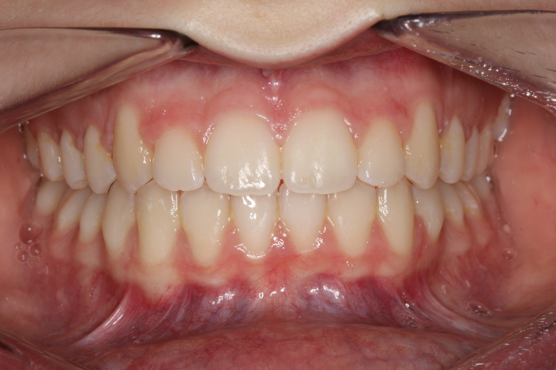
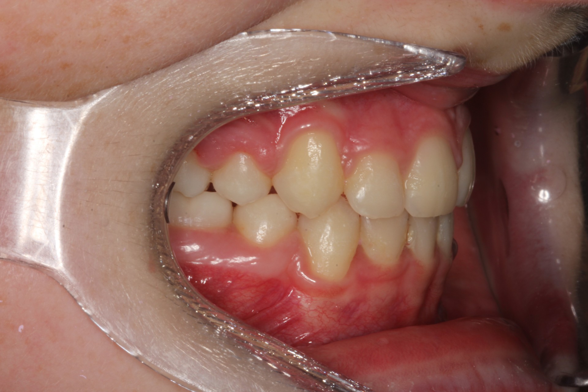
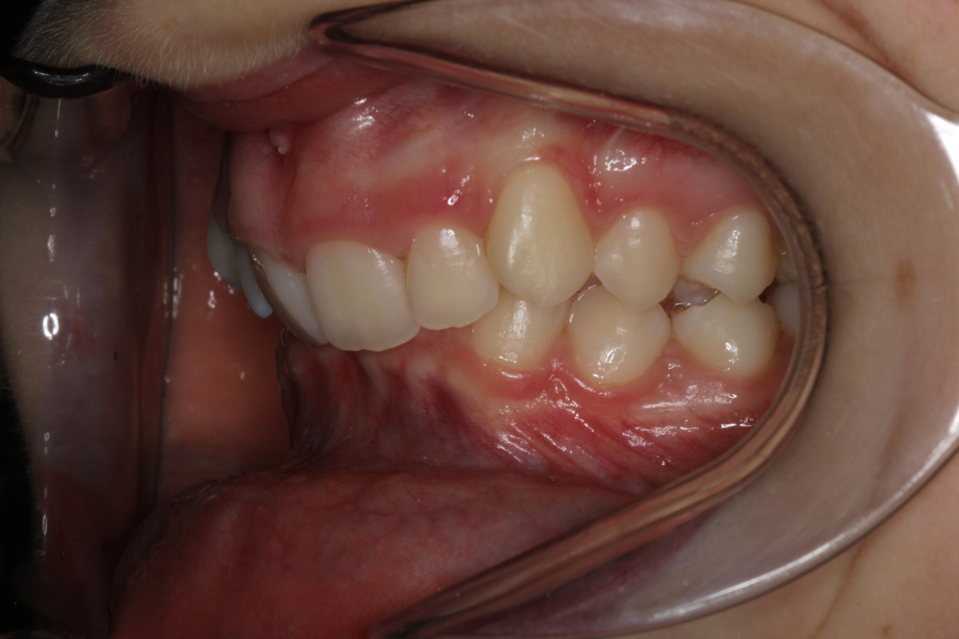
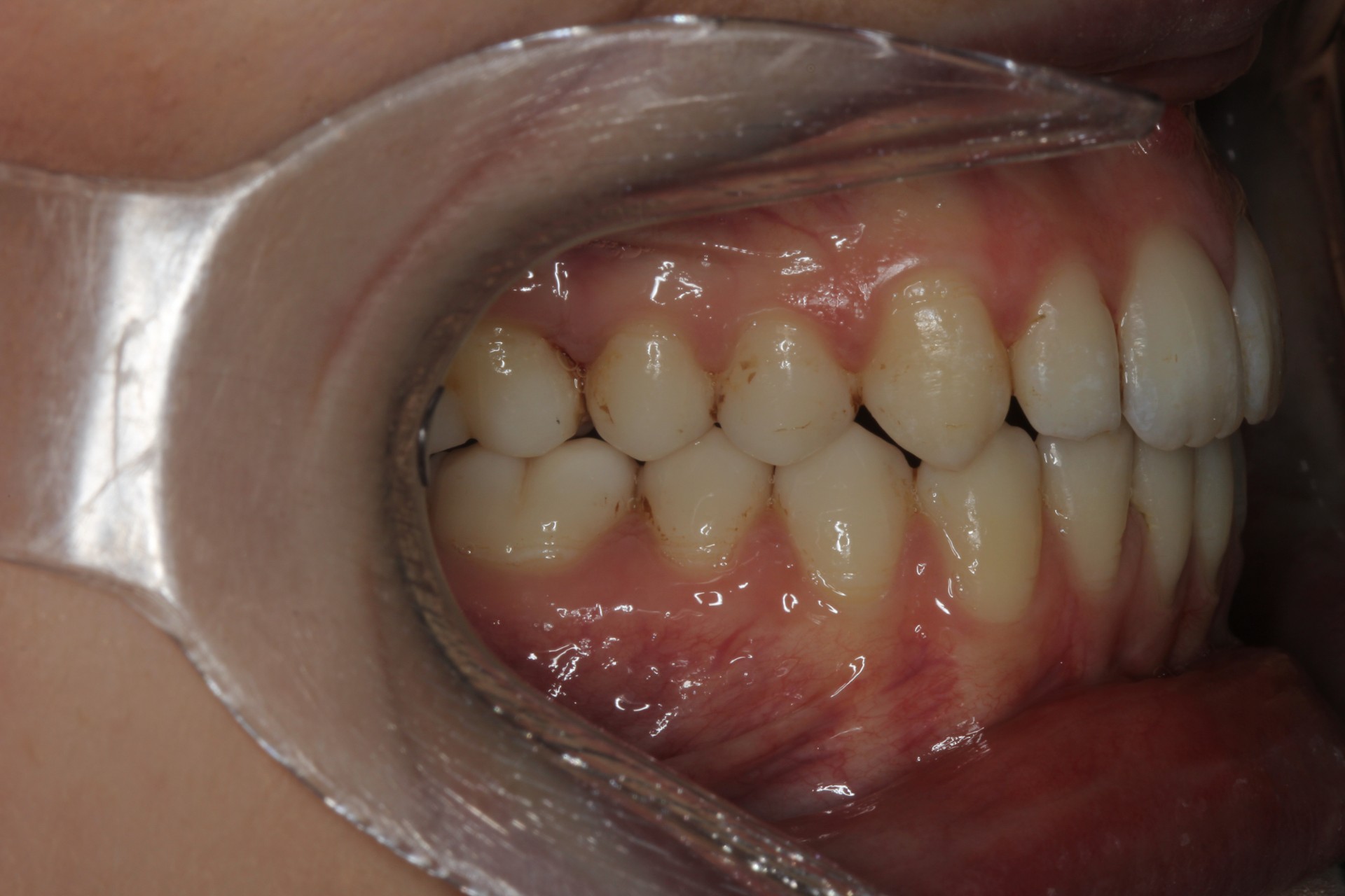
Anterior Open Bite – Adult case